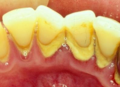
我们有时会在镜子中观察自己的口腔及牙齿状况,但部分人会发现自己的牙龈与牙齿的连接处被乳白色/黄褐色的物质覆盖着,这种物质是无法通过刷牙去除的,且有可能还会导致患者出现口臭的症状,这种物质就是牙结石。

牙结石(Dental Calculus)主要由磷酸钙构成,主要附着在口腔内牙龈与牙根的连接处,是导致多种口腔疾病的根本原因。
- 而牙结石的形成过程大概可以总结为:我们每天需要进食多种种类的食物,食物经过咀嚼后会有部分食物残渣留在口腔中附着在牙齿上,如果没有被及时清理,可能会经过细菌的分解形成牙菌斑。
- 牙菌斑逐渐积累就会在牙齿上形成软垢,这是牙结石的雏形。
- 有一部分人没有按时清洁口腔的习惯,那附着在牙齿的软垢经过钙化就会逐渐变硬,形成牙结石。

而经过长时间的积累,就会在牙齿和牙龈的连接处出现肉眼可见的成片牙结石。
有一部分患者会心生疑惑:我每天都有认真刷牙,还使用漱口水及时清洁口腔,为什么还是会有牙结石出现呢?
这是因为牙结石的形成不止受到清洁程度的影响,还有其他因素也会导致患者出现牙结石:
1,患者的唾液浓度过高。有一部分患者的唾液腺是过于发达的,每天会分泌高于平均水平的唾液,这很容易导致牙结石出现积累。
2,患者口腔内部的细胞出现退化,产生磷酸盐酵素。这种酵素会加速患者口腔内部的有机磷进行水解,从而使其更容易积累在牙齿上,形成牙结石。
3,患者的唾液偏碱性。如果患者的体质更容易使酸碱值升高,这样会使得唾液中的蛋白质以较快的速度分解,从而产生钙盐,沉积在牙齿上,逐渐形成牙石。
4,患者口腔内部CO2的浓度较低。这样的口腔环境更容易使得无机盐在牙齿上发生沉积,从而促进牙石形成。

牙结石存在于口腔中带来不少的负面影响,无论是患齿周围的软组织还是患齿下的骨质组织都有可能会受到牙结石的影响:
1,患牙周围的软组织面临感染发炎、萎缩溃烂的风险。因为牙结石会不断积累从而向患齿的龈下发展,这样会对患齿周围的牙周组织不断形成刺激,很容易导致其被细菌感染,从而引发炎症,牙周炎等就是这么来的。
如果是因为出现牙石而形成了牙周袋,会更容易使得细菌和食物残渣积累,造成更大范围的破坏。严重的甚至会导致牙周溃烂,牙龈出血等问题。

2,患齿下的骨质组织也会受到影响。牙结石经过钙化后会变得坚硬,如果任由其不断发展,侵犯到患齿的龈下,就会与牙槽骨发生对抗,这样会使得牙龈因受到一个外力从而出现向内萎缩,一旦萎缩过度,可能就会造成患齿的松动和脱落。

现下对于牙结石的治疗主要是定期进行超声波洗牙去除,一般频率是一年1-2次,用超声波对牙石产生强烈的震荡,使其碎裂,然后脱落,继而从口腔中清除出去。

最重要的还是要进行好前期的口腔清洁工作,就可以有效预防牙石生成。
我们可以在平常的生活中做到:
- 1,采用正确的方式按时刷牙,选择合适自己的牙刷牙膏以及漱口水。
- 2,可以适量多吃一些粗糙的食物。由于现在的饮食过于精细,可能会更容易产生食物残渣附着在牙齿上。
- 3,睡觉之前不要进食。因为晚上进食后如果没有及时清洁掉,食物残渣可能会在牙齿上经过一整晚的细菌分解形成牙石。
- 4,定期看牙医,周期性洗牙。

牙结石的主要形成原因还是日常的口腔清洁护理不到位,患者一定要定期洗牙并做好日常的清洁工作,避免小牙石带来更严重的口腔问题。

我是牙科医生黄征难,36年从业经历,如果你有任何口腔问题,欢迎关注后在主页私信咨询,或评论留言!可以私信牙片,我来帮你免费问诊!