认识肺实变是理解肺部影像学表现的基础。气腔实变是肺泡腔被液体、血液、脓液、细胞或其他物质所代替。肺泡实变和肺实质实变是气腔实变的同义词。
1. 空气支气管征
肺实变的患者中,充气的支气管在平片或CT上都能看到,在不透光的肺实质衬托下显示为透光区(图1)。这一征象称为空气支气管征。


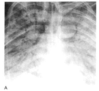
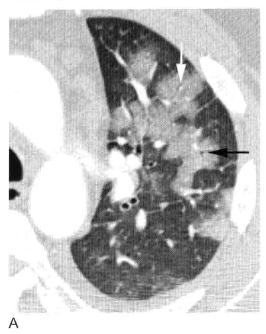
图1 实变:均匀致密影、纹理遮盖,空气支气管征和CT血管造影征
A. 肺水肿所致的右肺实变。可见双侧实变肺内 空气支气管征,肺血管模糊;B.右肺中下叶肺炎患者增强CT显示病变区均匀实变、肺体积保持不变,空气支气管征(黑色箭头)和致密学观影(白色箭头),其密度高于邻近实变肺组织(即“CT血管造影”征)
2. 边界不清或模糊阴影
实变经常表现为边界不清的阴影(图2,图3),这与边界锐利的肺部肿块相反。在病理学上,缘于斑片病变蔓延的边缘存在数量不等的含气肺泡。


图2 实变:边界不清的,毛玻璃样致密影伴“肺泡充气征”
A. 放大影像细节观察右肺下叶实变呈磨玻璃样边界不清的致密影,内含有小圆形透亮影,称为肺泡充气征,尽管与实际肺泡大小并不相符;B. 右下叶肺炎患者胸部CT显示边界不清的磨玻璃样实变(白色箭头),实变区内小的局灶性透亮影(黑色箭头)为“肺泡充气征”。
3. 肺泡充气征
如果肺实变不融合,可以看到间杂小的局灶性透亮区,代表未受累的肺组织(图2),这些透亮区被称为“肺泡充气征”,但因为肺泡太小无法在X线片上看到,这是一个误称。这些透亮区反映了不完全肺实变。
4. 斑片状不透光区
不同性质成分的实变肺组织会导致透光程度的差异(图3)。

图3 实变:斑片状致密影
A. 肾衰竭引起的肺水肿患者,胸部X线显示肺门周围斑片状实变影;B. CT显示斑片样磨玻璃样实变,其边缘模糊是由于病理进程中肺泡受累程度不同
斑片状肺实变有时在胸部X线片或CT上显示为小叶或多小叶的病变(包括孤立的肺小叶)(图4),可表现为一些小叶密度增高而临近小叶充气正常。



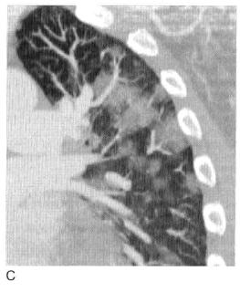
图4 实变,斑片状致密影
A.B. 支气管肺炎及小叶性实变患者增强HRCT显示单个小叶实变而周围邻近小叶正常,实变区小叶中心动脉(白箭头)和细支气管(黑箭头);C. 冠状面CT也显示斑片状实变影呈小叶性分布
5. “腺泡”或气腔结节
“腺泡结节”和“气腔结节”是用于描述有边界的圆形不透光区,直径通常在5~10 mm,多由局灶性肺实变所致(图5)。


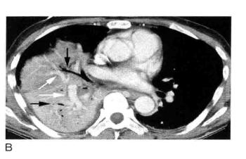
图5 实变:腺泡或气腔结节
A. 胸部平片显示斑片状左上叶大叶性肺炎,致密实变影边缘可见直径小于1cm的边界不清的结节样密度增高影(箭头),代表气腔或腺泡结节;B. 双肺实变患者CT显示(层厚5 mm),左肺下叶可见空气支气管征,并显示斑片状实变和毛玻璃样致密影,右肺中叶、下叶可见气腔结节(箭头)。这些结节边界不清,直径5~10 mm,呈小叶中央分布。
6. 肺体积变化
肺实变时,由于肺泡气体被其他物质所替代(如液体),病变的肺叶体积保持不变(图1B)或轻度缩小。
7. 延伸至胸膜表面
实变经常通过肺泡延伸到胸膜表面的裂隙(图5B),可防止病变进一步扩散。
8. CT血管造影征
肺实变患者CT的特有征象是“CT血管造影征”。这是指静脉内灌注对比剂后,在实变肺组织内正常走行的血管影增强呈高密度,在实变影的衬托下显影(图1B,图6)

图6 实变:CT血管造影征
肺炎患者增强CT显示局灶性实变,与实变肺组织相比,不透明的动脉(箭头所示)密度增大,实变边界在斜裂后部分出现
本文内容整理自《胸部影像学(第2版,中文翻译版)》(科学出版社),
来源:医脉通
【版权声明】本平台属公益学习平台,转载系出于传递更多学习信息之目的,且已标明作者和出处,如不希望被传播的老师可与我们联系删除