
2019年春节期间,中国科学家陈小平用疟原虫感染治疗晚期癌症的发现震惊全球。鉴于癌症的极度危险性,网友们纷纷表示,陈小平这件事,搞成了,就是诺贝尔奖!搞不成,也是勇气可嘉。
陈小平是中国科学院广州生物医药与健康研究院研究员,他于2018年12月24日中科院在广州举办的SELF格致论道讲坛上,发表“疟原虫成为抗癌生力军”的演讲,称团队研究发现肿瘤死亡率与疟疾发病率呈现负相关关系,可利用疟原虫治疗癌症。这一研究成果让许多癌症患者重新燃起希望。
陈小平在演讲中表示,疟原虫不仅能激活免疫系统,还能切断肿瘤细胞的营养供给。最初接受治疗的10名病人中,有5人治疗效果明显,其中2人可能已被治愈。
钟南山院士回应:该疗法仍在试验中
2月7日,钟南山院士回应称,该疗法仍在实验中,尚未达到被批准条件性用药的阶段。钟南山介绍,该项实验已经进行了近4年的时间,都用于其他治疗方法均无效果,病症处于终末期病人的治疗,目前已临床试验了近30例,有10例观察了一年,其中5例有比较明显的效果,这些病人主要患有肺癌,也有少数前列腺癌,肠癌患者。
他称,目前该项研究仍有很多未知数,尚没有充分的证据和足够数量的案例证实该方法有效,个别案例不足以说明问题。“现在看起来有一些苗头,但是下结论太早了。”
钟南山还称,感染疟原虫会导致病患出现周期性发烧等各类症状,目前仍然存在很多问题。“发烧太高需要控制,另外,感染疟原虫之后,病人要被特别防护,防止蚊虫叮了病人之后传染疟疾。”
北京大学基础医学院教授王月丹:疟原虫治疗肿瘤尚处非常早期阶段
王月丹教授在文章中指出广东团队的专家发现疟疾发病情况与肿瘤的发病呈负相关的结论是基于现象的观察,疟原虫治疗癌症是否真的能够成为治疗肿瘤的有效方法,还需要进一步的临床观察和对其具体机制的进一步研究。
除此之外,王月丹提出疟原虫治疗癌症的三个线索分别是“发热、感染和激活免疫系统”。
从目前的情况来看,疟原虫治疗肿瘤尚处于非常早期的阶段,还有很多尚不明确的问题,比如具体的疗效、适用的人群以及不确定的安全风险等等,所以,肿瘤患者在选择疟原虫治疗时,应该更加谨慎,认真全面地听取专家的意义,结合自身的具体情况,科学评估之后,再做出正确的决定。
上海海洋大学特聘教授杨光华:激活全身免疫细胞是关键
上海海洋大学特聘教授、上海比昂生物医药科技有限公司董事长杨光华表示,“目前全球的科学家都在寻找肿瘤的广谱抗原作为疫苗来激起体内的抗癌能力,个人认为是很有前途的。但大多数都是针对某些抗原靶点,随后肿瘤会突变,产生新的耐药性癌细胞。”
杨光华认为,疟原虫疗法的广谱性给所有癌症研究学者一个有力依据。疟原虫疗法的关键是根据目前的临床观察研究其长期抗癌能力,如果能够找到化学分子结构与肿瘤的某些蛋白分子类似,就有可能激起免疫系统对癌细胞进行攻击,这些物质都可以称为肿瘤疫苗。
杜克大学癌症生物学博士李治中:疟原虫治疗癌症还是早期研究
杜克大学癌症生物学博士李治中(自媒体作者‘80后菠萝博士’)在原创文章《用疟原虫治愈晚期癌症,靠谱么?》中表明观点:
1:科学是开放的。“疟原虫治愈癌症”是个科学猜想,值得研究,逻辑很类似一百多年前的“科利毒素”。
2:这还是早期研究。目前参与人数还太少,也没有正式的临床研究论文,所以疗效和副作用都属于未知。
3:在临床数据发表之前,自媒体向大众宣传“疟原虫是抗癌神器”是不合适的,用“治愈”这个词更是严重误导。
4:对新诊断患者,不应该做为治疗的首选方案。对于标准治疗已经失败的患者,可以作为选择之一去了解,但需要降低预期。
《Nature》子刊:利用疟疾蛋白(VAR2CSA)有望形成更有效的治疗方案
肿瘤转移(CTC)是恶性肿瘤患者死亡的主要原因,尽早发现血液CTC,对肿瘤早期诊断、疗效评价和个体化治疗都有着重要的指导作用。
初步的测试证实,VAR2CSA可以捕获各种临床血液样本的上皮和间充质癌细胞。研究人员发现,在常规血液样本(5 mL)中,VAR2CSA对CTC的捕获率令人十分满意。
研究人员证实,VAR2CSA子可以有效地分离胰腺癌、肝癌、前列腺癌和肺癌等不同类型的癌症,甚至可以通过VAR2CSA结合状况判定肿瘤分期!而其对正常细胞极低的结合率更是有效解决了假阳性的问题!
因此,这项技术有望为癌症患者高转移亚群的研究提供进一步的见解,提高我们对癌症转移的理解,并有助于开发出更有效的治疗方法。
生命科学领域科普作家郭晓强:疟原虫治疗癌症前景不乐观
首先是潜在致病性。如果用活疟原虫(无论是野生还是去除治病因子),它们都仍具有很大的致病性。
其次是风险难控性。即使疟原虫不引发严重疾病,但疟原虫含太多物质,具有“大杂烩”的味道,很难避免其中的成分引发严重临床副反应的可能,给患者带来不必要的痛苦。
第三是效率低的问题。由于疟原虫是一种生物体,在体内的运输效率和扩散效应都远远低于小分子药物(如顺铂、紫杉醇和格列卫),也低于大分子抗体药物(如赫赛汀和贝伐单抗等),这也严重限制了治疗效率。
以疫苗发展为例,传统疫苗是采用减毒或失活的病原体,而现在则利用基因工程制备的关键蛋白甚至蛋白片段,大大简化了制备流程并增加了安全性。同样道理,目前可以采用较为安全的免疫激活策略来实现肿瘤治疗目的(像去年诺贝尔奖的免疫负调控因子*制剂抑**),自然减少了用病原体来激活免疫系统这种风险性较高、效率较低方案。从这个角度来讲,采用诱导疟疾而实现肿瘤治疗的策略很难称得上是一种理想方案。
附陈小平演讲全文
大家知道癌症是当代的绝症,这个说法不完全正确,因为癌细胞非常狡猾,他可以通过一系列的伎俩,让我们的免疫细胞不能识别它,今天要讲的的疟原虫它居然可以揭穿癌细胞的伪装,让我们的免疫细胞能够重新认识癌细胞,从而去杀灭癌细胞。

