大家好,这里是天下杂学。之前暑假的时候,同学和我说家里面种的怀山药线虫病比较厉害,常规药已经没办法治了,导致产量下降比较严重,今天给大家讲一下山药线虫病的一些防治方法,供大家后续参考。

01 山药的基本知识
山药是我们平常的叫法,学名叫薯蓣,是草质藤本植物,全国各地都有分布。我们食用的是它的块茎,和土豆一样。山药块茎长可以达到1米以上,也就是市面上的优质铁棍山药这类,断面呈白色,有粘液,这也是为什么我们切山药的时候感到有点粘滑的原因。
山药的营养价值比较高,蛋白质含量可以达15%以上,粗纤维含量3.5%左右,还含有多种微量元素及氨基酸,比起土豆的2%的蛋白质含量,可以说是上好的食材了。

山药容易繁殖,只要把留的种块也就是平时吃的山药切成段种下去,便能发芽生长。我之前在花盆里面试过,一个大拇指的种块可以长出大概手掌大小的块茎。另外,山药还可结果,就是我们吃的山药豆,也可以用来播种繁殖。
山药适宜长在疏松、深厚的土壤中,便于块茎的膨大,可以耐旱,但是土壤过于潮湿会容易出现病害。山药的主要危害对象有地下线虫、土生昆虫、叶枯病、褐斑病等常见病菌以及一下杂草。

02 这里我们就谈山药线虫病
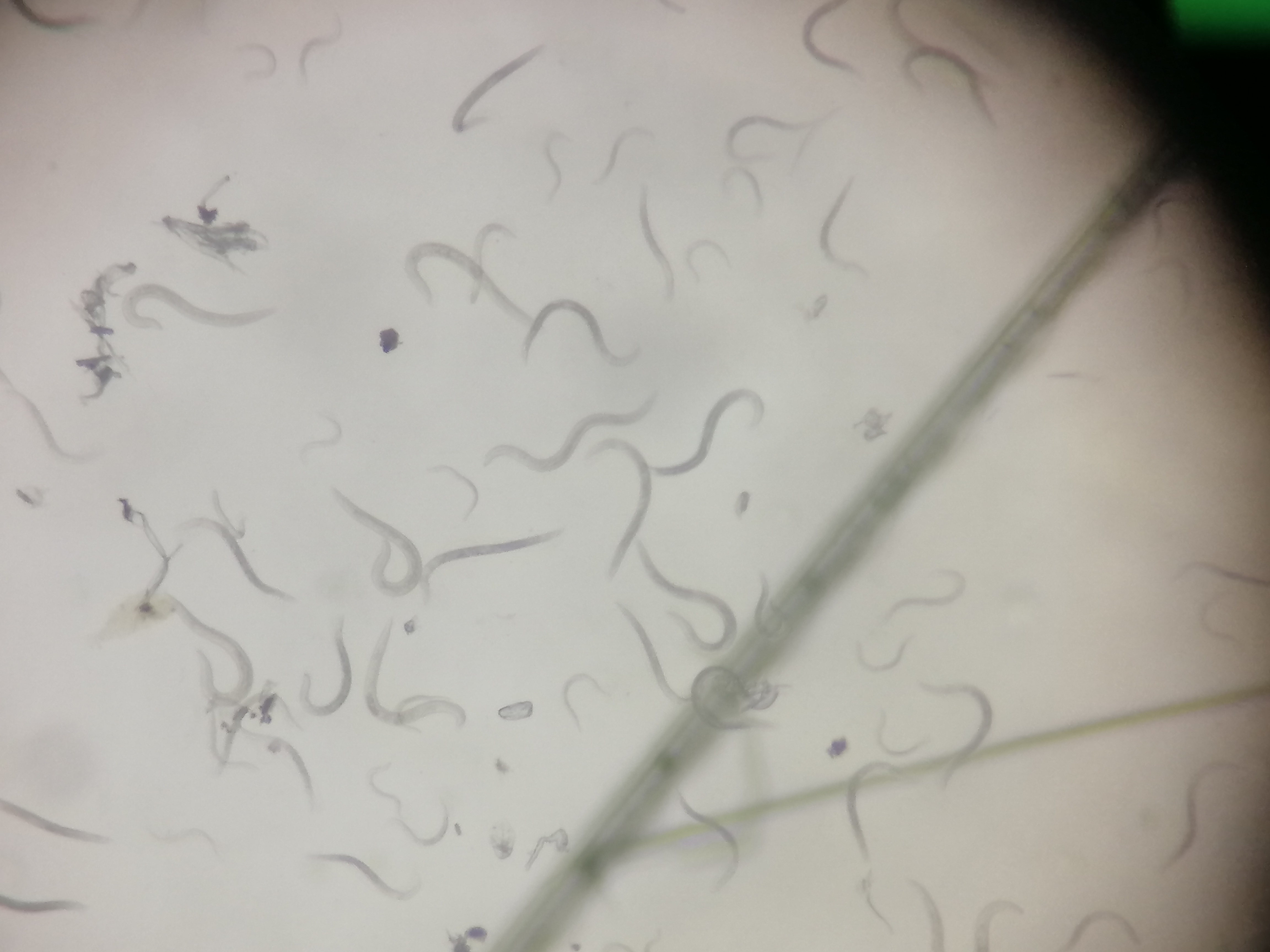
根结线虫是分布最广泛、危害最严重的植物病原线虫之一,寄主超过2500种,对于农业的危害已经超过细菌和病毒,每年造成的损失超过1000亿美元,而危害山药的线虫之一就是根结线虫,且危害程度较重。
线虫侵染后,植物根系发育受阻,侧根数量增加,并形成大小不一的瘤状突起,而随着线虫的生长,这些根结会变大。如果把根结割下来放到显微镜下看的话就能看到大量的虫体。

