考前冲刺二
1[单选题]早产儿发生呼吸窘迫综合征,最主要的原因是
A.宫内感染
B.肺表面活性物质缺乏
C.低体重
D.低体温
E.肺液吸收不完全
正确答案:B
2[单选题]先天性甲状腺功能减退症的最严重后果是
A.身材矮小
B.智力落后
C.心功能低下、心力衰竭、心包积液
D.腹胀、便秘、脐疝
E.贫血
正确答案:B
3[单选题]炭疽病最主要的致病因子是
A.芽胞抗原
B.致死因子
C.第Ⅱ因子
D.炭疽毒素
E.水肿因子
正确答案:D
4[单选题]急性坏死性小肠结肠炎的最具诊断意义的检查是
A.腹部X线片
B.钡餐造影
C.钡灌肠造影
D.腹部B型超声
E.腹部MRI
正确答案:A
5[单选题]社区获得性细菌性肺炎,常见的病原菌是
A.肺炎链球菌
B.金黄色葡萄球菌
C.流感嗜血杆菌
D.大肠埃希菌
E.结核杆菌
正确答案:A
6[单选题]关于干燥综合征,叙述错误的是
A.主要累及外分泌腺
B.分为原发性和继发性两类
C.是一种自身免疫性疾病
D.很少累及外分泌腺以外的组织
E.可伴发肾小管性酸中毒
正确答案:D
7[多选题]关于重症β-珠蛋白生成障碍性贫血(β-地中海贫血),叙述正确的有
A.多在幼儿期起病
B.面容特殊
C.贫血严重
D.多是纯合子或双重杂合子
E.目前没有根治的方法
正确答案:BCD
8[多选题]抗利尿激素(ADH)分泌或释放不足所致的疾病有
A.原发性(特发性)中枢性尿崩症
B.颅咽管瘤致多饮、多尿
C.家族性尿崩症
D.肾性尿崩症
E.糖尿病性多饮、多尿
正确答案:ABC
9[多选题]患者女,15岁,因“四肢关节肿胀3个月”来诊。尤以双手、双腕关节、掌指关节、近端指间关节肿胀明显。若考虑幼年特发性关节炎,为鉴别诊断,应做的检查有
A.血常规
B.双手、双足X线片
C.抗核抗体谱
D.类风湿因子
E.尿常规
正确答案:ABCDE
10[多选题]身材匀称评价可用于诊断
A.肥胖
B.骨发育不良
C.消瘦
D.甲状腺功能减退
E.维生素A缺乏
正确答案:ABCD
11[案例分析题]患儿女,8岁,因“发热1周”来诊。患儿自幼体弱,反复发热,有时伴有尿路刺激症状,当地均予抗感染治疗好转,未做进一步检查、治疗。查体:无水肿,轻度贫血貌。尿常规:蛋白质(++),RBC2~4/HP,WBC30~40/HP。(提示排泄性膀胱尿路造影:输尿管中度扩张扭曲,肾盂中度扩张,穹隆轻度变钝。)
说明患儿存在:
A.膀胱输尿管反流Ⅰ度
B.膀胱输尿管反流Ⅱ度
C.膀胱输尿管反流Ⅲ度
D.膀胱输尿管反流Ⅳ度
E.膀胱输尿管反流Ⅴ度
F.膀胱输尿管反流Ⅵ度
正确答案:C
12[案例分析题]患儿男,8岁,因“间断咳嗽、咳痰伴发热7年,加重2年,发热3d”来诊。2~3个月发热1次,抗感染治疗后体温可恢复正常,但咳嗽、咳痰无好转。出生后反复患中耳炎,平均每年2~3次。按时进行预防接种。查体:T38℃,P90次/min,R35次/min,BP100/60mmHg;鼻腔可见脓性分泌物;双肺呼吸音粗,可闻及痰鸣音;杵状指。
为明确诊断首先应检查的项目包括
A.血常规+C-反应蛋白
B.胸部X线片
C.胸部CT
D.免疫功能
E.胸部B型超声
F.肺功能
G.动脉血气分析