一个红细胞,里面的这个环状,中间还有一点,这一点就是疟原虫的细胞核,这个环状的这种形式叫做环状体,疟原虫它不同的生活阶段有不同的形态,其中有一个时期的形态叫做环状体,可能大家知道或者不知道疟疾跟艾滋病跟结核病这三种传染病被称为世界三大传染病,疟疾的病原体就是疟原虫。
当然疟原虫有很多,有蛇类的疟原虫,有鸟类的疟原虫,还有猴类的非人灵长类的疟原虫,人的疟原虫由有好几种,其中有一种比较厉害叫做恶性疟原虫,有致命性,但是其他疟原虫相对比较温和。
假如大家看过康熙王朝电视剧就有这么一个印象,康熙爷曾经亲征噶尔丹,得了疟疾差一点要了他的性命,幸好有法国的传教士,给他带来了金鸡纳霜,也就是奎宁这种药。康熙爷服了奎宁,很快就好了,最后康熙爷就战胜了噶尔丹,这是历史上比较有名有关疟疾的故事。
我要讲的故事主要发生在中山医科大学1985年,我在中山医科大读研究生的时候,旁听了一门课程,叫做流行病学。什么叫流行病学?就是研究疾病在人群中的流行规律的一门学科。

有一天,我的老师讲疟疾流行病学的时候,挂一张地图出来,疟疾的流行在非洲赤道旁边,多蚊子的地方,疟疾的病人就多,过了几个星期,隔了很多堂课。

有一天我的老师就讲肿瘤的流行病学,又挂了一张地图,在一秒内我的脑海里就突然闪现好像哪里多疟疾,哪里就少肿瘤的死亡,我一下就非常兴奋,下课以后我就回到宿舍,很高兴的告诉同学,我今天有一个重要的灵感分享:哪里多疟疾,哪里就少肿瘤死亡,可能疟原虫感染对肿瘤有治疗的作用。

