
神经介入在线原创文章,转载需授权

作者:姚丽娜,李新明,宋立刚,马宁
单位:北京天坛医院
本
周我们汇报一例右大脑中动脉重度狭窄血管内介入的治疗过程,具体如下。

病例详情
患者,女性,62岁,主因“发作性左侧肢体无力伴言语含糊1年”入院。1年前患者突发左侧肢体无力,表现为左手持物不稳,左下肢行走稍感拖曳,伴言语不清,能理解他人言语,但表达欠流利,症状持续存在。
就诊于当地医院行头颅核磁:右基底节、额顶叶新发脑梗死(图1)。

图1
头颅CTA:右大脑中动脉M1段重度狭窄(图2)。

图2
规范口服“阿司匹林、波立维、立普妥”等治疗半月后症状逐渐缓解,遗留左侧肢体精细动作稍差。5个月前再次出现左侧肢体无力,伴言语欠流利,程度较前加重,行头颅核磁:右侧侧脑室旁新发脑梗死(图3)。

图3
头颅MRA:右大脑中动脉M1段重度狭窄(图4)。

图4
继予内科药物治疗后症状缓解,但2个月前再次出现左侧肢体无力伴言语不清,行头颅核磁:右侧颞顶叶新发脑梗死(图5)。

图5
CTP:右大脑中动脉供血区低灌注(图6)。

图6
DSA:右大脑中动脉M1段重度狭窄,后循环向前循环代偿欠佳(图7-10)。

图7

图8

图9

图10
患者为行血管内治疗来我院。
既往史:脂蛋白代谢紊乱病史。
入院查体:左侧中枢性面舌瘫,左侧肢体肌力4级,左侧巴氏征(+)。
入院化验检查:TG:2.84mmol/L,LDL-C:2.02mmol/L。
血栓弹力图:AA 100%,ADP 5.1%。
TCD:右大脑中动脉M1段血流速度260cm/s。
入院后给予双联抗血小板(拜阿司匹林肠溶片100mg 1/日+氯吡格雷75mg 1/日)、降脂(阿托伐他汀钙片20mg 1/日)等治疗。
术前讨论
1.手术指征:患者1年内反复出现右大脑中动脉供血区域脑梗死;CTP提示相应区域低灌注;内科药物治疗无效,有介入治疗指征。
2.治疗策略:右大脑中动脉M1段重度狭窄,狭窄远端毗邻外侧豆纹动脉组,拟球囊预扩张,再放置自膨式支架。
3.相关风险:右大脑中动脉狭窄远端分支稀疏,CTP示相关区域低灌明显,置入支架后有导致高灌注的可能,需严格控制血压。此外,患者还有动脉夹层、破裂、急性或亚急性支架内血栓形成等其他风险。
治疗过程简述
全麻下右股动脉入路,6F Guiding导引导管至右颈内动脉C1段远端,术前造影示右大脑中动脉M1段重度狭窄(图11)。

图11
路径图下沿导引导管送入Transend微导丝(0.014″,300cm)越过狭窄放置在右大脑中动脉M2段以远,沿微导丝送入Gateway球囊(2.0mm×9mm)于狭窄处预扩张(图12)。

图12
撤出球囊导管,沿Transend微导丝送入Wingspan自膨式支架(3.0mm× 15mm),造影提示支架释放后支架贴壁良好,残余狭窄约5%(图13,14)。

图13

图14
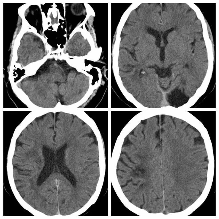
术后患者出现右颞部胀痛,查体同前,术后立即复查头CT未见出血(图15)。

图15
术后严格控制血压、镇静治疗,患者仍述头痛,分别于术后5小时及24小时复查CT,未见出血(图16,17)。

图16

图17
第二次复查CT后患者头痛逐渐缓解。
术后复查TCD示RM1血流速度140cm/s。
复查头颅CTA:右大脑中动脉支架内通畅(图18)。

图18
复查CTP:右侧额颞顶区域灌注较前明显改善(图19)。

图19
讨论
本例右大脑中动脉重度狭窄,患者术后出现头痛考虑系血流改善后高灌注现象,术后严控血压(收缩压低于120mm Hg),并手术当晚给予镇静治疗,以防灌注压突破导致症状性出血的发生。术后高灌注出血一般发生在术后即刻和术后24小时以内,超过术后24小时仍有高灌注出血的病例相对少见。
欢迎大家在下方留言区讨论关于本病例的看法~
大家都在看