正确答案:ABDG
13[案例分析题]患儿男,7岁,因“吞咽困难、呕吐3个月”来诊。有时出现胸骨后不适,食物反流,呛咳。查体:消瘦,心、肺未见异常。(提示食管钡餐造影:见“鸟喙”征。)
诊断主要考虑的疾病是
A.食管憩室
B.反流性食管炎
C.贲门失弛缓症
D.先天性肥厚性幽门狭窄
E.肠套叠
F.胃扭转
正确答案:C
14[案例分析题]患儿男,5岁,因“突发发热、皮疹伴双膝关节肿痛3周”来诊。弛张高热,伴充血性皮疹,热出疹出,热退疹退。查体:躯干四肢大小不等充血性皮疹;浅表淋巴结肿大;心、肺未见异常;腹软,肝、脾大;双膝关节肿胀、积液、压痛,屈曲受限。实验室检查:Hb98g/L,WBC32×10
/L,PLT650×10/L;ESR98mm/h,CRP130mg/L。
该患儿的鉴别诊断包括
A.败血症
B.恶性淋巴瘤或白血病
C.系统性红斑狼疮
D.慢性活动性EB病毒感染
E.系统性红斑狼疮
F.流行性感冒
正确答案:ABCDE
15[案例分析题]患者女,3岁,因“头部摔伤1h”来诊。查体:体重15kg,面色苍白,呼吸微弱。心电监护:HR39次/min。急诊护士立即呼叫医师。
若您为当班医师,急诊应尽快做的处理包括
A.仰头提颏法开放气道
B.推举下颌法开放气道
C.鼻导管吸氧
D.头罩吸氧
E.面罩加压吸氧
F.心脏按压(按压深度为胸廓前后径的1/3~1/2,100次/min)
G.心脏按压(按压深度为胸廓前后径的1/2~2/3,100次/min)
H.开通静脉
正确答案:BEFH
16[案例分析题]现在都认为早期发展很重要,宝宝出生时很健康,请你给他做一个保健计划。
宝宝长到4岁了,正确的保健计划是
A.培养想象和思维能力
B.体格发育第2高峰
C.预防遗传性疾病与先天畸形
D.进行麻疹疫苗计划免疫接种
E.预防佝偻病的发生
F.加强素质、体育、法制、性教育等
正确答案:A
17[案例分析题]患儿男,7岁,因“吞咽困难、呕吐3个月”来诊。有时出现胸骨后不适,食物反流,呛咳。查体:消瘦,心、肺未见异常。
错误的处理有
A.增稠食物,减少饮水量
B.减慢进食速度
C.贲门括约肌内注射肉毒素
D.奥美拉唑
E.食管球囊扩张
F.改良Heller手术
正确答案:AD
18[案例分析题]孕妇妊娠41周,羊水胎粪污染,胎儿宫内窘迫,急诊剖宫产一男婴。出生时全身苍白,无自主呼吸,HR60次/min,四肢松弛,刺激四肢有轻微收缩。
对于刚出生的新生儿快速评估的项目有
A.是否足月
B.羊水是否清
C.是否有呼吸或哭声
D.心率
E.肌张力
F.血压
G.是否存在心脏杂音
H.皮肤颜色
I.生理反射能否引出
正确答案:ABCE
19[案例分析题]患儿男,8岁,因“间断咳嗽、咳痰伴发热7年,加重2年,发热3d”来诊。2~3个月发热1次,抗感染治疗后体温可恢复正常,但咳嗽、咳痰无好转。出生后反复患中耳炎,平均每年2~3次。按时进行预防接种。查体:T38℃,P90次/min,R35次/min,BP100/60mmHg;鼻腔可见脓性分泌物;双肺呼吸音粗,可闻及痰鸣音;杵状指。(提示免疫功能检查正常。)
对诊断最有帮助的检查是
A.心脏彩色超声
B.腹部B型超声
C.支气管黏膜电镜检查
