
生殖中心总能遇见很多复发性流产病人来咨询月经量少,是不是有宫腔粘连?一定要做宫腔镜检查吗?医生通常会推荐您先做一个三维超声,再决定是否需要宫腔镜检查或者手术。
什么是宫腔粘连?
宫腔粘连也称为Asherman综合征,由于损伤或者感染等原因破坏子宫内膜基底层,使内膜不能自行修复,引起纤维结缔组织增生,造成宫腔各壁相互黏连,宫腔缩窄甚至闭塞。
造成宫腔粘连的原因是什么?头号杀手就是宫腔操作,特别是人工流产,药物流产后的清宫手术,中期引产或者足月产后清宫术,非妊娠子宫诊断性刮宫术,子宫肌瘤剔除术,粘膜下子宫肌瘤摘除术,宫腔镜下子宫内膜电切术等。此外还有感染,结核等疾病也容易引起宫腔粘连。
宫腔粘连有哪些危害?主要还是不孕,流产,试管婴儿胚胎种植失败,妊娠后胎盘位置异常和植入。在生殖医学中有“种子”和“土壤”的形象说法,“种子”就是受精卵,“土壤”就是子宫内膜。宫腔粘连时,子宫内膜变薄,部分区域可能根本就没有内膜,“土壤”很贫瘠的受精卵就很难找到适合着床的地方,同时宫腔粘连可能还会造成子宫的不规则收缩,引起流产。
宫腔粘连的分型及其意义?
根据宫腔的粘连的面积和部位分为轻,中,重度粘连;根据粘连的病理分为膜性,纤维性,肌性粘连;根据粘连的位置分为中央性,周围性,混合性粘连。

不是所有的宫腔粘连都会引起不孕不育的,这和粘连严重程度有关。什么情况下怀疑自己有宫腔粘连,需要去检查?有流产,宫腔操作史,流产后月经量减少的时候,请去生殖中心检查一下。
如何诊断和排除宫腔粘连?
目前宫腔粘连的诊断方法有如下5种:子宫输卵管造影,经阴道超声检查,超声造影,磁共振成像和宫腔镜检查。其中宫腔镜检查是诊断宫腔粘连最准确的方法。下面就分别介绍一下:
1.宫腔镜检查宫腔粘连目前是金标准,但是花费贵,要麻醉,要进手术室的哟。
2.碘油造影和超声造影,碘油造影诊断宫腔粘连是一种间接的方法,而且对诊断子宫前后壁的周围性粘连无能为力,诊断价值有限。超声造影在生理盐水膨宫时对各类粘连都可以清晰显示,诊断价值较大,不过也是一种宫腔操作,费用也较高,部分患者不愿接受。
3.普通经阴道超声检查对子宫中央性粘连有很高的敏感性,超声声像表现为内膜回声中断或者不连续,内膜变薄或者厚薄不均匀,宫腔积液等,但对于周围性粘连评估能力低,特别对于宫底部和侧壁的周围性粘连敏感性更低,容易漏诊,准确性约30%左右。

普通二维超声显示的宫腔形态异常
4.三维超声检查,三维超声检查也是经阴道超声,一般是在常规阴道超声检查的基础上加做,通俗的理解,就是立体超声。相比常规阴超,三维超声可以全方位,多切面,多角度来观察子宫内膜及宫腔的环境,可以提供更多的诊断信息。其中最有价值的切面就是冠状切面,即与腹部平行的切面。
由于子宫大部分位置为前位或者后位,所以常规阴道超声很难显示冠状切面。然而三维超声能够直观,整体的从宫体至宫颈将整个子宫长轴冠状面显示出来。阴道三维超声不受方向限制,能够从多个方位对内膜变病进行观察,从每个切面呈像,可以准确,迅速的获得丰富立体的子宫内膜完整图像信息。
适时三维图像还具有自由旋转功能,可以对粘连的部位进一步明确及测量病变面积。在冠状切面,可以显示宫腔及内膜的整体形态,正常情况下是倒三角形,左右对称,双侧宫角锐利,内膜及肌层分界清晰规整,内膜回声均匀。当发生宫腔粘连时,中央性粘连表现为内膜的缺损,回声不均匀等,周围性粘连则可能变现为倒三角形结构的破坏,宫底部或双侧壁的不对称,宫角圆顿,宫腔缩窄,内膜及基层分界不清晰,不规整等。
三维超声对于诊断中重度宫腔粘连的准确性达90%以上,它具有无创,方便,快捷,高效的优点,与传统的子宫输卵管造影比较,经阴道三维超声检查具有更好的实用价值,已得到国内外该学术研究领域学者的一致认可。

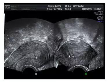
三维超声成像的右侧宫壁粘连
文献中EI-Mazny等报道经阴道三维超声诊断宫腔粘连的特异性达100%,但敏感性仅41.7%,但Fedele等认为经阴道超声特异性为100%,敏感性为91%。Narayan等认为经阴道三维超声能监测出98.9%的有子宫内膜病变的患者。Knopman等对比评价经阴道三维超声,子宫输卵管碘油造影,宫腔镜的准确性发现,子宫输卵管碘油造影的敏感性为66.7%,经阴道三维超声的敏感度为100%,认为经阴道三维超声可对粘连严重程度的分型提供依据,其较输卵管碘油造影能提供更精确地子宫腔病变及粘连的范围。

三维超声成像的宫腔粘连
总结:三维超声检查可用于宫腔粘连的诊断,但三维超声检查仍存在一定程度的漏诊率及误诊率,宫腔镜检查可进一步明确诊断。三维超声虽然不能确诊不同程度宫腔粘连,但可为宫腔镜手术提供有价值的参考信息。超声检查具有无创,相对简单易行等优点,临床推荐用于宫腔镜手术前的筛查。
最后温馨提示大家宫腔粘连检查的最佳时间是月经的黄体期。
本文作者:
何国香,主治医师
江苏省人民医院生殖中心
