还记得之前火遍全网的一则宣传片吗:每年约3万儿童因药致聋!儿童用药安全的问题真的不容忽视!
- (左一)付浠诺 5岁,3年前因用药不当致聋;
- (中间)郭依梦 5岁,2年前因用药不当致聋;
- (右一)付昊 6岁,3年前因用药不当致聋……

他们曾经都是活泼可爱、爱说爱笑的孩子,如今却因用药不当,永远的陷入了无声世界。
我国每年约有 30000儿童因用药不当致聋造成肝肾功能、神经系统等损伤的更是难以计数
国家食品药品监督总局官方发布:
庆大霉素,可能损害儿童的听神经,引起耳聋
诺氟沙星、莫西沙星,容易造成儿童骨关节病变,肝肾损伤
四环素,影响幼儿牙齿、骨骼的发育
滥用利巴韦林,可能导致严重贫血、致畸、致癌
感冒通,损伤儿童肾脏,引起血尿
滴鼻净(萘甲唑啉),引起儿童中毒
除了致聋,这些儿童用药的安全隐患,都需要妈妈们有所了解并尽量记住,毕竟我们不想任何一点意外发生在自家宝贝身上!

庆大霉素,毒性大或可“一针致聋”
庆大霉素,就是氨基糖苷类抗生素中最常用的一种,有着严重的耳毒性和肾毒性。耳毒性的中毒症状为眩晕、耳鸣、耳聋等。肾毒性表现为肾损伤或急性肾衰竭,严重的因尿毒症死亡。
我国每年约有 3 万名儿童因不当用药造成中毒性耳聋,其中 95% 以上为氨基糖苷类药物。

早在1999 年 5 月,卫生部就颁布了《常用耳毒*药性**物临床使用规范》,规定 :
6 岁以下儿童
孕妇及 65 岁以上老人
禁用
但遗憾的是,至今仍有一些小医院、诊所和医生,在给孩子开这些药。甚至成千上万的孩子因此“一针致聋”!

庆大霉素不仅仅是注射有风险,研究表明,庆大霉素在任何剂量、任何治疗方案 , 任何的血清水平下都有可能产生前庭毒性(中毒性耳聋)。
也就是说,在儿童腹泻和肠炎的治疗中,最可能给孩子开口服的庆大霉素,也是同样危险的。
之前的一期《每周质量报告》里报道过一个真实案例:8 个月大的小男孩,在北京被专家确诊为抗生素致聋。令人遗憾的是,这个小男孩四岁的哥哥,两年前因同一种病,使用同一种抗生素而致聋。两个孩子口服的抗生素都是庆大霉素。

除了注射和口服,庆大霉素在儿童雾化中的滥用,也很常见。
虽然我国目前没有雾化剂型的庆大霉素,但很多医院雾化使用的庆大霉素都是注射剂型,并不在药品说明书的使用范围內。
雾化吸入庆大霉素,完全就属于超说明书用药。2016 年《雾化吸入疗法在呼吸系统疾病中的应用专家共识》,将庆大霉素注射液雾化认定为不规范用法。
曾经也有法制节目报道:一个 3 岁的孩子突然丧失听力,怀疑就与庆大霉素雾化有关。

遇到医生给孩子开庆大霉素
无论是口服、注射还是雾化
一定要提高警惕,甚至可以直接拒绝
请医生重新制定治疗方案,或者选择更安全的头孢类抗生素替代使用。

诺氟沙星、莫西沙星或可致骨关节、软骨病变,肝肾损伤大
这类药物是常见的抗生素,抗菌谱广,对治疗革兰阴性细菌感染有效,且对支原体、衣原体和军团菌的感染也有良好疗效。我小时候一有炎症,医生就会给我开这种消炎药。