D.基因检查
E.耳镜检查
F.颅脑CT
正确答案:C
20[案例分析题]患儿女,7岁,因“发作性意识丧失3个月”来诊。发作10余次/d,每次持续10+s,发作时不摔倒,可由过度呼吸诱发。为明确诊断应进行的检查有
A.脑脊液检查
B.血常规
C.血生化
D.脑电图
E.颅脑CT或MRI
F.颅脑X线片
正确答案:DE
21[案例分析题]患儿女,12岁,因“发热、腹痛伴黏液脓血粪1个月”来诊。曾在当地医院按“肠炎”予抗感染治疗,未见好转。既往史无特殊。查体:T38.5℃,P110次/min,R24次/min,BP90/50mmHg;体重25kg;口唇稍苍白,口腔黏膜散在阿弗他溃疡;HR110次/min,律齐;双肺呼吸音清;腹软,脐周压痛,无反跳痛,肠鸣音3~4次/min;肛周未见病变。(提示入院后患儿呈稽留热,口服布洛芬溶液后可退热4~6h,随后又开始发热;排黏液脓血粪3~4次/d,腹部持续性隐痛,食欲差。血常规:Hb103g/L。粪常规:RBC(++),WBC(+++)。血钠130mmol/L,血钾3.0mmol/L,ESR88mm/h,CRP60mg/L。)
应尽快做的处理包括
A.补充电解质液(包括钠、钾等)
B.静脉应用第3代头孢菌素
C.口服益生菌
D.半流质饮食
E.部分静脉营养
F.静脉应用地塞米松
G.输血
正确答案:ABCDE
22[案例分析题]女孩,11岁,因头痛20余天,发热伴呕吐6天入院。查体:神志清。嗜睡,消瘦面容,颈部抵抗,心肺无明显异常。舟状腹,肝脾不大,巴氏征、克氏征阳性。在院外曾进行大剂量青霉素及头孢曲松治疗5天。
若患儿确诊为结核性脑膜炎,典型的脑脊液改变符合
A.糖正常,氯化物升高,蛋白明显下降,细胞数升高,以中性粒细胞为主
B.糖明显下降,氯化物正常,蛋白明显升高,细胞数升高,以中性粒细胞为主
C.糖明显下降,氯化物下降,蛋白明显升高,细胞数升高,以淋巴增高为主
D.糖正常,氯化物正常,蛋白升高,细胞数升高,以淋巴为主
E.糖明显升高,氯化物正常,蛋白正常,细胞数正常
F.脑脊液压力增高,外观呈毛玻璃样,静置后可有蜘蛛网状薄膜形成
G.脑脊液压力增高,外观混浊,革兰染色可检出阳性球菌
正确答案:CF
23[案例分析题]患儿女,1岁,因“发热、拒食1d”来诊。4d前曾有轻微流涕、咳嗽。查体:T39.4℃;精神差,时有肢体抖动;口腔黏膜见较多疱疹,部分溃疡,四肢包括手心、足心见散在红色丘疹及疱疹;双肺呼吸音清,未及啰音;心音稍低钝,HR190次/min。
应考虑的诊断及分型为
A.水痘
B.手足口病
C.疱疹性龈口炎
D.普通型
E.重型
F.危重型
正确答案:BE
24[案例分析题]患儿男,3岁,因“咳嗽40d”来诊。体温正常,干咳为主,痰少。予头孢菌素治疗无好转。既往健康,按时进行预防接种。查体:T36.5℃,P90次/min,R26次/min,BP110/70mmHg;呼吸运动对称,语音震颤无增强或减弱、两侧对称、无胸膜摩擦感和皮下捻发感,叩清音,两侧对称,双肺呼吸音粗,左侧略低,未闻及啰音。胸部X线透视:可见纵隔摆动,吸气时纵隔摆向患侧。胸部CT:左上胸廓略有塌陷;左上肺呈大片致密影,体积减小,其内可见少许支气管充气相,左上肺支气管仅起始段可见显示,远端左上叶支气管未见显示,左下叶体积稍增大,余段大气道形态、分布及走行未见异常;余双肺纹理多、模糊;肺门区未见明确肿大淋巴结影。
