胖是现代人最常见的“痛”,但有的时候“胖”可能真的是一种病。33岁的黄女士半年前发现自己突然小肚子圆了起来,又无其他不适,不知不觉半年来体重增加8斤了,自己推测是平时动得少吃得多又长胖了。
直到几天前单位体检才发现肚子里长了一个堪比足月胎儿大小的巨大实性肿物,充满了整个腹部,上达肝下,下至耻骨联合,周围脏器被严重挤压变形。
肚子隆起误以为是发胖 实则是长了巨型肿瘤
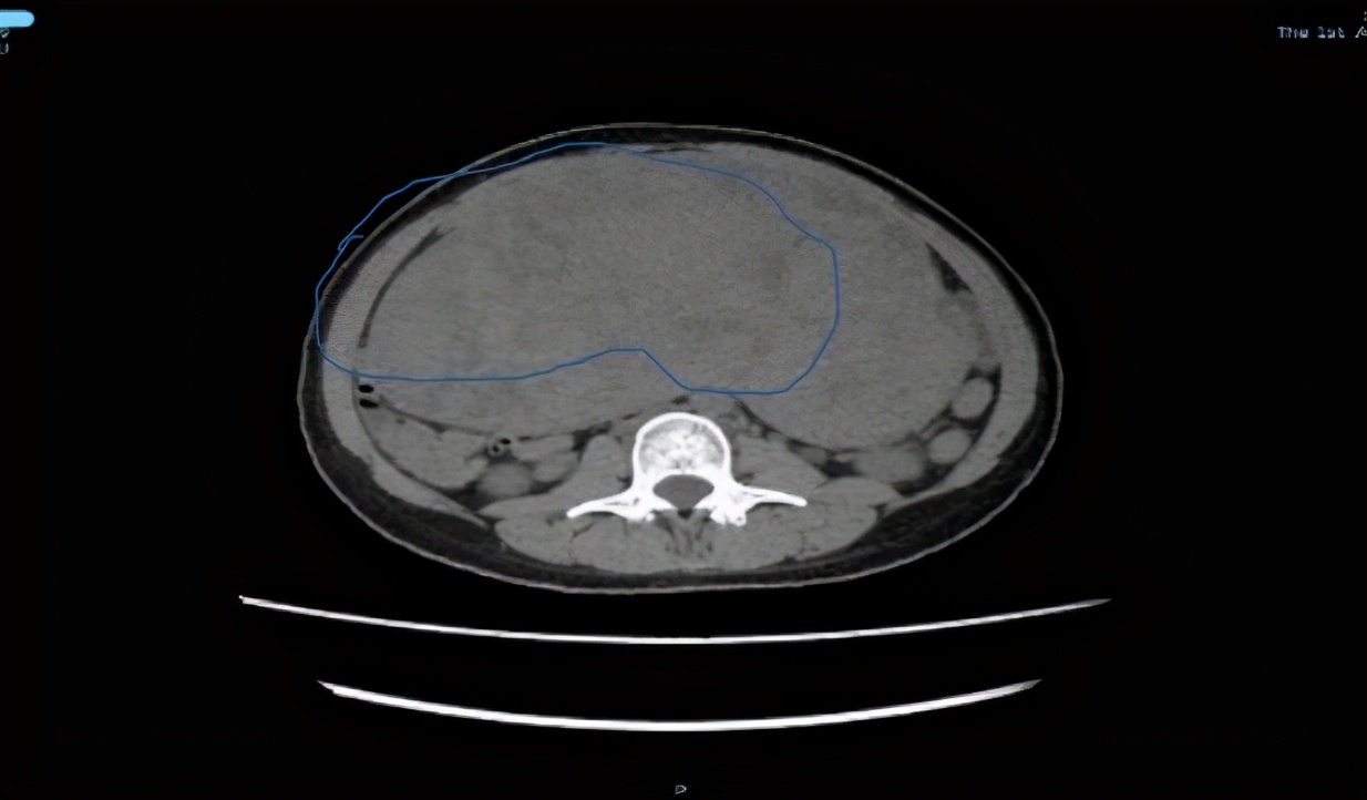
“未见其人,先见其腹”!体重50公斤的黄女士来暨南大学附属第一医院就诊时,她的肚子却巨大得异常突兀,经过全腹CT检查,结果显示:腹盆腔内见一巨大软组织肿块影,大小约22cm*10cm*28cm。子宫后发盆腹腔探及一实性光团,考虑盆腹腔巨大实性占位病变。抽血检查显示,包括肿瘤标记物均正常。

术前CT检查 腹腔内巨大肿物

术前彩超检查 子宫后方巨大肿物
妇科主任沈媛根据黄女士的影像学检查以及肿瘤标记物检测,凭借丰富的临床经验判断:腹腔内其他脏器被严重挤压,这个巨大的肿物很可能是来源于卵巢的恶性囊肿或者是来源自子宫的恶性肿瘤。
在与患者及家属充分沟通和评估病情后选择剖腹探查明确病因并切除巨型肿瘤解除压迫,恢复盆腹腔脏器的位置。沈媛主任和徐建平主任医师、陈舒主治医师同完成了手术,所幸的是剖腹手术后发现肿物是来源于子宫的巨大肌瘤(子宫平滑肌瘤伴局灶水肿),并非恶性肿瘤。术后黄女士很快恢复了正常生活,第四天就出院了。

妇科沈媛主任手术团队在进行手术
子宫肌瘤未必需要干预 出现症状才需要积极治疗
沈媛介绍,子宫肌瘤是最常见的良性子宫肿瘤,育龄期女性患病率可达25%。由于子宫肌瘤是性激素依赖性肿瘤,最常见原因是各种原因所致内分泌紊乱引起性激素过于分泌旺盛,造成子宫壁平滑肌细胞增生,很多女性会长子宫肌瘤,大多数会随着年龄增长月经消失而停止生长甚至萎缩,不需要处理。
以往的观念认为,子宫肌瘤生长使子宫体积大于孕2月以上就可切除,但根据2017年《子宫肌瘤的诊治中国专家共识》,目前已不再以子宫大小作为手术指征。沈媛指出,不是发现子宫肌瘤就需要手术,如果子宫肌瘤引起症状,比如:月经过多甚至导致贫血;压迫膀胱导致尿频;压迫直肠导致便秘。考虑子宫肌瘤是导致不孕原因,或者绝经后仍出血肌瘤生长,出现这些情况时,子宫肌瘤就需要治疗了。
如果药物治疗能够控制者,先予药物治疗;药物治疗不能控制者,考虑手术治疗。目前可以选择的手术方式包括:开腹手术、腹腔镜手术、经阴道手术、高强度超声聚焦等。
沈媛强调,对于年轻女性如果自觉肥胖或体重增加,不能忽视妇科疾病巨大卵巢肿瘤或子宫肌瘤可能,需要定期体检或医院就诊排除相关疾病。对于相关疾病的治疗,在制定治疗方案前要根据患者的具体病情,充分考虑患者的生育需求全面评估治疗方案,选择合适的治疗方式。
(通讯员:黄晨玲子 张灿城)
#暨南大学附属第一医院#