支气管扩张是一种常见的呼吸系统疾病,患者免疫力低,很容易感冒,感冒后容易出现发热,咳嗽、咳痰,不用药好不了,甚至有一些严重病例,不感冒也长期咳嗽、咳痰,大部分咳黄痰,有些人咳绿痰,难以除根。到底是什么原因导致了支气管扩张,又是什么原因导致支气管扩张除不了根。

支气管扩张不仅仅是支气管扩张
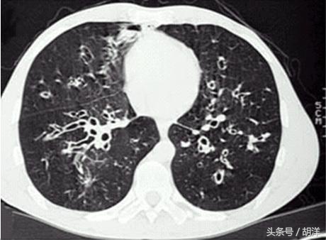
支气管扩张并不仅仅是支气管变得比正常粗了,正常支气管是有舒张和收缩功能的,具有弹性,有利于控制流入肺内的空气流速。有一些原因比如局部支气管反复的感染导致支气管管壁遭到破坏,负责收缩支气管管壁的平滑肌以及骨环均遭到破坏导致管壁收到周围组织的牵拉而局限性的变粗,这就好比山体中的通道半路长出了一个溶洞。正常的支气管管壁上都有负责搬运痰液的纤毛,而“溶洞”的墙壁上是没有搬运工的,大量的分泌物积存在溶洞中,细菌很容易在里面生长导致发热咳嗽咳痰,因此支气管扩张最重要的是管壁上搬运工的确实以及管壁组织的破坏。

形成支气管扩张的原因
在中国,导致支气管扩张的最重要原因是肺结核,由于中国是结核大国,结核患者众多,很多人即使肺结核治愈后也会在肺部留下后遗症,支气管扩张就是其中之一,因此中国支气管扩张患者数量众多,其他引起支气管扩张的原因还有肺炎、肺纤维化、弥漫性泛细支气管炎等疾病。

支气管扩张主要症状
支气管扩张最重要的症状就是严重的咳嗽和大量的咳痰,严重时还伴有发热,患者的痰液具有特征性,一般为大量黄色或者绿色粘液痰,一天能咳出100ml,积在一起静置后痰液会自然分成三层,如果有这样的症状基本上可以确定为支气管扩张。

支气管扩张的治疗
支气管扩张一旦形成就难以治愈,因为肺及支气管是不可再生的器官,从出生后就不在生长,如果被破坏,就只能通过形成疤痕的方式来修补,是不能像肝脏一样切去一块还能长出新的一块的。
支气管扩张的主要治疗目标是尽量将肺部的痰液咳出来,扩张的支气管失去了搬运工,只有利用重力的作用将痰倒出来,这就是体位引流,每天都要像青蛙一样趴在床上,头第屁股抬起来,家人用空心掌拍背,让痰液自然流出,一般做10-15分钟时间,每天坚持做可以减少感染的发生率。

当支气管扩张引起感染甚至肺炎时,则需要使用抗生素抗感染治疗,在使用强力抗生素的时候一定要注意兼顾绿脓杆菌,因为该菌是支气管扩张常见的定植菌,也是引起咳绿痰的主要细菌,一般的抗生素对其无效。