下一步首选的治疗措施是
A.抗生素治疗
B.气管切开取异物
C.支气管镜取异物
D.胸科手术
E.抗结核治疗
F.抗真菌治疗
正确答案:C
25[案例分析题]患儿男,1岁6个月,因“抽搐1次”来诊。发热、咳嗽5d,加重3d,嗜睡、呕吐1d,今晨抽搐1次,当时体温37.5℃。查体:T38.5℃;昏睡状,气促,口周发绀,鼻翼扇动,可疑颈强直;双肺中小水泡音,HR140次/min;双侧膝跳反射较亢进,双侧巴宾斯基征(+)。血常规:Hb85g/L,WBC11×10/L,N0.81,L0.17。血气分析:pH7.24,PaO
45mmHg,SaO<80%,PaCO68mmHg,HCO
9mmol/L,BE-7mmol/L。胸部X线片:双肺中下肺野点片状阴影。
此时的治疗应包括
A.静脉滴注5%碳酸氢钠溶液
B.静脉注射头孢唑啉
C.静脉滴注亚胺培南
D.输血
E.机械通气
F.注意叩背吸痰
G.静脉补充0.9%氯化钠溶液90ml·kg-1·d-1
正确答案:EF
26[案例分析题]患儿,2岁男孩,发热12小时,体温39℃,在儿科门诊就诊过程中突然发生惊厥,表现为双眼凝视、四肢抖动、呼之不应,持续3~4分钟。查体:体温39℃,精神可,面色红润,咽充血,扁桃体Ⅰ度肿大,心、肺、腹部检查无异常,脑膜刺激征阴性。
患儿最可能的诊断是
A.中毒性脑病
B.病毒性脑炎
C.结核性脑膜炎
D.化脓性脑膜炎
E.上呼吸道感染
F.高热惊厥
G.支气管肺炎
H.食物中毒
正确答案:EF
27[案例分析题]患儿5个月,发热,呕吐2天,烦躁或嗜睡,尖叫,拒奶。查体:前囟膨隆,头向后仰,脑膜刺激征(﹣),血常规WBC20.0×10/L。
本病儿可能的致病菌是
A.大肠埃希菌和B组溶血性链球菌
B.金黄色葡萄球菌和铜绿假单胞菌
C.肺炎链球菌和流感嗜血杆菌
D.肺炎链球菌和沙门菌
E.B组溶血性链球菌和流感嗜血杆菌
F.肠球菌和铜绿假单胞杆菌
正确答案:C
【官方解析】1.这是一道化脑鉴别诊断题。主要是ABC之间的鉴别。结脑多见于3岁以内婴幼儿,但起病缓慢;病脑起病急,但全身症状不重;便常规可除外D。E不应有感染中毒症状。2.A、B是新生儿和2个月以内小婴儿的常见致病菌;2个月至12岁致病菌目前应以流感嗜血杆菌、肺炎链球菌、脑膜炎双球菌为主。4.化脓性脑膜炎脑脊液典型改变为压力增高,外观混浊甚至呈脓样。白细胞总数多在1000×10/L(1000/mm)以上,也可高达数万,以嗜中性粒细胞为主。糖减少,蛋白质显著增加。
28[案例分析题]患者女,9岁,因“面部皮疹6个月,水肿2周”来诊。查体:BP140/90mmHg。实验室检查:Hb75g/L;尿蛋白(+++),尿沉渣RBC10~15/HP;ANA(+),抗dsDNA(+)。临床诊断为系统性红斑狼疮。
该病最为严重的病理类型为
A.微小病变
B.系膜增生
C.局灶硬化
D.弥漫增生
E.膜性肾炎
F.节段增生
正确答案:D