但随着临床上的广泛应用,其副作用也趋于明显,包括:
软骨损伤:儿童服用可能导致未发育成熟的软骨组织过早硬化和病变,造成骨骼发育障碍,影响儿童生长发育。
肝损害:以莫西沙星尤为明显。可能会导致患者出现肝损害,表现为恶心、食欲下降、肝酶异常升高、黄疸等。
肾损害:以帕珠沙星为代表,患者服药后可能出现尿频、血尿、蛋白尿、肾功能异常等,严重的可能出现急性肾功能衰竭。
其实针对儿童出现的各种感染,有许多其它有同样疗效、更安全的药物可供医生选择,比如说青霉素类和头孢类药物。
一般情况下:
18岁以下的儿童和青少年
禁止使用
妊娠期、哺乳期妇女一定要谨慎选用
但“慎用”并不是说绝对不用,在病情迫不得已必须使用的情况下,也可以使用,但一定要遵医嘱用药,并严密观察用药后的不良反应。

滥用利巴韦林可能引发贫血、心肌损害、致畸
每年的春夏季是儿童手足口病的高发时节。之前就听说过幼儿园老师在流感和手足口高发时,每天私自给孩子们服用利巴韦林预防疾病,确保孩子出勤率的耸人听闻事件。
甚至是100个去医院看感冒的孩子里,50多个被用过利巴韦林!不只是感冒,肺炎、支气管炎、咽峡炎、手足口、轮状病毒性肠炎……都很可能给开个利巴韦林。
不知是我们被医生误导了,还是现在儿科医生的素质良莠不齐,居然如此爱用“利巴韦林”治感冒。然而,“利巴韦林”这个药,对于一般人的普通感冒和流行性感冒,没有半点治疗效果!
利巴韦林只用于:呼吸道合胞病毒所致的严重下呼吸道感染,而且不建议儿童使用!


不仅是张奶奶,之前中国第一药剂师:冀连梅,在做客《拜托了妈妈》时曾强调:“滥用利巴韦林,非常可怕!”
利巴韦林最主要的毒性是溶血性贫血!
利巴韦林会损伤红细胞的细胞膜,使红血球细胞裂解。红细胞的逐渐减少,就会导致贫血。已有报道:伴随有贫血的患者服用该品可引起致命或非致命的心肌损害。曾就有孩子,因使用利巴韦林后。抢救无效死亡的。所以除非是非常的对症,孩子都不该轻易使用利巴韦林这个药!
备孕期和孕期的女性使用利巴韦林,会致畸或流产!
FDA(美国食品和药物管理局)关于这个药有严重不良反应的警告中,第一条就是:对胎儿有致畸性,有明显的致畸和/或杀胚胎的毒性作用。无论男女,在利用利巴韦林治疗时,要采用两种以上避孕措施,完成治疗后,还要继续避孕半年。
哺乳期妈妈,也需要远离利巴韦林!
哺乳期妈妈服用利巴韦林后,少量药物由乳汁排泄,且对母子二人均具有毒性,因此哺乳期妈妈在用药期间需暂停哺乳。想要完全代谢掉至少需要2天时间,哺乳期妈妈在停药后至少2天,才可以继续给宝宝哺乳。所以,如果不是非要用利巴韦林来治病,哺乳期妈妈还是远离它的好!
被所有人忽视的过敏反应,在利巴韦林不良反应中居首!
在国内报道的利巴韦林的不良反应病例中,变态反应(过敏反应)居首位,以药疹和过敏性休克所占比例较大。
现在一部分医生的水平确实不高
这样的情况下,我只能提醒妈妈们
自己提高警惕
牢牢的记住“利巴韦林”这四个字
慎用它

感冒通可能损伤儿童肾脏,引起血尿
又是一个我小时候常吃的药,黄色的糖衣小药片,我记得非常清楚。但这根本不是儿童药,而是一款成人药。
感冒通片颗粒小、有糖衣包裹,大一点的儿童可以吞服,所以很多家长也给孩子服用。但临床发现:不少幼儿在服用感冒通后出现了肉眼血尿的现象,说明感冒通对幼儿的肾脏有影响。
我们曾经无数次说过,90%的感冒是由病毒引起,没有什么特效药,是可以自己好的。
多数的儿童复方感冒药,都是只能缓解症状,不能治疗感冒
没有任何数据表明,吃了感冒药,会比不吃感冒药,早好1小时!而且不吃药,也不会让感冒更严重!所以,真没必要瞎给宝宝吃感冒药。很多儿科医生并不推荐给孩子吃感冒药。更何况是这种成年人的感冒药,更不能给孩子吃!

