
医脉通编译整理,未经授权请勿转载。
01 病历资料

患者女性,32岁。既往体健,近期无旅行史。主因间歇性发热、周身疼痛、无痰干咳以及恶心4天于急诊就诊。入院聚合酶链反应(PCR)检测结果显示乙型流感病毒阳性。患者在急诊科接受监护数小时后,生命体征平稳,随后返回家中。次日,患者因症状恶化再次回到急诊科就诊,患者自述咳嗽消退,但肌痛持续恶化并新出现腹部疼痛、端坐呼吸和尿液臭味,否认存在胸痛、心悸、下肢水肿和呕吐。就诊时血压收缩压为80mmHg,心率180 bpm,无发热。
患者在输注1L乳酸林格氏液后血流动力学得到改善,血压上升至90 /60 mmHg,心率下降至120 bpm。患者的初始体格检查只发现双侧肺底部呼吸音减弱,心音清晰、规律,无杂音、摩擦音、奔马律,颈内静脉无扩张。腹部、神经肌肉和骨骼检查未见异常。
初始实验室检查显示白细胞增多、贫血和电解质异常。心肌酶呈阴性,乳酸升高至4.2 mmol/L。尿液分析显示中度蛋白尿,白细胞酯酶阳性,亚硝酸盐以及与尿路感染相关的白细胞(WBC)计数升高。
胸部X线检查显示右侧纵隔轮廓在上腔静脉区域轻度突出。初始心电图显示窦性心动过速,QRS波低电压(图1)。

(图1 心电图检查)
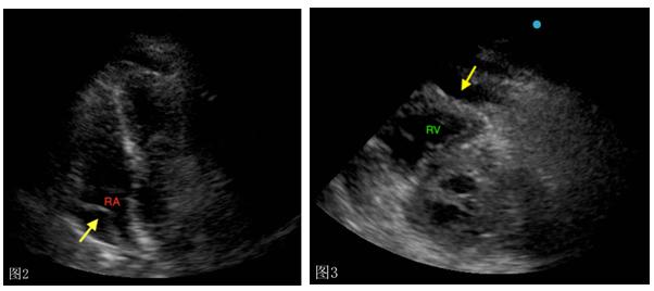
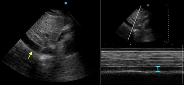
床旁即时超声(POCUS)检查显示中度心包积液以及右心房(图2)和右心室(图3)舒张期塌陷,下腔静脉(IVC)直径增加不随呼吸期变化(图4)。

(图2、图3 POCUS检查)

(图4 POCUS检查显示下腔静脉直径增加)
患者随后转入重症监护病房,经超声心动图检查证实存在心包填塞。患者入导管室接受急诊心包穿刺,抽取250ml黄色心包液后,其症状和血流动力学均改善。随后放置心包引流管,在接下来的72h内引流450ml液体。入院第4天移除心包引流管,经胸重复超声心动图检查无心包积液积聚,心脏收缩功能恢复正常。
患者住院期间还接受了为期5天的奥司他韦治疗以及3天的针对尿路感染的抗生素治疗。入院第5天,患者自述无不适,无相关症状,经检查证实无残余心包积液,随后出院。
02 分析讨论
本例患者提示了一种罕见的乙型流感相关的心脏并发症。在初次评估时医生对所有可能引起心包填塞的潜在原因进行了全面评估。患者的甲状腺功能和肾功能均正常;在炎性指标中,红细胞沉降率(ESR)正常,C反应蛋白(CRP)显著升高(109.6 mg/L);在风湿性疾病方面,患者无相关病史和症状也无家族史,ANA、ANCA均为阴性,补体C4水平正常,C3轻度降低(75.6 mg/dL);结核病相关检查为阴性。患者住院期间白蛋白水平从4 g/dL下降至2.6 g/dL,除流感PCR外,还进行了呼吸道病毒检测,但结果未见异常。心包积液分析没有定论,结果见表1。
表1 心包积液分析结果
| 细胞学检查 | 阴性 |
| 培养与革兰氏染色 | 阴性 |
| 白蛋白 | <0.2 g/dL |
| 蛋白质 | <0.2 g/dL |
| 乳酸脱氢酶 | <10 U/L |
| 细胞计数 |
白细胞:277/ul,红细胞:250/u,分叶核嗜中性白细胞32%,淋巴细胞10%,单核细胞57%,嗜酸粒细胞1% |
患者最初POCUS检查显示有少量的双侧胸膜积液伴肺不张以及少量的腹腔积液(位于脾肾隐窝)。在其他检测结果均为阴性的情况下,只有一种病因或许可以解释上述广泛性的浆膜炎症状——乙型流感被认为是最可能的原因。
流感通常只影响呼吸系统而很少影响心血管系统,不过由于流感引起的心血管(CV)并发症越来越多,再加上本例,关于流感患者心肌和心包受累的真实发生率可能被低估。此前已有关于流感继发心肌炎和心包积液伴或不伴心包填塞的病例报告,但在大多数心脏受累的病例中发现的是甲型流感。
依据心包填塞伴血流动力学不稳定的治疗指南,本例患者及时接受心包穿刺和抽液治疗。通常情况下,上述操作会立即降低心包内压力,使RA和RV充分扩张,从而改善患者的心输出量进而改善临床症状。其他辅助措施还包括容量复苏,如需要,可使用血管升压药物维持平均动脉压(MAP)>65mmHg。
关于流感的治疗,奥司他韦和扎那米韦已经被证实可使流感症状的持续时间缩短1天,因此推荐作为一线药物,在症状出现的48h内开始使用。对于没有并发症的流感感染者,在第一个48h窗口期后使用这些药物没有发现获益,但对于需要住院治疗的严重患者,即使在第一个48h之后应用奥司他韦也有益处。
本例患者提示了流感感染的罕见表现,即心包积液和心包填塞。这是一例罕见的乙型流感引起的心脏并发症病例。因此,在评估有端坐呼吸和低血压流感患者的心包积液时,保持一个低的阈值非常重要。对于可能危及生命的疾病,如心包积液和心包填塞,POCUS检查作为早期诊断工具,也非常重要。

参考资料:Arfaras-Melainis A, Cordero H, Goyal A, et al. (November 30, 2020) Acute Influenza B Infection Presenting as Cardiac Tamponade: A Case Report. Cureus 12(11): e11799. doi:10.7759/cureus.11799