一、超声病例部分
病例5
男,70岁,转移性右下腹痛3天。
超声检查:
在右下腹阑尾解剖区查见管状弱回声,范围约3.0×0.88cm,周围组织回声增强,CDFI:边壁可见点状血流信号。





病理诊断:急性化脓性阑尾炎及其周围炎。
病例4
男,43岁。转移性右下腹痛2天
超声检查:
右下腹阑尾解剖区查见一范围约3.7x1.2cm管状弱回声,其内可见团状强回声,周边组织回声增强。CDFI:未见明显血流信号。



病理诊断:急性坏疽性阑尾炎及其周围炎。
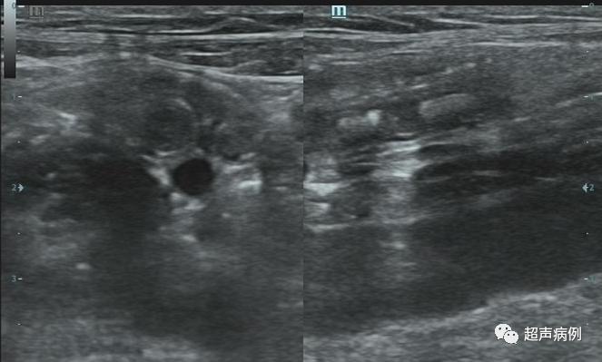
病例3
男,13岁1月。转移性右下腹痛9小时。
超声检查:
在右下腹阑尾解剖区查见一管状低回声,宽约0.77cm,长约4.0cm,其内可见团状强回声伴声影,边界较清,CDFI:边壁可见点状血流信号。




病理诊断:急性化脓性阑尾炎及其周围炎。
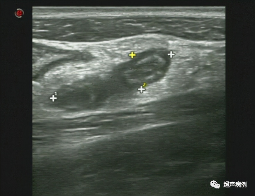
病例2
男,5岁4月。转移性右下腹痛1余天。
超声检查:
在右下腹阑尾解剖区查见范围约2.7x1.1cm管状弱回声,内回声欠均匀,CDFI;边壁可见点状血流信号。其周边组织回声增强。




病理诊断:急性化脓性阑尾炎及其周围炎。
病例1
男,65岁,腹痛18小时。
超声检查:
右下腹阑尾解剖区一条索状弱回声,长约7.0cm,最大厚约0.8cm,CDFI:条索状弱回声上未见血流信号。


病理诊断:急性化脓性阑尾炎及其周围炎。
二、知识园地
急性阑尾炎 (acute appendicitis)是外科常见病,是最多见的急腹症。
一、病因
(1)、阑尾管腔阻塞
是急性阑尾炎最常见的病因。阑尾管腔阻塞的最常见原因是淋巴滤泡的明显增生,约占60%,多见于年轻人。肠石也是阻塞的原因,占35%。异物、炎性狭窄、食物残渣、蛔虫、肿瘤等则是较少见的原因。阑尾管腔细、开口狭小,系膜短使阑尾蜷曲,这些都是造成阑尾管腔易于阻塞的因素。
(2)细菌入侵
致病菌多为肠道内的各种革兰阴性杆菌和厌氧菌。
(3)其他
阑尾先形如阑尾过长过度扭曲、管腔细小、血运不佳等都是急性阑尾炎的病因。
二、临床病理分型
(1)、病理类型:
分4型即急性单纯性、急性化脓性、坏疽性及穿孔性、阑尾周围脓肿
单纯性:
①病变限于黏膜及黏膜下层。
②浆膜充血、水肿、白细胞浸润,腔内少量积液或积脓,阑尾轻度肿胀。
急性化脓性:亦称蜂窝织炎性阑尾炎。
①阑尾壁各层均受累,肿胀明显,腔内积脓,浆膜高度充血并有脓性渗出物附着。
②阑尾周围有脓性渗出物存留,形成限局性腹膜炎。
坏疽性及穿孔性:
①阑尾梗阻积脓,其内压力→管壁缺血、坏死。
②血管被细菌栓塞,阑尾壁坏死穿孔→弥漫性腹膜炎。
③大网膜包裹粘连→周围脓肿。
阑尾周围脓肿:
阑尾化脓及穿孔后被大网膜及周围脏器粘连包裹→炎性包块及阑尾周围脓肿。超声诊断要点
(2)、急性阑尾炎转归
炎症消退、炎症局限化(形成阑尾周围脓肿)、炎症扩散
三、临床表现
(1)典型的转移性右下腹痛:见于70%~80%的病人,故并非所有病人都具有该典型腹痛表现。
(阑尾的神经由交感神经纤维经腹腔丛和内脏小神经传人,其传人的脊髓节段在T10、T11,因此当急性阑尾炎发病开始时,常表现为脐周牵涉痛(属内脏性疼痛),,经过一段时间(6-8小时)后阑尾炎症刺激壁腹膜,可引起右下腹痛,这就是急性阑尾炎的典型腹痛表现—转移性右下腹捕的发病机理。)

