对于拔智齿
不少患者朋友
会有疑问
↓↓
“我的智齿不痛不痒为什么要拔”
“拔智齿会痛吗”
“拔智齿会影响其他牙齿吗”
“拔智齿会损伤牙神经吗”

今天
就请罗湖医院口腔科
为大家一一解答
智齿从何而来
人类的恒牙列共有 32 颗牙。位于牙槽骨上最里面的第三磨牙,上下左右共 4 颗,常在 16~25 岁智能成长期萌出,有「智慧到来」的象征,因此被俗称为「智齿」。
当然,也有些小伙伴会出现少于 4 颗或没有智齿的情况。现代医学认为,智齿是人类进化史上的 bug,同阑尾一样。
为什么会这样说呢?
我们先来看看
智齿的生长形式。

智齿的生长形式
由于食物的精细化,牙槽骨在逐渐退化,没有足够的空间容纳智齿正位萌出。
因此,智齿长得千姿百态,大体上有以下几种生长形式:
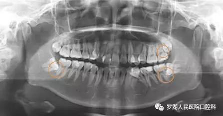
1.正常生长
这种生长形式的智齿,就像一棵坚韧的小草,顶破牙龈,健康的萌出。

不过,会经历一段时间牙龈被顶的疼痛哦,但还是能忍过去的。
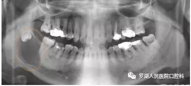
2.阻生齿
有些智齿不愿走寻常路,偏要横着长、斜着长,很容易顶到邻牙,自然会引起牙疼。

还有智齿虽然垂直长,但会躲在牙龈里,你虽然看不见它们,但疼痛难忍。
了解完智齿的“基本资料”
下面,重点来了!
智齿该不该拔?
可拔可不拔
如果智齿没有任何症状,且正位萌出、咬合关系良好,可以不需要拔除。
但是,智齿目前虽然没有引起问题,但是随着其生长,势必或者存在很大几率引起口腔问题,这就需要预防性拔除智齿。

拔
若是有智齿反复肿痛,甚至导致面部肿胀、张口受限等,建议消炎后拔除。

若是智齿本身有龋坏,或引起邻牙龋坏,一般也建议拔除。

当智齿位置不正挤压导致前方第二磨牙龋坏或者牙齿松动,一般建议先行拔除智齿后酌情治疗第二磨牙。

下颌智齿拔掉后,上颌智齿会伸长,进食或说话时会咬到下颌的牙床引起粘膜的溃烂。

引起牙源性囊肿及肿瘤。

“ 智齿离神经很近,拔牙会损伤神经吗”
个别牙齿与神经关系密切,拔牙操作中牙和骨的相对运动会导致神经受压、牵拉、术后水肿等而受损。
而下牙槽神经症状的风险,在不同牙齿的拔除中是不同的,牙根或整个牙齿与神经关系越紧密,这种风险就越大。
根据国内外研究,在智齿拔除术中,下牙槽神经受影响的几率是1~3%。其中大部分病人会在3~6个月内恢复感觉。

“ 拔智齿痛吗”

整个拔牙过程中
最不舒服的环节
恐怕就是打麻药了
● 一般情况下打麻药时会有轻微疼痛,觉得有片刻的酸胀不适。打完麻药之后,全程无痛。
● 拔完牙后随着麻药劲消失,会有不同程度的痛感,会持续2-3天,拔牙后疼痛因人而异,和疼痛耐受程度有关。
一般医生会开止痛药物,服用后明显减轻。(罗湖医院还有减轻疼痛促进伤口愈合的*器武**--CGF技术)

“ 拔牙后脸肿了怎么办”

拔牙如同其他创伤性手术一样,会在牙槽窝、牙周留下小创口,有创口就会流血、渗出。
● 刚拔牙的一两天内,口水里带有血丝是正常的。
● 拔牙前两天脸部会轻微的肿胀,此时需要局部冷敷。
● 拔牙3~4天后,可采用热敷方法,从而促进伤口愈合。
● 肿胀一般开始于术后12-24小时,3-5天内逐渐消退。
● 而感染引起的肿胀多在术后3天发生,皮肤红热,肿胀中心硬韧,压痛明显,多数会并发全身症状。
“ 智齿什么时候拔除最好”
建议14~ 20岁之间拔除,原因如下:
1. 20岁以后牙根已逐渐形成,会压迫下牙槽神经,损伤下牙槽神经几率大;
2. 20以后智齿牙根发育完成,拔牙阻力增加,术后疼痛肿胀会相应加剧;
3. 20岁以后发育完成的牙根可能存在变异,多根,弯根,增加了拔牙难度;
4. 20以前,牙齿周围的骨质疏松,阻力小,容易拔出。
5. 年轻时拔除智齿,拔牙后反应轻,恢复快。

