21岁大学生意外怀孕,选择了无痛人流

人流,是人工流产的简称。是采用手术、药物或两者结合的人工方法终止妊娠。常用的方法有负压吸引人工流产术、钳刮人工流产术和药物流产术。调查显示,我国49%的年轻人或其周边朋友曾经做过流产手术。

以前大街上看到人流广告可能还会不好意思看,但是现在人们看到也不觉得有什么。人流越来越多见,是因为对人没什么影响,人才会选择它吗?当然不是,人流是避孕失败意外妊娠的一种补救措施。

20岁做了无痛人流,意外怀孕去医院人流

这是一位21岁的未婚女患者,又怀孕了。

意外怀孕的女大学生

上个月,一对年轻的情侣小文和小超来到诊室,小文一进门就对我说:医生,我怀孕了,要做人流手术,我也咨询了几家医院,觉得有点贵,你们这家最便宜的手术要多少钱,我们是学生,没钱。

听小女孩说完,我觉得她已经不是第一次做人流手术了。我告诉她:你做人流手术时,首先不应考虑费用问题,而应考虑安全性,只要你去正规的医院,费用都是有标准的,你应该考虑手术后是否会给你带来后期并发症。

经查,她已停经超过2个月。所以我对小文说:人工流产的最佳时间是怀孕后45天内,你们都停经2个多月了,本身人工流产就很危险,所以风险更大,先去检查。在得到结果后,再决定手术方案。问完诊后,我给小文安排了术前相关检查。

20岁做了无痛人流,意外怀孕去医院人流

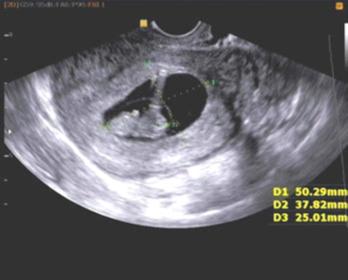
我根据患者妇科检查和B超的结果,显示她已经怀孕60多天了,为了安全起见,需要先口服米索前列醇200 ug,在阴道后穹隆里放一片米索,让它软化宫颈,为手术做准备。然后我告诉小文和小超一些可能在手术中出现的相关风险及术后注意事项,让他们共同签署手术知情同意书,做好积极的术前准备,行阴道冲洗等局部治疗。

做好术前准备后,1小时后在超导可视下进行无痛人工流产,手术成功,术中用负压吸引器吸出一个孕囊,约3.5*4.5 cm,可见胎芽。术中出血约10ml,然后在宫颈内注射缩宫素10 ml,促进子宫收缩。手术后让小文在观察室休息2小时,观察腹痛及阴道出血情况,并给予输液预防感染,促进宫缩等对症治疗。

术后,我给小文开了口服益母草颗粒1袋,每天2次,3天连服,促进子宫收缩。小文在7天后复查B超,提示无明显异常。我对小文说:现在身体恢复得很好,平时多注意饮食营养,养精蓄锐,避免以后落下病根。小文感激地说:我以前做过人流,中间出现严重的出血。原本我很担心这次也会是这样,但您和护士的精心治疗,让我没那么担心。同时治疗时间也缩短了。多谢了,我以后会爱惜身体的。

预防人流,应做好科学避孕措施

*行为性**的普遍以及性观念的开放,并不意味着年轻人已经掌握了足够多的性安全知识。不少年轻女性会把“无痛人流”作为意外怀孕后首选的解决方式,虽然目前已经有相当成熟的人流手术,但是我们也不能小看它,如果操作不当,会对病人造成很大的伤害。虽然意外怀孕,每个人都可以选择无痛手术,但还是真心希望我们的女性朋友能够做好预防措施,爱护自己,保护自己。

如果因意外怀孕最后决定要做人流,应尽量选择最佳时间。做人流手术前,病人一定要避免同房,防止感冒,如果有阴道炎、宫颈炎等,一定要告诉医生,治疗好后再手术,以免增加阴道炎感染的风险。如有心、肺、肝、肾病者,还应告知医生,由医生判断是否适合无痛人流。而且在人流手术前的6小时必须绝对禁食、禁水。