29[案例分析题]患儿,7岁。5天前开始发热,咳嗽,近2日尿少、水肿。体检:体温37.8℃,眼睑及下肢水肿,咽部充血,血压12/8kPa(90/60mmHg),心、肺正常,尿常规:蛋白(++),红细胞5~8个/HP,各项血化验暂未出结果。
需要做的化验检查
A.血常规
B.尿常规
C.红细胞沉降率
D.抗O
E.Addis计数
F.补体
G.C反应蛋白
H.肾功能
正确答案:ABCDEFGH
30[案例分析题]患儿女,5d,因“呕吐、腹泻2d”来诊。生后第3天发病。查体:脱水貌,肤色黑,乳晕、外阴色素沉着,阴蒂肥大。
为明确诊断,应检查
A.血气分析
B.血氢化可的松水平
C.血17-OHP、ACTH及睾酮水平
D.血电解质
E.核型分析
F.血浆肾素、血管紧张素、醛固酮水平
正确答案:ABCDEF
31[案例分析题]患儿男,8岁,因“间断咳嗽、咳痰伴发热7年,加重2年,发热3d”来诊。2~3个月发热1次,抗感染治疗后体温可恢复正常,但咳嗽、咳痰无好转。出生后反复患中耳炎,平均每年2~3次。按时进行预防接种。查体:T38℃,P90次/min,R35次/min,BP100/60mmHg;鼻腔可见脓性分泌物;双肺呼吸音粗,可闻及痰鸣音;杵状指。胸部CT:广泛支气管扩张。
可能的诊断是
A.原发免疫缺陷病
B.原发性纤毛运动障碍
C.先天性肺囊肿继发感染
D.囊性纤维化
E.肺结核后支气管扩张
F.肺炎后支气管扩张
G.闭塞性细支气管炎
正确答案:ABD
32[案例分析题]患儿女,5岁,因“反复关节肿痛2个月”来诊。查体:T38℃,P100次/min;精神差,轻度贫血貌;颈部可触及数枚肿大淋巴结,最大者1.0cm×1.5cm;心、肺、腹未见明显异常;双手第一指间关节、掌指关节肿胀、触痛、活动受限,双腕关节、双踝关节肿胀、触痛,无活动受限。实验室检查:Hb92g/L,WBC15×10/L,ESR67mm/h,CRP53mg/L,RF(-)。
应考虑的诊断有
A.系统性红斑狼疮
B.幼年特发性关节炎
C.反应性关节炎
D.川崎病
E.淋巴瘤
F.白血病
正确答案:ABE
33[案例分析题]患儿女,10岁,因“反复面色苍白7年,咯血1周”来诊。父母及其姐体健,家族中无类似病史。无结核接触史。查体:T36.8℃,P98次/min,R22次/min,BP100/80mmHg;发育营养正常,口唇轻度苍白;双肺呼吸音粗,未闻及啰音;心音有力,心尖部可闻及Ⅱ/Ⅵ级收缩期杂音;腹平软,肝、脾不大。(提示病情突然加重,面色苍白,呼吸困难,咯血量增加。查体:双肺密集细湿性啰音。即刻复查胸部X线片:双肺透光明显减低,大片密度增高影。血气分析:pH7.35,PaO45mmHg,PaCO45mmHg,SO88%。)
紧急抢救措施包括
A.经鼻持续气道正压通气(NCPAP)
B.止血药
C.大剂量糖皮质激素冲击
D.加大抗感染力度
E.支气管灌洗
F.强心、利尿
G.监测生命指征
正确答案:ABCG
34[案例分析题]患儿男,7岁,因“吞咽困难、呕吐3个月”来诊。有时出现胸骨后不适,食物反流,呛咳。查体:消瘦,心、肺未见异常。
错误的处理有
A.增稠食物,减少饮水量
B.减慢进食速度
C.贲门括约肌内注射肉毒素
D.奥美拉唑
E.食管球囊扩张
