有一种关于治疗膝关节骨刺(骨赘)的说法在社会上可谓是遍地开花,无论哪儿个省份、哪儿个城市角角落落的老年人群中,都流传着这样的说法:“膝盖疼?长骨刺了吧?您就使劲走,把骨刺磨平就会好了,我听别人说特好使,您也这么干吧!而且人家也说了,膝盖越用越灵活呢!”真是这样吗?

这就是无稽之谈,大家千万别信,给大家讲解一下骨刺的前世今生,您就会明白医生对这种说法会嗤之以鼻了! #清风计划# #真相来了#
骨刺是什么?为什么关节会长骨刺?

说到骨刺的形成,就必须聊一聊关节软骨,我们的关节内,在关节的两面覆盖着非常重要的一层软骨结构,这层软骨其实非常好的润滑关节、缓冲压力的作用。在关节内还有丰富的滑膜组织,滑膜会分泌滑液,滑液能使关节腔的摩擦系数降到0.001。由软骨、滑膜以及关节内的半月板或其他软骨组织,共同构成了关节内的缓冲系统,这样我们才能正常的行走、跑跳,做各种各样的运动。

然而我们关节内的软骨并不是一成不变的,随着年龄的增长、长时间的使用、剧烈的竞技运动、受寒冷等因素的刺激,体重的增加【1】等各种因素会导致软骨发生磨损。更为重要的是我们关节内的软骨是一种不可再生的组织,一旦发生了损伤,就几乎不可恢复。

软骨的损伤早期并不会有特殊的症状,但是当软骨损伤的程度比较重了以后,关节内的骨与骨之间缺少了软骨的承重以及缓冲,会导致骨与骨之间压力的增加,我们的身体默认为缺少了软骨的保护,但是又不能再生出新鲜的软骨组织,于是在这种刺激的作用下寻求其他帮手来帮助关节增加面积、增加承重,这个帮手就是骨赘、也就是骨质增生。
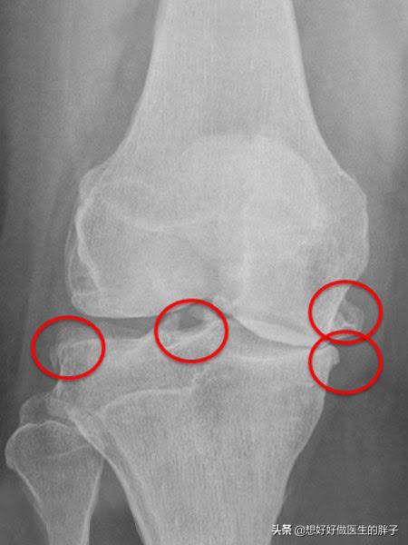
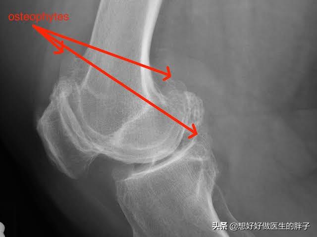
为什么有的人将骨赘称之为骨刺呢?就是因为有一些骨赘是突出骨骼范围之外的,其实这些骨赘比较小的时候,是不会对周边的软组织产生刺激和损伤的,但是如果当骨刺比较大以后,就有可能影响到周边的软组织、肌腱以及骨结构,从而产生疼痛、肿胀以及屈伸受限等症状。(下图的膝关节x线,患者就可能产生屈伸障碍、关节后方的疼痛或不适)