孩子感冒,与其瞎吃药,不如:
多休息,有助于孩子恢复体力;
多喝水,确保宝宝每天的尿量充足,体内不缺水,有利于把细菌病毒排出体外;
别逼宝宝多吃,生病的时候没有食欲是正常的,强喂孩子,反而会给宝宝的胃肠造成负担;
多开窗通风,保持室内通风,才能降低空气中病原体的浓度,有利于宝宝快点好。
滴鼻净容易引起儿童中毒,危及生命
张思莱医生之前说过:婴幼儿是不能用滴鼻净的。
因为滴鼻净的主要成分是拟肾上腺素药,其作用比肾上腺素还强。用药后达到鼻甲收缩、扩宽鼻腔、改善通气的作用,对于成人的鼻塞是一种很好的治疗药物,但不适合婴幼儿。
婴幼儿神经系统发育不完善,对药物非常敏感,耐受力差且鼻腔黏膜娇嫩,血管丰富,吸*药收**物迅速而完全,药物很快进入血液循环后,有的孩子可能出现一系列不适的症状,如面色苍白、嗜睡、呕吐,体温下降,严重者甚至可以引起婴幼儿昏迷,抢救不及时可危及生命。
宝宝鼻塞,可采用以下几种方式缓解:
毛巾热敷可减缓鼻塞
可在鼻部或前额用温湿毛巾热敷,有助于减轻症状。
酌情使用加湿器
对于婴幼儿因为感冒引起的鼻塞,张奶奶建议建议,如果屋内湿度比较低,可以使用加湿器,增加屋内的湿度。
鼻孔内滴生理盐水
家长也可在婴幼儿每个鼻孔各滴一滴生理盐水,有助于湿润鼻腔缓解鼻塞。生理盐水可以将鼻腔内干燥的鼻痂软化,然后家长用消毒好的干棉签轻轻蘸取出来。

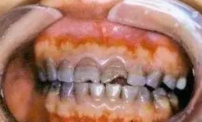
四环素类药物容易导致牙齿终身染黄、骨骼发育迟缓
四环素牙”想必多数妈妈并不陌生。

四环素会与钙离子结合形成络合物,长期使用这种络合物沉积在牙齿和骨骼上,使儿童牙齿黄染并可能终身不退,导致牙釉质发育不良,易患龋齿;还会影响抑制儿童的骨质发育,导致骨骼生长迟缓。
因此建议:
妊娠期、哺乳期女性以及8岁以下儿童
禁用四环素类药物

孩子不是成人的“缩小版”切勿给孩子乱吃成人药
说到用药安全这个话题,不得不提一下给孩子减半或缩减服用成人药的问题,成人药相对于大人来说,也许是安全的,但用到孩子身上,可能就成了毒药!
我国成人用药有3500种,但儿童专用品种不足60种。有些时候,家长会减量给孩子吃大人的药。
一片小得不能再小的药,如何能给孩子精确到成人剂量的三分之一、四分之一。于是就有不少父母凭“经验”来判断:
70%的父母会在孩子用药期间擅自停药;
30%的父母会根据自己的经验,自行调整孩子的用药剂量。
也有不少父母盲目相信“偏方、秘方”药
后果就是:每年死于不良用药者中的三分之一都是儿童,儿童用药不良反应率是成人的2倍。这里要提醒所有爸爸妈妈的是:
孩子不是“缩小版”的大人
不能用大人的标准来准衡量
更不能随便给孩子乱吃成人药
否则后果不堪设想