但是在当时世界卫生组织没有一个公开数据库,过了十几年,世界卫生组织才有一个关于所有疾病的公开数据库。
我的团队就跟美国哈佛大学的统计学教授合作,这个教授一听我说这个东西觉得非常重要,很乐意一起研究,我们搜集了全球所有国家的疟疾发病率的数据和死亡率的数据,还搜集了非常多的数据库的数据,包括联合国的公开数据库,世界银行的公开数据库,美国公开人口的数据库,所有能用的数据库我们都用了。
把所有可能混杂的影响因素都剔除以后,我们确实发现疟疾的发病率跟肿瘤的死亡率总体的死亡率,是呈显著负相关的,这个论文已经在国际上发布,但是仅仅靠这个大数据的分析,我们还不敢相信疟原虫感染对肿瘤有治疗的效果。
我们就进行一系列的小鼠模型的研究,历经十多年,成千上万的小鼠用了,我们发现疟原虫感染的确是显著的延长荷瘤小鼠的寿命,包括肺癌的小鼠,乳腺癌、结肠癌、实体肿瘤的小鼠的寿命都显著延长了。
我们这个时候才相信疟原虫感染的确是对肿瘤有相当好的疗效。但是背后的原理是什么,作为一个科学家,你不能看出背后的原理就完了。
我们就进行一系列的研究,经历14年的机理的探讨,我们发现疟原虫感染可以非常强烈的激活天然免疫细胞,就是NK细胞,这种细胞激活了之后可以杀灭一部分的肿瘤细胞。
这个肿瘤细胞死亡了以后,它释放的这个抗原,跟疟原虫感染两个因素同时存在的情况下,激活了T细胞,T细胞时抗病原体和抗癌主力军,T细胞被激活,就更有效的杀灭肿瘤细胞,特别是肿瘤内部的T细胞被激活了,就非常有效的杀灭癌细胞。

癌细胞分泌一系列的信号,让我们的免疫系统睡眠,不工作。而疟原虫感染,恰好是唤醒了我们的免疫系统,激活我们的免疫系统,让我们的免疫系统重新识别这个癌细胞,从而杀灭它,通俗的语言就是这个么说。
刚才讲的是疟原虫激活了免疫细胞,同时疟原虫还干了一件非常漂亮的工作,它让患肿瘤的小鼠,它的肿瘤里面的血管几乎消失,就是说抑制肿瘤的血管生成,或者你生成的血管让你的血管壁的细胞死亡,让你死掉。让你这个肿瘤里面没有血管供应,切断你的营养供应,这个作用是很明显的。

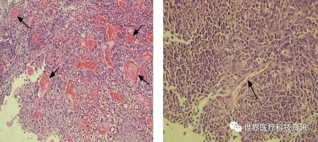
大家看这个图,左边这个,是没有疟原虫感染的肺癌的组织,有大量的血管,里面有很多红细胞。
右边这个有疟原虫感染的,肺癌组织切开来看,几乎没有血管,好像有一条血管,但是血管里面几乎没有红细胞,也就是非常彻底的切断了肿瘤的血液供应,让肿瘤不能生长,或者让肿瘤细胞饿死,刚才讲的都是一些基础研究,就是机理,为什么可以治疗癌症。
我们回顾一下在历史上曾经有科学家利用疟原虫感染治疗一种非常严重的疾病,叫做神经性梅毒,也就是晚期梅毒的一种,在上个世纪早期青霉素还没有发明,神经性梅毒像今天的晚期癌症一样称为不治之症,那个时候假如得了神经性梅毒,也就等于判了死刑。

