
狗狗便秘?不就是吃了几块骨头吗
你有没有给狗狗吃过骨头?吃完骨头有没有发现狗狗排便困难?前几天我们的法斗弟弟“土匪”,因为啃了几块骨头导致便秘。
便便堆积在肠道中拉不出来,对狗狗来说很危险,甚至会危及生命。今天我们就说说狗狗的便秘。
什么原因会导致狗狗便秘?
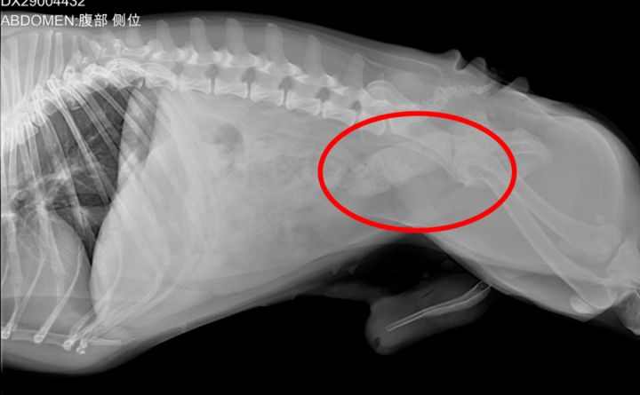
日常生活中,比较常见的就是由于饮食不当导致便秘,比如吃了纸、头发、骨头等。下面就是我家法斗弟弟的X光片 - 便便都堵在结肠和直肠了。

从病理层面,疼痛、梗塞、结肠无力的会阴或肛周疾病都可以导致便秘。其中,疼痛是较为常见的便秘原因,比如车祸引起的创伤。
狗狗便秘有什么表现?
便秘的狗狗,除了排便量大幅减少外,便便的状态也会发生变化 - 便便会变成干燥轻质的硬块。
另外,便便的颜色也会改变,比如吃骨头就会呈现出白色。如果便秘比较严重,还会出现黑色便或者红色便,这就就是肠道出血了。
当狗狗处于便秘状态,精神状态会非常差,你能明显感觉到狗狗萎靡不振。便秘时间过长,狗狗还会出现颤抖、坐立不安等症状。
为了尽快排出便便,狗狗还会用力努责(也就是用力拉粑粑),通常能看到狗狗腹部在持续用力。处于便秘状态下,狗狗是非常痛苦的,尽快解救很重要。
狗狗便秘了应该怎么办?
便秘用药就是通过软化粪便、导泄的方式治疗,对于不是特别严重的便秘,可以直接使用软便的药品,比如乳果糖。
如果严重一点的便秘,也可以使用开塞露。对于非常严重的便秘,是必须通过专业医生来解决的。
重点来了,医院该去还得去!
上面提到三种常见的误食品:头发、纸、骨头,都可能造成狗狗肠梗阻。而肠梗阻是可以在短时间致命的疾病!
如果发现狗狗便秘症状强烈,并且时间较长,就一定要去医院就诊。正常诊断便秘的方法就是通过X光片、腹部超声以及医生触摸。确诊之后再治疗,是最安全的方法。
如何避免狗狗便秘?
首先要确保饮食健康,不要喂食会导致便便干燥的食物,尤其是骨头这种可能会导致肠道梗阻的食物。
另外,适当补充纤维(洗净煮熟的蔬菜就可以)是有必要的,适当的纤维素可以有利于排便。
最后,一定让狗狗随时有水喝,狗狗喝水少也可能会导致便秘。