家住海边,各种螺类海鲜便是家常菜,但虫子也时常来“肇事”,其中“肇事”最多名声最响的,那还是要属血吸虫。此虫下毒手段也是非常凶悍,隐匿于身体,让你防不胜防。10月11日,家住霞浦县的马先生就因血吸虫卵“久居”体内致阑尾炎症求诊于闽东医院心胸普儿外科,才得以把“虫”趋赶出身体,10月21日已康复出院。

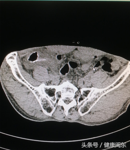
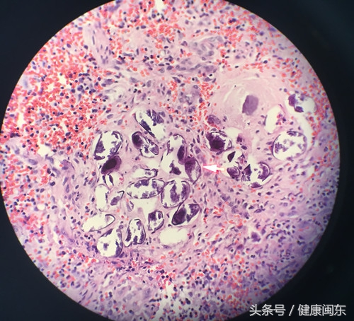
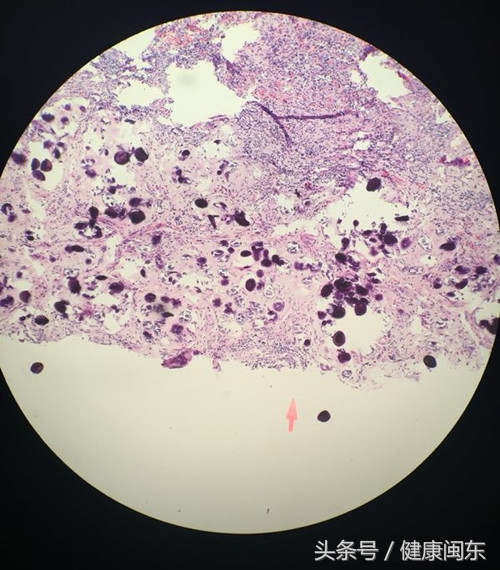
马先生入院后,心胸普儿外科医生经完善各项检查,显示有右下腹回盲部肠壁稍肿胀,经输液保守治疗无效,张清华副主任医师当机立断进行腹腔镜探查,手术中看见的情况是:回盲部穿孔,直径1厘米,阑尾炎症。术后送病理检查显示:急性化脓性阑尾炎伴穿孔,阑尾周围炎,并见虫卵性钙化;肠粘膜急性化脓性炎症。元凶原来是寄居马先生体内的寄生虫,成虫将卵产致粘膜下方,大量虫卵沉积于微血管内,宿主对虫卵的炎症和纤维化反应,进而发展成为穿孔所致。


“几经周折,终捉拿凶手‘血吸虫’” 张清华副主任医师说道,血吸虫病的主要病变是由虫卵引起肝脏和肠道的肉芽肿形成,病理检查是诊断血吸虫病的重要方法之一。各阶段的虫体均可对人体产生一定程度的损伤,尾蚴、童虫和成虫所致的损伤多为一过性或较轻微,而沉积于微血管内的大量虫卵以及宿主对虫卵的炎症和纤维化反应为血吸虫病的主要病理基础。
血吸虫如何在体内使坏呢?张清华副主任医师解释说,血吸虫通常寄居于门静脉系统内,受累脏器以结肠和肝脏为主,肠道损害多限于肠系膜下静脉和痔上静脉分布范围的结肠,尤以乙状结肠和直肠最为显著,小肠病变鲜见。偶尔在部分重度感染病例中成虫可寄居或虫卵肉芽肿病变发生于门静脉系统之外而产生异位损害,多见于肺及脑部,其他如脊髓、肾脏、生殖系统等偶可有血吸虫卵沉积,但炎症反应多不显著。(陈春)