看到这里相信大家应该明白了,骨赘(骨刺、骨质增生)本来是帮忙的,之所以形成骨赘的基础是关节软骨的磨损,早期同时存在着纤维软骨修复、骨赘增生;晚期出现软骨的彻底破坏,表现为软骨硬化、软骨消失及软骨下局灶性骨坏死。晚期会导致严重的间隙狭窄和疼痛,需要手术解决大关节的问题。
有了骨刺,如何治疗呢?
大家首先要明白,目前世界上并没有任何一种药物,可以使已经形成的骨刺消失掉,因为这本身就是一种老化的过程,医学上称之为退变。如果有这么一种药物能使骨刺消失,那么就相当于使人类返老还童。
第一,即使经过检查发现了关节存在骨刺,如果没有任何的症状就不需要治疗。绝对不要发现骨刺就开始大量的花费时间、精力与金钱,想要使骨刺消失掉。
第二,如果关节骨刺又发了关节疼痛以及关节不适的症状,我们可以首先采取保守治疗【2】。比如口服、外用非甾体镇痛药【3】,帮助控制由于骨刺刺激了周边软组织,等结构产生的疼痛。局部也可以采用热敷、冷敷以及物理治疗的措施帮助缓解疼痛。前面已经说到了,很多骨刺都是由于关节软骨受到了磨损产生的,所以可以给予患者口服氨糖观察是否能帮助患者缓解症状,一般建议口服1~2个月即可,如果有症状的缓解,可以继续服用,如果没有症状就可以停药了(目前对于氨糖的争议比较多,建议患者尝试为主,不要过度相信)。
我们也可以给予关节内进行玻璃酸钠注射帮助患者增加关节内软骨的弹性,增加关节腔软骨的润滑,减轻关节承受的负担,来帮助患者减轻关节的症状。

最近几年关节内注射PRP(富血小板血浆因子)特别流行,这种物质是一种生物制剂,取患者自己的血液经过无菌离心技术游离出PRP,给与注射入患者的关节腔内,达到缓解软骨损伤症状的作用,目前有文献报道在施用后约两个月持续长达一年的疼痛改善和功能改善的有益效果【4】。但是这种治疗费用较高,增加患者的经济负担,可以先采取关节内注射玻璃酸钠观察病情变化,再决定是否进行这种治疗。

第三,如果患者腔内的软骨磨损过于严重,骨髓形成的特别多,而且患者出现了明显的关节疼痛,尤其是出现了静息痛和夜间痛严重影响患者生活质量的时候,恐怕需要进行关节置换的办法帮助患者彻底解决问题。髋、膝关节置换目前可用的手术技术和外科医生技术都已经非常成熟,数据统计90%以上接受TKA治疗的患者在手术后20年之内受益【5】。

明白了上面的道理,我们来聊一聊通过大量行走、使劲运动是否能将骨刺磨平?
大家觉得能吗?
如果已经存在了关节的骨刺,说明关节内的软骨已经存在了问题,那么如果不适度的休息、科学的运动,而是通过大量的行走、长时间的运动来试图将骨刺磨平,这种做法会导致关节腔软骨的进一步磨损,如果软骨磨损的越厉害,那么骨刺的形成也就会越多。

这种做法其实不是为了保护我们的关节,而是在进一步伤害人们的关节,建议大家要听专业医生的建议,而不要听“他们、街坊、邻居、有些人、某某人”的谣言,再试图用这种办法来治疗已经有问题的关节了。这就不是做无用功的问题了,这是在伤害患者自身,所以千万别信骨刺走路就能磨平的谣言!!!
接下来我们聊一聊人的膝关节越用越灵活这个理念是否正确!
本人觉得抛开使用的量、使用的时间和方法谈论这个话题不是很科学。
单纯的从字面理解这句话肯定有其正确性,不仅膝关节,人体的任何关节都会越用越灵活,比如刺绣的女工,她的手指肯定经过反复的练习肯定越来越灵活;再比如足球运动员,他们的膝关节灵活性肯定比普通人强百倍!
但是如果您看看刺绣一辈子女工五指的时候,当您看到一些常年过度使用膝关节的运动员关节内受损的情况以后,您可能就会对这个理论有一些其他的看法,比如我们国家的著名运动员郎平,据我所知她的周身关节已经手术不下十余次了。


