我上班很多年,从未听说过藏毛囊肿和藏毛窦。说句实话,如果没有张华斌老师,我是不可能认识这种疾病的。话说我是如何知道张华斌老师的,那是我的科长和科里的另一位老师推荐的让我关注华斌的超声世界,一开始,一天看一篇或是几天看一篇,到后来着了迷,不光看微信公众号上的文章,还买了四本华斌的超声笔记,基本上是出一本买一本,当然了,看书是不可能全都看完的,只看写的很有趣,但是呢,张华斌老师的文章写的都很有趣,所以呢,我也看了很多,并且在书中发现了关于藏毛窦和藏毛囊肿的文章,并在以后得工作中发现藏毛囊肿和藏毛窦各一种形态。后来我们科长也发现一例。可惜的是,我发现的第一例藏毛囊肿因为我没有保存好,所以现在找不到了,感觉损失了一个亿。它只能深深地印在我的脑海里。但当时发现我一生中第一例藏毛囊肿的那种喜悦心情我永远忘不了,感谢张华斌老师。
藏毛囊肿和藏毛窦统称为藏毛疾病,因为形态不同,所以起了两个不同的名字。它们是在骶尾部臀裂的软组织内的一种慢性囊肿和窦道,主要特征是内藏毛发。超声笔记上有四幅图片,全都是藏毛囊肿的。囊肿里面常有肉芽组织增生,纤维增生,常含有皮肤碎片和毛发。
藏毛疾病是外国人先发现的,疾病的根本原因是毛发向内生长,就是像土拨鼠打地道那样生长的。附图

这是一个藏毛疾病的患者,不过这是一例手术后复发的病人,长得像一个小尾巴一样,里面可以见条状的线状稍高回声。我在丁香园里特别找了几幅手术中的照片,非常的难以入目,真的是少儿不宜。治疗方法一般是切开引流,还有切开一个菱形的口子,把里面一些坏死的组织挖出来。


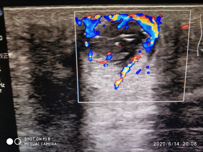
这是我们科长做的,可以看到包块周围血流还是挺丰富的,提示可能有肉芽组织增生,里面有几根条带状的毛发回声。
预防的方法,我估计要保持骶尾部的清洁了,不要长时间坐在椅子上。大家可以摸摸自己的骶尾部,要是发现有隆起包块感,可以找医生看看。希望能够帮助到大家。