这位奥地利科学家叫做Julius Wagner-Jauregg,他是一个精神神经科的教授,有一天它回到病房查房,有一个病人突然跑到他身边说:教授我今天发高烧,教授很惊讶问为什么?因为这是一个瘫痪的病人,他突然会走路。
问到:你为什么会走路。病人才醒悟,我怎么会走路,后来这个教授就认为他的发烧跟他的病情好转一定有关系,他就查,最后发现这个病人的了疟疾,感染了疟原虫。
接着他做了一个非常胆大的举动,把这个病人的血抽出来,分别注射给18个瘫痪的病人,然后他观察到这18个病人,都有不同程度的好转,整个欧洲在一天内包括前苏联都知道疟原虫疗法可以治疗神经性梅毒。全部一下在欧洲,很快传到美国加拿大,仅仅十年时间这位科学家就获得诺贝尔医学奖。
但是好景不长。1947年,人类发明了青霉素,青霉素对梅毒非常的有效,用不着疟原虫疗法。
现在大概有30多例病人,已经接受了这个治疗,最初的10例已经观察了1年就有结果了,任何其他的治疗已经没有效,或者是已经是耐药的、无路可走的病人。
这十个病人里面,观察到5例是有效的,其中有2例可能已经被治好了。

这2例可能已经被治好的病人,看看这个感染成功了以后给这个病人,打1毫升含有疟原虫的血就完了,这个治疗就这么简单打一针,那个红色的箭头就是青蒿素,把它压下来,压一次、两次、三次、四次就把它压到很低的水平。
山西太原的一个病人每一天都出去散步,本来判断他是三五个月的寿命,现在两年了还好好的。
这个病人就没有很严重的副作用,大概一个月后,他颈部所有的转移病灶完全消失,我们用CT来看他肺部的病灶、肺癌。
他的病灶还在,我们请胸外科的教授来会诊,教授一看这个胸片,说这个性质发生改变了,治疗前这个是一个典型的癌症的像一个螃蟹状的形态,治疗以后像一个斑块状的没有伪足了,好像包裹了或者已经是一个斑痕,可能是一个死的病灶,外科教授建议可以用微创手术,在旁边插入一个管,把这个病灶拿出来。
病人同意这个教授的建议,把这个肿瘤拿下来了以后,这个肿瘤确实已经有包膜包裹了,已经不容易转移了。
大量的免疫细胞在里面去杀灭肿瘤细胞,这个瘢痕拿出来后,病人就没有病灶了,颈部的肿瘤又消失了。现在这个病人差不多两年了也没有复发。
第二个病例,是晚期前列腺癌,多发性骨转移,已经疼痛得很厉害,要服用很多止疼药,而且不能正常走路,来的时候一拐一拐的不能正常走路,接受治疗大概也就是一个月左右,这个病人消除了腿部的疼痛能够正常走路了。
大概三个月就结束治疗回老家了,但是他出院那天做了CT,CT检查肿瘤的大小不变,并没有减小或者消失。病人回老家之后四个月在当地的医院进行复查,医生告诉他,你的肿瘤缩小了,这让我非常的吃惊,他不是在治疗期间肿瘤缩小。
而是治疗结束之后,肿瘤才缩小,我们不敢相信这个病人的复查结果,就请他回广州做一个更先进的检查叫做PET、CT ,这个结果一看,合格病人的病灶的代谢活性消失了。

用老百姓的话来说,病人的肿瘤死了,只留下一个疤痕,上面的那个图,交叉线的那个代谢活性是没有了。所以这个病人到现在一年半,没有任何的临床症状。
这件事说明这位病人的治疗效果非常的好,现在已经完全恢复正常。他接受这个疗法的原因是因为他的儿子跟我的博士研究生是同学。
最后我想谈谈我的追求,战胜癌症是我毕生的梦想追求,我希望这个疟原虫免疫疗法能够推广到全球,另外我们的实验室也在改造这个疟原虫的基因,将它变成癌症疫苗。
我们还发现,疟原虫有一个非常神奇的蛋白,它可以跟人类的各种癌细胞相结合我们可以把这个蛋白,克隆到病人的T细胞里面,让T细胞能够在这个蛋白导航的情况下进入并杀死肿瘤。
我们希望这三种疗法同时应用可以战胜癌症。
本文编辑:徐蔚、张雨潇、王超群
文章内容来源:《医食参考》
更多药食同源,食品安全,美食营养,疾病防治,减肥保健,长寿养生等专业资讯,请关注微信公众号:yishicankao(长按可复制)。
如果这篇文章让你受益,请动一动你美丽的小手给小编打赏哦
谢过啦么么哒(づ ̄ 3 ̄)づ