
有的妈妈很疑惑:明明记得自己小时候牙齿都是自己掉的啊,怎么到了孩子这里,几乎每颗牙齿都很“顽固”,非得到牙科门诊拔牙才行呢?
要是拔得晚了,还会出现两排牙齿,带到医院拔牙还要打麻药,麻药会不会对孩子造成伤害呢?
我们邀请了妈咪知道儿科口腔科廖文灿医生,来和我们聊聊拔乳牙的那些事儿,其实没你想的那么可怕。
一、哪些情况下需要拔乳牙?
• 替牙期恒牙已经异位萌出,而乳牙还未脱落,形成“双排牙”。

• 影响恒牙萌出的乳牙。
• 严重的龋坏导致牙冠严重破坏,无法治疗或者治疗效果较差的乳牙。
• 严重的根尖炎症导致牙根明显吸收或者侵犯到恒牙胚。
• 外伤折断的乳牙。应拔除折断线以上的部分。
• 出现牙髓或根尖炎症又即将要替换的牙齿。
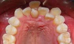
• 已萌出的,或者未萌出但是对正常恒牙萌出形成阻碍的多生牙。

▲多生牙
这么多情况,宝爸宝妈是不是有点晕了?
其实,只要记得第一个“双排牙”和最后一个“多生牙”的情况就好了,出现图片这样的情况就赶紧带娃去看医生,其他情况的判断交给医生就好了。
二、拔乳牙时打麻药,会痛吗?
拔乳牙的麻药分为表面麻醉和局部浸润麻醉两种。
▎表面麻醉
如果牙齿比较松,用表麻就可以了。
相对比较简单,把适量表麻膏涂抹在相应的粘膜上即可,很快就能起效。临床常用的表麻药主要有丁卡因等。
▎局部浸润麻醉
如果牙齿没有明显松动,就需要局部浸润麻醉。
局麻是需要用到注射器的,相对来说小朋友们会有些恐惧,这时候就需要医生做一些心理疏导。

不过我们在口内注射的针头一般都是比较细的,加上注射前一般会先涂点表麻,其实也不会有明显的疼痛感。
局麻的麻醉效果比表麻要好,打完麻药后就不会有任何的疼痛感了。临床常用的局麻药物有阿替卡因,利多卡因和甲哌卡因等。
三、打麻药会影响到智力吗?
表麻药物用量很小,也只是用在粘膜表面,不容易被吸收,没有明显的副作用。
局麻药物只要在安全剂量内,也是没有明显的副作用的,更不会影响智力。
那么安全剂量是多少呢?
拿常用的阿替卡因举例,根据文献,含1:100000肾上腺素的4%阿替卡因推荐最大剂量为7.0mg/kg,20kg重的孩子大约是140mg。4%的药液含有40mg/mL的药物。
1管标准瓶的4%阿替卡因是1.76mL,大约含有68mg的阿替卡因,这是远远低于推荐最大剂量的。而我们在临床上拔乳牙,往往用不到一管。
因此,各位宝爸宝妈可以放心,这个用量是非常安全的。
四、拔完乳牙后要注意什么?
这四点要记住:

最后跟大家总结一下:
乳牙的拔牙操作相对简单,比较快,麻药用量小,术后创伤一般都比较小,不会有明显的疼痛感,几天就能恢复,所以各位宝爸宝妈不用太担心啦。

遇到宝宝需要拔乳牙的情况,轻松一些告诉他/她,跟孩子说只是来医生叔叔这里变个魔法,可以把牙牙变不见就好。
尽量不要说要勇敢、坚强之类的话,这样会让孩子感觉这是一件很恐怖的事情。
最后,跟大家强调一点:
千万别自己在家里拔乳牙,即便那颗牙看起来一拽就能下来。在家里操作、麻醉、止血、器械消毒都是问题。