拔牙后的注意事项
1.拔牙后压迫止血的棉球应于一个小时后吐出。
2. 拔牙后2小时可以进食,适宜吃些软体流质类,偏凉的食物。
3.24小时内口水吞下去,不能漱口,刷牙,勿用舌头舔舐创口。
4.拔牙术后3天内应尽量避免辛辣、过热饮食,不吸烟、不喝酒、不使用患侧咀嚼食物,避免异物刺激拔牙创口。
5. 拔牙术后可能仍有少量渗血并持续到夜间,此属正常现象。如术后渗血较多或出现病情加重者应随时随诊。
6. 比较复杂的拔牙,伤口缝线一般可在 5~8天拆除,术后可适量服用止痛、消炎药物。
7.拔牙后三天以上如仍有明显的脸部肿胀,红色新鲜的血、剧烈疼痛或口腔严重异味、溢脓,请及时来罗湖医院复诊。
最后
一起来了解下
罗湖医院口腔颌面外科
罗湖医院颌面外科介绍
罗湖医院颌面外科建科以来,经医院全力支持及全体同仁的共同努力,现已发展成为集临床、教学科研为一体的临床科室。
科室拥有一支业务水平高、服务态度好的专业诊疗团队,科室三级医师结构完整,本科有各级医护人员12人,主任医师1人,副主任医师1人,主治医师5人。其中2人具有博士学位,5人具有硕士学位。
口腔颌面外科由门诊及病房组成,门诊有牙科综合治疗机5台,病房开放病床15张,同时拥有种植牙系统、微创拔牙系统、笑气无痛麻醉仪、史塞克动力系统,显微整形器械、口腔全景摄影机、口腔CBCT,心电监护仪等先进配套设备。
口腔颌面外科诊治范围
1. 口腔颌面恶性肿瘤及肿瘤性包块(如颊癌、舌癌、腭癌、颌骨囊肿、脉管瘤、神经鞘瘤、牙龈瘤等)。
2. 口腔颌面部创伤的诊治:各型口腔颌面部软组织创伤和颌面部骨折(如上颌骨骨折、下颌骨骨折、颧骨颧弓骨折等)的手术治疗。
3. 唾液腺疾病的诊治:各型腮腺、颌下腺、舌下腺肿瘤、囊肿及炎症等疾病。
4. 口腔颌面部各型感染的诊治:包括颌骨骨髓炎、口腔颌面部间隙感染及面颈部淋巴结炎等。
5. 颞下颌关节疾病的诊治:包括颞下颌关节强直、肿瘤及外伤和颞下颌关节紊乱综合征等。
6. 口腔颌面先天性发育和后天畸形缺损的修复:如唇裂、腭裂、面裂手术、唇腭裂二期整复术及颌骨畸形的手术整复。
7. 颌面部神经疾病的诊治:如三叉神经痛、舌咽神经痛的手术及非手术治疗。
8. 牙及牙槽外科手术:包括各种拔牙术(包括微创拔牙和心电监护拔牙术)、牙种植术和修复前外科手术等。
学科带头人

木合塔尔·霍加,主任医师,教授,博士,博士研究生导师,中华口腔医学会颌面外科专业委员会常委,中华口腔医学会口腔种植专业委员会委员,国际种植牙医师学会(ICOI)中国总会副会长,广东省口腔医学会口腔颌面外科专委会常委,广东省临床医学会牙种植专委会常委,国际种植牙医师学会(ITI)中国区教官,省级优秀留学归国人员。 1988 年毕业于上海交通大学口腔医学院,2005年获日本九州大学博士学位。
从事口腔临床工作近三十年,对口腔种植外科、 微创拔牙、 颌面部肿瘤及面部创伤的临床诊治有较丰富的经验。
主持国家自然科学 基金项目 2 项。 荣获省级科学技术进步奖二等奖 2 项,三等奖 1 项, 已培养博士、 硕士研究生约50人(口腔种植科,口腔颌面外科)
好的
专业的技术
强大的团队
一名被智齿困扰的患者表示
疑惑解除
已经准备好拔智齿了
但他还有个请求
↓↓

作者:口腔科 艾尼瓦尔·米吉提
整理:罗医口腔小编
转载自口腔科微信公众号
编辑整理:罗医宣