(2)右下腹压痛反跳痛:最常见的重要体征。压痛点常位于麦氏点,可随阑尾位置的变异而改变但压痛点始终在一个固定的位置上。发病早期腹痛尚未转移至右下腹时右下腹便可出现固定性压痛同样具有诊断意义。老人和小孩压痛可能不明显。
(3)右下腹肿块若:体检发现右下腹饱满扪及一压痛性肿块,边界不清,固定,应考虑阑尾周围脓肿。
(4)腰大肌试验(Psoas征):提示阑尾位置较深,阑尾位于腰大肌前方,盲肠后位或腹膜后位。

(5)闭孔内肌试验(Obturator征):提示阑尾位置较低阑尾靠近闭孔内肌。
(6)结肠充气试验(Rovsing征):急性阑尾炎时可阳性,但阴性不能排除诊断。
(7)经肛门直肠指检:在直肠右前方常有压痛。当形成阑尾周围脓肿时,有时可触及痛性肿块。
四、诊断及鉴别诊断
(1)诊断 主要根据病史、临床表现、体检所见和实验检查进行诊断。
超声诊断要点:
急性单纯性:
①阑尾轻度肿胀,壁厚>03.cm;直径:成年人>0.7cm,儿童>0.6cm。
②纵断面阑尾呈不可压缩的盲管样结构,横断面为“同心圆”征。
急性化脓性:
①阑尾膨胀如囊,呈低或无回声区亦可因气体或“粪石”呈强回声。
②周围中、强回声组织增多、包绕。
坏疽性:
①阑尾显著增大,呈不规则低回声区。
②穿孔后不对称性管壁增厚,包块轮廓模糊、回声不均,可有小无回声区。
③阑尾穿孔并发腹膜炎→肠麻痹→肠管扩张,蠕动减弱或消失。

超声探查阑尾窍门:
①、先低频探头,后高频探头,先全面,后重点。
②、沿升结肠向下移动探头,至结肠袋消失,向内寻找阑尾根部。
③、以阑尾根部为中心,扇形扫查寻找游离端。
④、或以压痛最明显处为中心向四周扫查。
(2)鉴别诊断 应与消化性溃疡穿孔、右侧输尿管结石、妇产科疾病、急性肠系膜淋巴结炎等鉴别。
五、并发症
(1)腹腔脓肿:是急性阑尾炎未经及时治疗的后果,以阑尾周围脓肿最常见。表现为腹胀、压痛性肿块和全身感染中毒症状等。B超可协助诊断。一经诊断,即可在B超引导下穿刺抽脓冲洗或置管引流,必要时手术切开引流。阑尾脓肿非手术疗法治愈后复发率很高,因此应在治愈后3个月左右择期手术切除阑尾。
(2)内、外瘘形成:阑尾周围脓肿如未及时引流少数病例脓肿可向小肠、大肠、膀胱、阴道、腹壁等处穿破形成各种内痿或外痿。X线钡剂检查或经外瘘置管造影可协助了解痿管走行。
(3)化脓性门静脉炎:阑尾炎症可沿阑尾静脉→肠系膜上静脉→门静脉,导致门静脉炎和细菌性肝脓肿可表现为寒战、高热、肝大、剑突下压痛、轻度黄疸。应行阑尾切除,并给予大剂量抗生素治疗。
六、治疗与手术并发症
(1)非手术治疗:适用于单纯性阑尾炎、急性阑尾炎的早期其他严重器质性疾病禁忌手术者。
(2)手术治疗:适用于大多数阑尾炎的治疗。
(3)阑尾切除术并发症:腹腔内出血(最严重切口感染(最常见)、粘连性肠梗阻、阑尾残株炎、粪痿。
七、超声诊断的临床价值
部分急性单纯性阑尾炎超声检查可无阳性所见,特别是遇有某些肥胖病人所致超声扫查困难时,超声难以获得阑尾显示,故超声不能排除阑尾炎的诊断。
当一种征象掩盖另一种征象时如结肠癌同时合并阑尾炎急性发作时,炎症的超声表现往往掩盖肿瘤的存在而导致肿瘤漏诊。
但目前超声仍被公认为诊断急性阑尾炎一种有价值的方法,具有简单、无创可重复的优点,并有助于与其他急腹症(如右侧异位妊娠或黄体囊肿破裂、卵巢囊肿蒂扭转右输尿管结石肠套叠、急性胆囊炎等)进行鉴别。
超声检查可提示阑尾周围渗出粘连以及周围有无脓肿形成等信息对指导临床选择治疗方法和确定手术方案有重要价值。
整理编辑
超声病例
参考书籍
1 任卫东,常才,《超声诊断学》,第3版;
2 杜起军,崔立刚,《超声诊断临床备忘录》,人民军医出版社;
3 《外科学》,人卫第九版;
4、《贺银成考研西医临床医学综合能力辅导讲义》,国家开放大学出版社。