说到皮肤瘙痒,我想大家或多或少都有过这样的经历。在临床上瘙痒症指的是无特异性皮损的瘙痒症状,根据病因不一样可涉及到多个学科,多个系统,如全身性、神经性、药物诱发或精神疾病和躯体化障碍等等都有可能, #守护皮肤防御病袭# 今天我就针对一些比较常见引起瘙痒的因素以及应对策略拿出来与大家一道探讨,希望对大家有所帮助。
系统性疾病引发
●这里涉及到的范围其实就非常广泛了,如各种血液病、代谢性疾病、内分泌疾病都有可能产生全身或者局部的瘙痒,如尿毒症引发(前面我有一篇文章进行过详细的介绍,我这里就简单的说一下,慢性肾脏病相关性的瘙痒症它常在接受透析后3个月左右出现);肝胆疾病(胆汁淤积性瘙痒症常先局限于手掌附近,然后逐渐泛发至全身,而且夜间瘙痒症状尤为明显,挠痒后也不能缓解,其次像肝硬化、慢性肝病在疾病过程中也可伴有瘙痒症状);内分泌疾病(如糖尿病、甲状腺功能亢进症、甲状旁腺功能亢进症、慢性炎症性肠病等);骨髓增殖性疾病(非霍奇金淋巴瘤或淋巴细胞白血病偶可引起瘙痒症,比较典型的如真性红细胞增多症可伴有水源性瘙痒症,即接触水后又瘙痒、灼热或刺痛感)。
●大家可别小看精神方面的疾病,其实它也可以引起瘙痒不适,如寄生虫妄想症(它可表现为皮肤表皮脱落、溃疡等);抑郁、焦虑症和其它精神方面的疾病(这些精神合并症可引起瘙痒,然而瘙痒本身又可以加重这些疾病,相辅相成);再看看看神经系统方面的疾病,如细纤维神经病(病理上为表皮C纤维损伤所致,常会伴有疼痛、刺痛、烧灼感或麻木,可有多种疾病引起,如糖尿病神经病变、带状疱疹、Fabry病等);最后提示一点,有些无肉眼表现的皮肤病,像“肥大细胞增生症”也会有引起瘙痒不适,在皮肤病的亚临床阶段 ,就很容易被忽略掉。

药物引发
●说白了,瘙痒可是“药疹”的常见症状了,但是药物也可仅引起瘙痒而无皮疹,这有一个特点,如果是药物引起的往往在停药后可迅速缓解,但也可在停药后持续存在而慢性化,具体的比例笔者查阅了相关文献,暂未见有大型的临床试验给出相关数据,太深入的我也不讲了 ,下面我就来说几个常见的药物引发瘙痒症的例子,如某些抗心律失常药、抗凝剂有的可引发胆汁淤积性瘙痒症,血管紧张素转换酶*制剂抑**(卡托普利、贝那普利等普利类药物)服用后引起缓激肽水平升高也可出现瘙痒症状,服用某些非甾体类解热镇痛药(双氯芬酸、布洛芬等)它可引起白三烯合成增加从而引发瘙痒不适。

小结
●按照国际瘙痒研究论坛(IFSI)的分类系统,一般初步检查后可大致分为伴有炎性皮肤病(IFSI-I类)、皮肤正常(IFSI-II类)和伴有抓痕的慢性瘙痒症(IFSI-III类),但是病人不论是哪种类型的瘙痒(有的可能是单纯的老年性瘙痒症,有的可能只是单纯的季节变化引起皮肤干燥后瘙痒),如果考虑是潜在疾病引起的瘙痒,我觉得就非常有必要刨根问底了,可通过详细的病史询问、查体、实验室检查来论证,如以下两个表(仅供参考):

根据以上症状、病史等来抓住一个考虑方向

关于瘙痒的一些化验、检查
瘙痒不适,该作何应对?
●一般处理:临床上对待各种疾病的应对其实各有不同,像疼痛的患者,我们一般不能随便应用止痛药,因为随时有可能因为你止痛了而掩盖原发疾病。个人认为,像皮肤瘙痒要求就没这么严格了,因为不论是哪种病因,止痒对于患者而言都很重要,可采取一般措施如润肤剂、炉甘石洗剂以避免加重皮肤干燥和损伤,局部使用一些常规止痒药物如尿素、聚桂醇和薄荷醇的止痒药物均可,在止痒药方面,个人认为像第二代抗组胺药物效果还是不错的,这里面供选择的药物种类就比较多了,还是要根据病情由医生经验性来使用,这里我就不展开来一一分析了。
●当考虑是过敏性皮肤病引起,例如湿疹、神经性皮炎、过敏性皮炎、痒疹等,我进行了一个小小的总结,如下:
①如果皮肤病正处于急性期或者亚急性期,皮肤上的表现为鲜红色斑、鲜红色的疹子或者小水泡,这时候用药个人认为可以选择水为溶剂的液体类外用药物,如:1%醋酸铝溶液、3%硼酸溶液、炉甘石洗剂、氧化锌洗剂等等效果比较好。
②如果发现皮肤病已经处于慢性阶段了,往往这时候皮肤外观看起来肥厚而干燥,用药的话可以选择以酒精类为溶剂的液体类外用药更佳,例如:皮炎宁酊等,像其它的膏霜类外用药效果也可按具体疗效酌情外用,比如:艾洛松霜等。由于这个阶段的外用药可能吸收会相对差一些,建议可同时搭配一些具有溶解和剥离角质层作用的外用药效果会更好,如:5%-10%水杨酸软膏、尿素霜等。
③如果病*皮人**肤不仅仅是瘙痒,而且还存在因瘙痒而过度挠抓后引起了皮肤的细菌感染(局部红、肿、或者有脓性分泌物渗出等表现),这时候就需要配合的使用一些杀灭细菌的外用药如:呋喃西林溶液、过氧化氢溶液(小提示:会有一定的烧灼感)、莫匹罗星软膏均可。注意了,由于市面上很多的过敏性皮肤应用的药膏或者溶液其实都含有类固醇类激素(感兴趣者可以拿药品说明书在成分表那个栏目详细看看),所以在治疗皮肤病的同时如果用的量比较大或者时间比较长,那可能诱发局部真菌感染,这时候可以配合的应用一些杀真菌的药物如酮康唑、咪康唑软膏均可。
④如果仅仅只是季节变化,天气干燥引起,比如在秋冬的季节,空气中水分含量比较低,皮肤在干燥的环境下加大水分的流失,那注意补水即可,或者应用一些润肤霜,像“大宝”可是实惠又有效,或者去超市的护肤品专柜处咨询专业的护肤人员也可,如果是虫类叮咬造成的瘙痒,如蚊子、跳蚤是最常见了,一般过会可自行消退好转,实在痒的厉害可以局部使用如清凉油、花露水均可,个人感觉效果还是不错的。