线虫大量爆发、危害严重的原因是可以多次产卵,并通过卵、卵囊、二龄幼虫在土壤中过冬。且如果条件不适宜,可在土壤中存在3年以上,条件适合时一下爆发。并且在适合植物生长的环境中,线虫也比较适合发育繁殖,且会随灌溉、翻地等扩散,一旦爆发,很难控制,所以要提前预防。
03 山药线虫病的常规治理手段
1.预防:
由于线虫病很难彻底治好,而且容易多次反复发作,所以预防措施很重要。

首先选择抗病品种。品种就和我们人一样,免疫力不同,免疫力高才能抵抗平时遇到的各种病原微生物,而且相对来说比较经济,因为品种可以用很多年,而且他的措施大多需要年年进行。
其次,我们又回到了我们的老本行—合理施肥。我们之前讲过,有机肥可以促进土壤微生物的生长,维持原有土壤的微生态环境。线虫大量爆发和土壤原来的群落结构遭到破坏有关,所以通过合理施肥来调节土壤菌群,达到预防的目的。另外施加化肥的时候合理调整肥料组分,适当增施磷钾肥及中微量元素肥。

接着,合适的农艺措施。线虫大面积爆发的原因主要是长时间大面积轮作,而通过轮作、间作,破坏线虫的生存环境,调节土壤的养分含量,再预防线虫的同时,甚至还可以增加产量。所以在种植山药的时候注意,可以错开地块,与其他作物轮作,使得发病的机会降低。
还有就是种植诱捕植物。虽然山药容易感染线虫,但是还有更适合线虫侵染的作物,就像我们面对好吃的不会拒绝一样。将这些作物种到山药之间,可以使土壤中存在的线虫侵染过来,如果发病,则去除这些作物,达到减少土壤中线虫的目的。
最后,在播种前,最好对种茎进行消毒、药剂浸泡,防止其上面有线虫残留。已经有很多研究表明浸种可以有效预防线虫病。

2.治理
纵使我们积极预防,就像传染病一样来的出其不意,我们总是无法排除所有疾病。
首先,尽量在发病早期限制病害的发展。我们收获山药的时候需要翻地,所以植物地下部对我们是开放的。在我们发现有地方已经明显感染线虫之后,最好将附近50厘米的作物进行销毁,并对土壤进行石灰消毒等措施,降低线虫爆发的几率。还可以采用灌根的方法施加一些杀虫剂如氯吡硫磷。

为了防止线虫扩散,在小面积发生线虫病时,最好在发病区周围3米内来年不宜再种山药,而应该种一些其他作物,用以调整土壤的性状;灌溉时要避免流经此处,防止二次扩散。
在发病中后期,由于发病面积增大,而且线虫病的严重程度也加剧,此时在发病区最好不要连作山药,改种其他作物。如果在生长期发生,需要用到一些化学杀线虫剂。常见的化学试剂有氨基甲酸酯类及有机磷类,但是这些试剂常常具有高毒性、残留性,杀线虫的同时会杀死其他生物,且由于近些年来的过度使用导致出现药效下降,甚至几乎没有用的现象,导致化学防治越来越难。

所以说,如果只是偶然发生的线虫病,那么可以使用化学试剂,但是要控制使用量,而且使用试剂后在下一轮种植时要采取积极预防措施,如有条件,可以种植其他作物,隔一年再继续种植山药。
如果是流行性的线虫病,爆发过好多次,且化学药剂的药效已经在降低,那么可能就要使用新型的生物制剂了。比如我们常说的生物有机肥,其中添加了芽孢杆菌或者木霉微生物,使得其有抗病抗虫的能力;又或者一些微生物及其代谢产物,如白僵菌制剂、阿维菌素等,由于其属于生物生物产物,所以线虫对其产生耐性的几率非常小,且起杀虫效果比较好,环境危害很小,现在已经产业化投入。所以如果线虫病爆发已经非常严重,最好用一些生物制剂,且后几年因种植其他作物,视情况再恢复种植。

说了这么多,对于山药线虫病,根本在于防。因此,在种植过程中,最好能种子消毒、土壤间作轮作,合理施肥,适当闲地,使土壤保持稳定的生产力。如果发生线虫病,要合理用药、慎重选药,降低线虫耐药性的发生,降低虫害的规模。
合理用肥用药,正确耕作,线虫就会被我们踩在脚底。好了,我们下期再见。