病例分享:男性,33岁
主诉:手部抖动4年,言语费力3年
现病史:4年前开始出现左手不自主抖动,表现为运动时出现,紧张时加重,静止时消失,不伴有头部抖动。3年前出现右手不自主抖动,伴有双下肢紧张时抖动,并伴有言语费力,讲话变慢。1年前出现走路姿势异常,躯干前倾,左右摇摆,步基增宽,无跌倒及摔伤。无便秘、小便*禁失**、嗅觉减退、抑郁情绪及RBD。
既往史:乙肝20年,自述已愈。左前臂骨折30年,已愈。
门诊查体:右侧卧位血压125/75mmHg,心率72次/分,右侧立位血压128/80mmHg,心率75次/分。心肺腹查体未见异常。神经系统查体:神清,轻度构音障碍,高级皮层功能粗测正常。双眼水平及垂直眼震,余颅神经检查未见异常。四肢肌容积正常,肌力V级,肌张力正常。双侧指鼻、跟膝胫试验欠稳准,轮替试验缓慢,Romberg征阴性,直线行走不能。四肢可见姿势性震颤。行走时躯干前倾,步基增宽,后拉试验阴性。四肢腱反射对称减弱。双侧深浅感觉检查正常。病理征阴性。颈软,脑膜刺激征阴性。
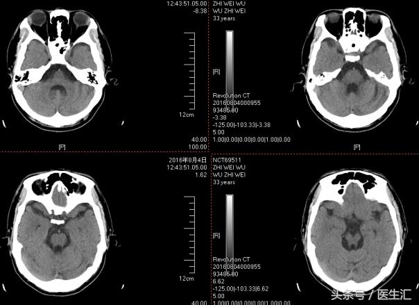
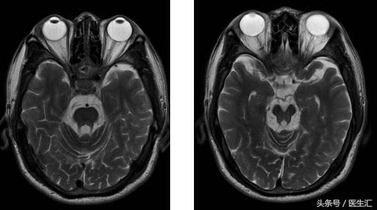
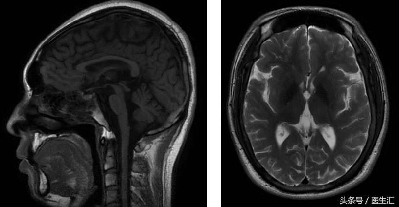
图像资料






诊断
门诊诊断:多系统萎缩(C型)
依据:
定位:锥体外系(震颤)、小脑(步态、共济运动、影像学)
核磁:小脑萎缩、脑干萎缩
鉴别诊断:特发性震颤(不支持:小脑体征和影像太明显)
疑问:没有自主神经功能受损的症状如何诊断MSA? ——肛门括约肌肌电图阴性
最终诊断
否定多系统萎缩
诊断:肝豆状核变性
——查体:K-F环阳性

辅助检查:
血常规:WBC(2.37*10E9/L)、PLT(54*10E9/L)(追问病史,患者3年前体检即发现血小板低)
生化:ALT(29.9 U/L)、AST(17.9 U/L)、GGT (78.5 U/L),IBIL(12.4 umol/L)、K(3.4mmol/L)
血清同型半胱氨酸(24.3 umol/L);
肿瘤标志物正常
甲状腺功能、甲状腺抗体、凝血功能等无异常
黑质超声:III级,单侧黑质强回声面积左侧0.35cm2,右侧0.2cm2
腹部B超:肝脏弥漫性病变,肝多发实性占位,建议增强影像进一步检查,门静脉增宽,脾大,腹腔少量积液
腹部增强B超:肝多发实性结节,考虑肝硬化增生结节
辅助检查:
MMSE 30,MoCA 27(大学);HAMD 2,HAMA 6
血清铜蓝蛋白:0.040g/L(0.2-0.6)
24小时尿铜2729.3ug(服用青霉胺后一月)