今年54岁的王大妈,是个“老”肾结石病号
半月前因为又查出双肾结石
到苏州科技城医院咨询治疗方案
王大妈对着泌尿外科主任王卫国说
王主任啊,我右肾里有几个石头
你看要怎么办好啊
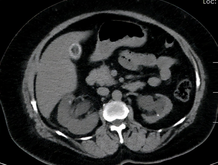
王卫国看了她的肾CT片子后解释说
你的左肾有结石、左输尿管也有结石
左肾明显萎缩表现,但仍有保留价值
按理来说应该要先治疗左侧的结石啊

王大妈一脸不屑:
我有一个好肾就行了,左肾不管它了!

由于王大妈不认同王卫国的治疗方案
所以就诊当天就回去了
可谁知半个月后
王大妈突然发生右腰痛、高热,体温高达40℃
被家属紧急送来急诊救治
查血发现血象很高,肾功能也不行了
原来是王大妈的右肾结石掉了出来
形成右输尿管结石合并肾积脓,尿源性脓毒症
再加上王大妈左肾有结石且明显萎缩
双肾梗阻,同时发生了急性肾功能不全

按治疗原则,王卫国急症手术
给患者右侧输尿管先放置了支架管引流感染
待二期取右侧结石
在征得王大妈及家属同意后
王卫国给病人清除了左输尿管结石及肾结石

就像王大妈一样,不少人觉得
人有2个肾,少一个因为问题也不大
但真的是这样么?
多的一个肾真如同阑尾一样毫无价值?

肾脏是人体的重要器官
它的基本功能是生成尿液
借以清除体内代谢产物及某些废物、毒物
同时经重吸收功能保留水分及其他有用物质
如葡萄糖、蛋白质、氨基酸、
钠离子、钾离子、碳酸氢钠等
以调节水、电解质平衡及维护酸碱平衡
肾脏同时还有内分泌功能
生成肾素、促红细胞生成素、活性维生素D3、
前列腺素、激肽等
又为机体部分内分泌激素的降解场所和肾外激素的靶器官
肾脏的这些功能,保证了机体内环境的稳定
使新陈代谢得以正常进行

王卫国
女娲造人,给我们每个人造了两个肾,说明是肾脏是脆弱的,容易受各种疾病、药物损伤。特别结石的病人,容易双肾同时发生结石,在一个肾发生梗阻时,另一个肾就会起到功能增强、代偿作用。如是一个肾已经梗阻,还不去治它,则另一个肾万一再生疾病、结石梗阻之类,人就会迅速出现肾功能不全、其至危及生命。比如王大妈,如果上次来清除了左侧结石,这次不至于迅速出现肾功能不全。
肾是脆弱的,同时又是功能强大的
研究表明,人只需要半只肾
就足可以负担起人体排泄代谢废物的作用
所以,肾即使出现一定程度的萎缩
但清除结石之后,仍可能恢复强大的功能
甚至远超花大价钱移植别人的“好”肾
这些年来,王卫国通过微创手术
解救了数十例被病人或其他医生判“死刑”的肾
复查肾功能,肾功能恢复挺好
因此,大家不要总以为
我有2个肾,少一个没关系!

日常生活中
饮食过咸、饮水过少、憋尿、过度喝饮料等行为
都容易导致肾功能受损
因此,我们要养成良好的生活习惯
戒除损害肾功能的行为
保护好脆弱又强大的肾脏!

王卫国
科主任、主任医师、教授、硕导
医疗特长:熟悉泌尿外科各前列腺、膀胱、肾等疾病治疗;熟练掌握经皮肾镜手术、输尿管(软)镜手术、经尿道电切手术、腹腔镜手术等;熟练掌握前列腺电切及膀胱镜下各种常用操作技术。尤擅长复杂性肾结石、尿源性脓毒症的诊断治疗。
学术兼职:中华医学会山东泌尿外科分会结石学组委员;中国医师协会山东分会结石学组委员;中国中西医结合学会济宁泌尿外科分会副主任委员;中国性学会私密整形分会委员。