最近,4岁小女孩琪琪(化名)身上发生了一件极其可怕的事,她先是老喊屁屁痒,过几天又说小便的地方痒。
结果,爸爸妈妈脱下她的小*裤内**仔细检查,从阴道里抓出许多条“小米虫”。

图片来源:视觉中国
这些小虫子是哪来的?对小朋友会造成怎样的伤害?会传染吗?记者找到了当时接诊琪琪的杭州师范大学附属医院儿科的杨琳医生。
4岁小女孩说小便的地方痒
妈妈竟从她阴道里抓出许多“小米虫”
4岁的小朋友按说睡眠质量应该超级好,晚上基本不需要起夜,琪琪原本也是如此。
可不知道为啥,近来夜间她频频哭醒。而且理由也非常奇怪,先是说屁屁痒,睡觉时小手也经常去抠。
起初,爸爸妈妈没当回事,还斥责她这种坏习惯是不讲卫生。

图片来源:视觉中国
可是,类似的奇怪举动琪琪每天晚上都会“上演”一两次。更糟糕的是,几天之后,琪琪抓挠的小手从屁屁转向了前面,半夜醒来还边哭边说:“拉小便的地方痒。”这下,爸爸妈妈才紧张起来。
脱下琪琪的小*裤内**,打起手机的电筒,仔细查找,眼前所见令人发抖。琪琪的阴道里有很多“小米虫”在蠕动。爸爸妈妈当即抱起琪琪赶往杭师大附院急诊。
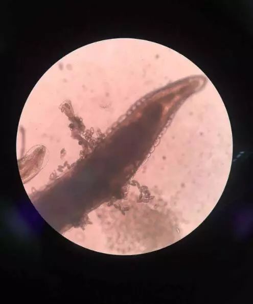
“这是蛲虫。”看了琪琪妈妈用餐巾纸包来的小虫子,值班的儿科医生杨琳一眼便认出。

蛲虫虫卵
蛲虫是什么虫?从哪来的?孩子会有危险吗?琪琪爸妈满脑子的疑惑与担心。
蛲虫是肠道常见蠕虫的一种,主要通过肛门-手-口直接传播。雌虫于夜间爬行于肛门口产卵,引起奇痒,小朋友用手指搔痒而沾染虫卵,在进食或吮吸手指时吞入虫卵。若虫卵在肛门口孵化,幼虫也可爬进肛门,侵入大肠,可引起逆行感染。而蛲虫若不及时处理会蔓延整个肛门,女生甚至会爬进阴道,造成腹痛。
为了进一步验证,杨琳医生叮嘱琪琪爸妈多取点孩子的粪便到化验室进行镜检。果不其然,检验科的值班人员在高清显微镜下找到了蛲虫成虫以及大量虫卵。所幸,小虫子对琪琪造成的伤害还不算大,吃了打虫的“小糖丸”后,问题便迎刃而解了。
儿童蛲虫感染夏季高发
不及时治疗可能影响孩子身心健康
杨琳医生说:“蛲虫感染是儿童常见的寄生虫感染,尤其在夏季高发。因夜间肚子痛、屁屁痒而来就诊,高度怀疑蛲虫感染的小朋友基本上天天都能碰到,而最终找到虫子确诊的每个月也有10多例。”

蛲虫幼虫
据了解,小朋友通过直接接触附在玩具、污染物及衣被上的蛲虫卵,将虫卵带入口中,造成交叉感染和患者反复感染,这是幼儿园(集体机构)传播蛲虫的重要方式。因此,做好针对性预防很有必要。
杨琳医生提醒,平时注意保持肛周清洁,每日换洗*裤内**,饭前饭后一定要勤洗手,而这个洗手也很有讲究,必须用香皂洗手保持手部卫生,同时讲究公共卫生和家庭卫生(包括纠正儿童吮吸手指习惯、勤剪指甲、不穿开裆裤睡觉的好习惯)。定期烫洗被褥和清洗玩具的预防措施(用0.5%碘液涂擦5分钟以上或0.05%碘液浸泡玩具1个小时以上,可杀死蛲虫卵),是防止再感染的关键。
另外,蛲虫病若反复感染迁延不愈,使儿童产生夜惊、夜间磨牙遗尿等症状,将影响儿童身心健康,严重者可引起多种并发症,如蛲虫性泌尿生殖道炎、蛲虫性阑尾炎及过敏性皮肤病等。因此,家长要是发现小朋友夜间老说屁屁痒或是肚子痛等要引起重视,及时就诊。
声明:因无法联系到作者本人,请本文所用作品的著作权人直接与小编联系,商洽稿费支付事宜。
泉州晚报社新媒体中心出品
来源:钱江晚报
编辑:林燕婉
审核:吴泽华
泉州晚报社新媒体矩阵
▼