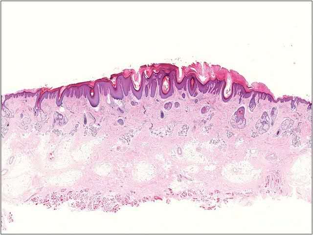
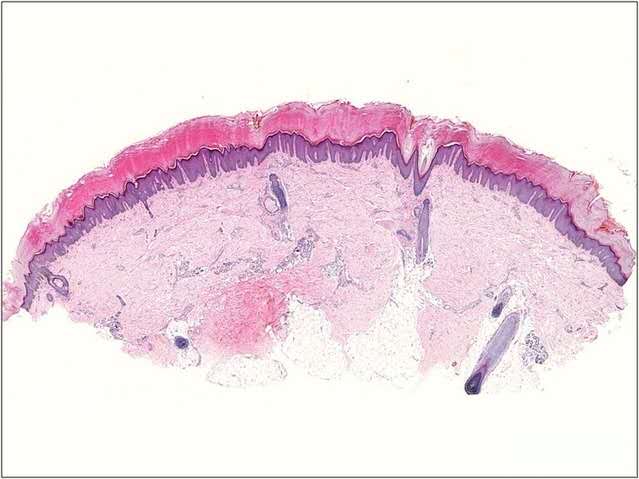
●如果考虑瘙痒是由原发疾病因素引起,那就在局部止痒的同时积极去寻找病因,像我们肾内科尿毒症患者引起的皮肤瘙痒,可通过定期行血液灌流或血液透析滤过,保证透析的充分性,积极治疗尿毒症的各种并发症或者结合一些中医调理均可,像其他原发病引发的如肿瘤、精神障碍、糖尿病、神经性瘙痒等所引起,涉及范围广泛,可进一步寻求专科医生的帮助,根据病情需要,必要时进行病理活检来明确并指导临床用药,部分引起瘙痒的相关疾病病理图如下:

结节性痒疹,低倍镜下显示丘疹模式

神经性皮炎,常由过度搔抓所致
综合总结
●平时在饮食上其实也要清淡饮食,不要太过辛辣、刺激,可以多吃些蔬菜瓜果,因为它们富含维生素,对于缓解瘙痒可能有一定的作用,注意多休息,不要熬夜,早睡早起,季节干燥的时候多喝水,补充水分,保持心情愉悦,有不适尽早就医,我想看到这里,大家可能觉得比较详细了,其实不然,我这只是一个小小的框架,在临床上还是需要具体问题具体分析的。
注:本文不构成医学治疗建议,也不具备医疗指导意见,仅为健康科普所用,由于临床经验有限,为对瘙痒有一个更深的概括,同时也查阅了大量文献,希望对大家有帮助。由于时间仓促,难免可能有遗漏或者错误之处,还望各位及时指出,如仍有疑问,欢迎评论区留言、互动、交流,如果有帮助, 欢迎点赞、转发、收藏,如果喜欢我的创作内容,欢迎关注我,每天都会为大家分享健康知识,谢谢大家的耐心阅读,我们下期再见。 #守护皮肤防御病袭# #健康出行节# #她健康计划# @*今条头日**青云计划 @头条健康 @南方健康
配图:文中的病理图片来自西京医院王雷医生
参考文献:
1.Daniel R J , Chiara F A , Gil Y . Diagnosis and Management of Neuropathic Itch[J]. Dermatologic Clinics, 2018:S0733863518300160-.
2.Shevchenko A, Valdes-Rodriguez R, Yosipovitch G. Causes, pathophysiology, andtreatment of pruritus in the mature patient[J]. Clinics in Dermatology, 2018, 36(2):140-151.
3.Elsone L, Townsend T, Mutch K, et al. Neuropathic pruritus (itch) in neuromyelitis optica.[J]. Mult Scler, 2013, 19(4):475-479.
4.Misery L , Brenaut E , Le Garrec, Raphaële, et al. Neuropathic pruritus.[J]. Nature Reviews Neurology, 2014, 10(7):408-16.
5.Liu T , Ji R R . New insights into the mechanisms of itch: are pain and itch controlled by distinct mechanisms?[J]. Pfluegers Archiv European Journal of Physiology, 2013, 465(12):1671-1685.