从前有一块孤独的石头,在一处狭隘的空间里艰难地生活着,终日不见阳光,动弹不得。作为一块没什么用处且丑陋的石头,在日复一日,年复一年的光阴里的找不到任何"石生"的意义。消极的它以为余生就这样度过了……
直到那一天——
命运的转折来得猝不及防,一根细长的光纤将它震得支离破碎,带它结束了孤独寂寞的这一生。那一天,如它破茧成蝶,重获新生……
——《一块石头的重生》

重生的石头

看着这些粉身碎骨的石屑,
小编突然觉得肾疼!
疼!疼!疼!
近日,新郑市公立人民医院泌尿外科手术团队又完成了一例输尿管软镜下钬激光碎石术。
患者王先生是一位四十来岁的男性,偶尔的腰痛,时不时提醒着他,身体出了问题。经检查得知自己的肾脏里有一个大石头。

因工作和家庭的关系,抽不出时间到省城做输尿管软镜手术。忽然听朋友说,新郑市公立人民医院可以做软镜了,王先生就第一时间来新郑市公立人民医院泌尿外科做了咨询,希望尽快把肾结石除掉。
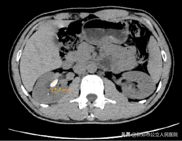
泌尿外科副主任牛俊豪接诊后完善相关检查后,诊断为右侧肾盂结石。CT结果显示:右侧肾盂最大结石直径约为17.7毫米。

泌尿团队结合患者病情,决定为其行输尿管软镜下肾盂钬激光碎石术。在做好充分术前准备后,协同麻醉医师、手术室护士在全麻下为患者实施手术。术后肾盂内的结石被碎成米粒般大小的一堆,从输尿管里尽数取出,手术过程顺利,术中无出血。


手术2小时后,王先生就迫不及待的下床了,行走自如,住院3天就可出院。
今天小编邀请泌尿外科副主任牛俊豪给我们科普一下输尿管软镜技术
01输尿管软镜技术
不同于传统硬性输尿管镜,输尿管软镜是一种头部可以随意弯曲的软性内镜。

它能通过弯曲的输尿管到达肾内,并到达传统硬性输尿管镜无法到达的肾脏内上、中、下盏区域,在不造成任何体表损伤的情况下,输尿管软镜可以通过人体自然腔道完成肾脏结石的碎石、清石手术,是先进的微创手术。

02它对比传统经皮肾镜优势
传统经皮肾镜下碎石术:从腰部及肾脏作一通道入肾内,再碎石,创伤大,风险高,术后患者腰部疼痛,活动受限,住院时间长达10天之久,常有大出血、周围器官损伤需再手术等严重并发症。

输尿管软镜优势:输尿管软镜完全经人体自然通道完成手术,无术后出血、器官损伤,保护肾脏,术后恢复快,住院3天,病人全程无痛苦。