朋友美美年轻时一直很贪玩,也一直没有要娃,现在已经三十多了,老公和双方父母都有点急了,说再不怀孕的话以后生娃都难了。美美自己也感觉该收心了,开始和老公有了“造人”计划。
但是,这小娃也很调皮,备孕了大半年了也没怀上,这回美美真急了,去医院里检查了一下,医生问了一下状况,听说才备孕半年,直接把她赶回来了,说:备孕一年没怀上的也有很多,身体一切正常,别焦虑,回去继续备孕吧。
美美灰溜溜地回家了,因为检查过后一切都是正常的,这下她倒是放松下来,结果就在上周,她欣喜若狂地给我发了两条杠的试纸,得意洋洋地宣布说:本美少女怀上了,哈哈。
我赶紧恭喜了她,不过她也很担心地问:啥时候才能看见孕囊呀,据说只有看见孕囊了,才知道是不是真正怀孕,才能确定是不是有宫外孕啊?
哈哈,这些担心也是我当初最初知道自己怀孕后很担心的事情,当时特别去医院查了一下是不是宫外孕。

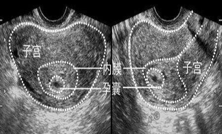
首先来说一下什么是孕囊?
孕囊只有在孕早期可以看得到,是在怀孕40天左右形成的,也是最初的怀孕形态。
当受精卵植入到子宫内膜后,就会逐渐成长为孕囊,是被羊膜、血管网等包裹起来的小胚胎,有胚胎组织。
孕妈不放心的话,可以通过B超在宫腔内看到孕囊,随着胚胎不断成长,孕囊内会形成胎芽、胎心,如果孕妈在医院检查时,看得到孕囊,胎心和胎芽,就可以确认为宫内妊娠。
另外说明一下,孕囊太早是看不到的,太晚也看不到,所以怀孕后的孕妈们不要太焦虑,医生会给你最正确的解答。

孕囊的特点:
孕妈自己不会看拍出来的片子,可以对照下面的几项孕囊特点来看一下:
孕囊正常的特点:
- 孕囊的位置可以位于子宫的上部、中部、宫底,也可以位于前壁和后壁,都是属于正常形态,孕妈不必太担心;
- 孕囊的形状为圆形和椭圆形,看上去清晰可见,就是正常的;
- 月经期比较规律的女性,停经35天之后,就可以在宫腔内看到孕囊。
- 在怀孕6周时孕囊直径约2厘米,怀孕10周时约5厘米。
孕囊不正常时的特点:
如果在B超时,看到的孕囊很不清晰,也呈现不规则状态,位置靠近下方,而且孕妈伴有YD流血或者肚子很痛的话,可能是要发生流产现象。

孕早期胚胎发育过程
胎儿在孕妈肚子里的早期发育过程是这样的:
0到4周时属于胚前期,5到10周属于胚胎期,11到40周属于胎儿期。
- 30到40天形成胎囊;
- 40到50天形成胎芽;
- 50-60天形成胎心;
医院会建议孕妇在怀孕42天时去所在地的妇产医院建档,做B超检查,这时候一般会看到完整的孕囊,如果月经不是很规律,可以晚一点去。
一般在42天左右去医院做个B超检查,可以看到完整的孕囊 。

和朋友美美讲完这些后,美美终于放下心了,开开心心地开始快乐孕期生活啦!
#你好,新生命#