所以我们不妨把这种说法加上一个前提条件:“合理、科学以及适度的使用膝关节,会越来越灵活”,这样似乎更准确一点。
这个科学、合理、适度如何掌握呢?
●运动的方式很重要:大家都知道生命在于运动,但是运动的方式也要有正确的选择,比如长时间的爬山、长时间上下楼梯、反复的蹲起这一类的动作,会明显的增加关节的负担,如果是年轻人还可以承受,如果年龄超过了35岁以上关节的软骨,已经开始进入到退变的阶段,那么就不建议再做这样的运动了。为了保护我们的关节,尤其是关节已经开始有轻度疼痛的朋友,建议多做游泳、骑固定式自行车、散步这样对于关节影响比较少的运动。

●运动的时间:还是同运动的方式一样,如果是年轻人,身体正处于非常活跃的状态,对各种运动反应也比较灵敏,所以运动的时间可以比较长,但是如果年龄比较大了,仍然长时间的进行某一项运动,可能会对关节造成一定的损害。一般情况下我们建议有氧运动控制在40分钟到一小时就足够了,有氧运动可以控制在每周3~5次;无氧运动建议每天控制在30分钟左右,同样建议一周控制在3~5次。因为我们要给身体以及关节一些休息的时间,不要让我们的身体长时间处于疲劳的状态。
●合理的使用关节:什么叫合理?个人觉得就是根据每个人的身体状态和体质去使用关节。比如一个人,从小时候就非常喜欢运动,那通常医生就会建议这位朋友使用关节的量和时间可以加大一些,为什么呢?因为这样的人群通常身体的骨骼肌肉以及反应都是处于一种非常灵敏的状态,这得益于常年的运动。而有一些人群是步入中年老年开始,希望选择通过运动来强身健体,这种情况我们通常就会建议,适度的控制运动能量和时间,因为毕竟是属于半路出家,身体的骨骼肌肉并不会特别适应,过度的使用,关节就很容易造成伤害。
总结
骨刺并不会由于过度的长时间的使用而被磨平,只会越来越重。
针对骨刺治疗,无症状不需要治疗,有症状对症治疗,严重的患者可以采取手术治疗的办法彻底解决问题,所以不要因为有了骨刺就开始焦虑、焦躁,试图用各种办法使其消失,一定要小心不要被骗,被伤害!
关节需要科学合理以及适度的运动,才会保证其健康的状态。
如果你还有其他的疑惑,可以在下方留言,大家共同探讨。
参考文献
【1】Heidari B. Knee osteoarthritis prevalence, risk factors, pathogenesis and features: Part I. Caspian J Intern Med. 2011 Spring;2(2):205–12.
【2】Van Manen MD, Nace J, Mont MA. Management of primary knee osteoarthritis and indications for total knee arthroplasty for general practitioners. J Am Osteopath Assoc. 2012 Nov;112(11):709–15.
【3】da Costa BR, Reichenbach S, Keller N, et al. Effectiveness of non-steroidal anti-inflammatory drugs for the treatment of pain in knee and hip osteoarthritis: A network meta-analysis. Lancet. 2016 May 21;387(10033):2093–105.
【4】Anitua E, Sánchez M, Aguirre JJ, Prado R, Padilla S, Orive G. Efficacy and safety of plasma rich in growth factors intra-articular infiltrations in the treatment of knee osteoarthritis. Arthroscopy. 2014 Aug;30(8):1006–17.
【5】Carr AJ, Robertsson O, Graves S, et al. Knee replacement. Lancet. 2012 Apr 7;379(9823):1331–40.
我是坚持用简单语言解释复杂疾病知识的谢新辉,码字不易,如果能赞同我的观点,请帮忙点个关注或点个赞吧。如果您或者是您的家人朋友正在经历着骨刺的困扰,或者是正在采用这种谣言所述的方式来试图消除骨刺,赶紧把这篇文章转发给需要的他们吧,谢谢了!
