今天给大家分享一下女性朋友们比较关心的一个妇科疾病---子宫肌瘤的相关内容。
子宫肌瘤又称子宫平滑肌瘤,它是子宫平滑肌组织增生形成的肿瘤,也是女性妇科疾病中最常见的良性肿瘤,好发发中年女性。子宫肌瘤可发生在子宫的任何一个位置,宫底部、宫体部、宫颈部、子宫内、子宫外,子宫肌瘤的大小变化也非常大,小的可有数毫米至几厘米,大的可有十几厘米。
女性朋友们比较关心的第一个问题是“有什么症状才怀疑有自己子宫肌瘤”,日常接诊的一些患者中其实身体上没有任何症状,去医院体检偶然发现自己患有子宫肌瘤,另一部分患者确实是有一些临床症状,(1)月经异常,比如月经量增多、月经期时间延长、非经期阴道流血,流血严重者会导致患者贫血、月经期腹痛;(2)阴道分泌物异常;(3)当肌瘤比较多或者体积比较大时会压迫膀胱从而导致尿频、尿急或者排尿困难。肌瘤比较大并且向外生长时会向皮肤表面突出,自己用手就能摸到巨大的包块。还会出现下腹坠痛,牵连腰酸背痛;(4)可能影响怀孕,如果肌瘤的位置比较靠近子宫内膜,容易影响受精卵着床,肌瘤比较大时导致宫腔变形、肌瘤本身需要大量的滋养血管从而使子宫内膜的血供不足,容易导致流产。部分肌宫肌瘤位置偏低,位于宫颈位置,从而容易压迫产道,导致难产。
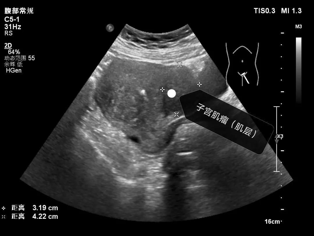
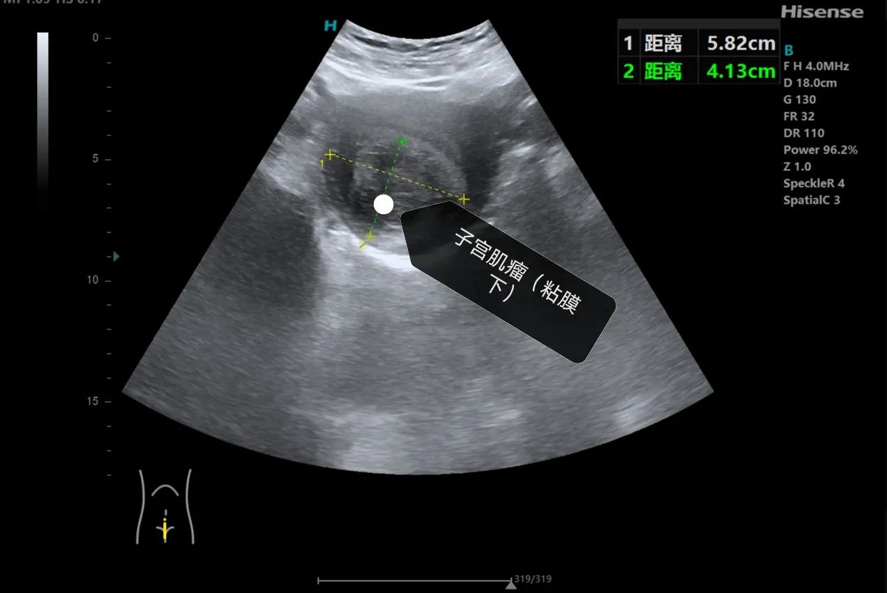
女性朋友关心的第二个问题“怎么确定自己有没有子宫肌瘤、肌瘤多大”,确定是不是患有子宫肌瘤很简单,做一个超声检查就可以了,下面我给大家分享一下子宫肌瘤的超声表现,子宫肌瘤根据位置分为粘膜下肌瘤、肌壁间肌瘤和浆膜层肌瘤,在超声上主要表现为低回声结节,边界比较清楚,小的肌瘤一般形态规则,呈椭圆形,大的肌瘤形态可表现为欠规则,呈分叶状,肌瘤周边一般可见环状的血流信号。

肌壁间肌瘤

粘膜下肌瘤

浆膜外肌瘤,肌瘤向外凸
女性朋友们关心的第三个问题“有了肌瘤该怎么办,如何治疗”,子宫肌瘤怎么治疗需要具体问题具体分析。如果患者没什么症状,一般不需要特殊治疗,但应该定期复查,观察是否有变化。对于有症状的肌瘤一般可进行药物治疗或者手术治疗,不论药物治疗还是手术治疗都有严格的适应症,一切都要符合临床要求。有关具体的治疗方法大家还是应该听取妇科医生的建议。
通过上面的简单介绍,相信广大女性朋友们对于子宫肌瘤有了一些了解,以后的日常生活中,如果女性朋友们觉得自己月经有变化、下腹部坠痛,或者下腹部摸着有包块,或者贫血一直查不到原因,需要来医院做一个超声检查来排除一下是否患有子宫肌瘤。如果大家还有疑惑的、想了解的,可以评论区留言,我会尽可能的及时回复大家,今天的分享就到这里了。