
什么是分泌性中耳炎 “分泌性中耳炎”又称“非化脓性中耳炎” 分泌性中耳炎是以中耳积液及听力下降为特征的中耳非化脓性炎性疾病,以儿童多见。分泌性中耳炎可造成听力损失,可影响语言发育,应高度警惕和及时观察治疗。
耳朵的解剖

对于正常人而言, 咽鼓管 是中耳与外界环境沟通的唯一管道。当 咽鼓管 由于 阻塞 、黏连等原因出现通气功能障碍时,中耳的气体被黏膜吸收,中耳出现 负压 从而导致中耳黏膜的静脉扩张,通透性增加,血清漏出聚积于中耳,从而形成分泌性中耳积液。

分泌性中耳炎是耳科常见的疾病
分泌性中耳炎症状

1.听力下降: 小儿 对声音反应迟钝,常因 注意力不集中 或被发现电视声音开很大而就医。若一耳听力正常,可长期不被察觉,体检时被发现。

2. 耳闭塞感:耳周皮肤可有阻塞感,耳内闷塞或闷胀感。

3.耳鸣:常为低音调嗡嗡声、水流声。当头部运动、捏鼻鼓气时可出现气过水声。

4.耳痛:急性者可有隐隐作痛,慢性者耳痛不明显。

由于常耳痛不明显,儿童主诉不清,在小儿听力受到明显影响时家长才发现就诊,常常延误诊断和治疗。可引起小儿 语言发育迟缓 、 学习成绩差 、平衡能力差、不明原因的笨拙。家长应高度警惕和及时观察治疗。
分泌性中耳炎 !!不容忽视....


分泌性中耳炎病因

1.占位性病变:如儿童腺样体肥大,鼻咽部肿瘤及淋巴组织增生等。

2.鼻腔及鼻窦疾病:如慢性鼻窦炎、巨大鼻息肉、鼻中隔偏曲等,宝宝鼻腔异物引起周围炎症。

3.功能性通气功能障碍(小儿多见):咽鼓管软骨部弹性差、管壁塌陷、开放不良等。除咽鼓管因素外,免疫反应亦会引起本病。

4.全身性疾病:甲状腺功能减退、梅毒、艾滋病等。

5.其他因素:细菌病毒感染,腭裂,Ⅰ、Ⅲ型变态反应均可能引起分泌性中耳炎。

分泌性中耳炎的诊断

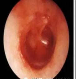
1.鼓膜充血。

2.鼓膜内陷:管锥变短、分散,锤骨短突明显外突,锤骨柄变水平。

3.鼓室积液:透过鼓膜可看见液平面,此液平面呈头发丝状弧形线,有时可看见液体中的气泡。

4.纯音测听:呈传导性耳聋。

5.声导抗测试:多呈B形或C型。

6.鼓膜穿刺或鼓膜切开术:其为一种有创性诊断方式,不但可以明确诊断,同时可以达到治疗目的。

分泌性中耳炎应及时前往正规医院 就诊 。 千万不可忽视!!!

分泌性中耳炎的治疗
保守治疗
1.抗生素:急性期,根据病变严重程度,选用抗生素治疗。

2.保持鼻腔及咽鼓管通畅:如1%麻黄碱液。

3.促纤毛运动及排泄功能:稀化粘液类药物。

4.糖皮质激素:口服地塞米松或泼尼松,辅助治疗。

4.咽鼓管吹张:有捏鼻鼓气法、导管法等。

手术治疗
1.鼓膜穿刺抽液:不但可以明确诊断,同时可以达到治疗目的。

2.鼓膜切开术:适用于积液较粘稠者。

3.鼓膜置管:适用上述治疗无效,长期迁延不愈,反复发作者。

4.积极治疗原发病:如腺样体切除术、鼻息肉切除术、鼻中隔矫正术等。

END
谢谢观看!!!

本文编辑:巨豪 陈胜利
本文审核:夏思文 倪丽艳