F.改良Heller手术
正确答案:AD
35[案例分析题]患儿男,5岁3个月,因患急性肾小球肾炎初次入院。发病前生长发育和行为表现正常。父亲常年在外地工作,母亲陪同患儿入院,家庭经济状况较差。
有助于解决上述问题的措施包括
A.父母陪伴
B.用镇静催眠药物稳定孩子情绪
C.提供大量活动的机会
D.医师、护士保持与父母、孩子双方的沟通
E.限制、减少医疗操作数量
F.欢快的、儿童化的装修格调
正确答案:ADEF
36[案例分析题]患儿女,10岁,因“反复面色苍白7年,咯血1周”来诊。父母及其姐体健,家族中无类似病史。无结核接触史。查体:T36.8℃,P98次/min,R22次/min,BP100/80mmHg;发育营养正常,口唇轻度苍白;双肺呼吸音粗,未闻及啰音;心音有力,心尖部可闻及Ⅱ/Ⅵ级收缩期杂音;腹平软,肝、脾不大。 (提示ESR正常,自身抗体(-),抗中性粒细胞抗体(-)。心脏超声:右心室轻度增大,肺动脉高压。)
为明确诊断首选检查是
A.肺穿刺活检
B.支气管镜灌洗液找含铁血黄素细胞
C.连续痰找含铁血黄素细胞
D.胸部超声
E.血细菌培养
F.变应原筛查
正确答案:C
37[案例分析题]患儿女,8岁,因“发热1周”来诊。患儿自幼体弱,反复发热,有时伴有尿路刺激症状,当地均予抗感染治疗好转,未做进一步检查、治疗。查体:无水肿,轻度贫血貌。尿常规:蛋白质(++),RBC2~4/HP,WBC30~40/HP。
治疗方案为
A.休息、多饮水、勤排尿
B.加强外阴清洁护理
C.根据药敏结果选择抗生素控制感染,直至尿细菌培养转阴
D.感染控制后予小剂量长程抑菌治疗,1/3的治疗量于每晚睡前服用1次,疗程3~6个月
E.请泌尿外科会诊
F.监测尿常规,尿细菌培养,肾功能
正确答案:ABCDEF
38[案例分析题]患儿女,7个月,因“面色苍白1月余,发热、腹泻后加重1周”来诊。双胎35周早产儿之一,混合喂养。查体:体重5.3kg;心尖部可闻及Ⅱ/Ⅵ级柔和收缩期杂音;肝肋下2cm,脾肋下1.5cm。血常规:Hb60g/L,RBC3.0×10
/L,WBC5.0×10/L,PLT120×10/L,网织红细胞0.005,MCV69fl,MCH22pg,MCHC<170g/L;外周血红细胞明显大小不等,色素充盈欠佳。
为进一步明确临床诊断,必要的检查有
A.骨髓细胞涂片检查可染铁
B.血清铁和血清铁蛋白检测
C.血细菌培养
D.心脏彩色超声
E.肝、脾CT
F.红细胞盐水渗透脆性试验
正确答案:AB
39[案例分析题]患儿男,8岁,因“间断咳嗽、咳痰伴发热7年,加重2年,发热3d”来诊。2~3个月发热1次,抗感染治疗后体温可恢复正常,但咳嗽、咳痰无好转。出生后反复患中耳炎,平均每年2~3次。按时进行预防接种。查体:T38℃,P90次/min,R35次/min,BP100/60mmHg;鼻腔可见脓性分泌物;双肺呼吸音粗,可闻及痰鸣音;杵状指。(提示免疫功能检查正常。)
对诊断最有帮助的检查是
A.心脏彩色超声
B.腹部B型超声
C.支气管黏膜电镜检查
D.基因检查
E.耳镜检查
F.颅脑CT
正确答案:C
40[案例分析题]患者女,3岁,因“头部摔伤1h”来诊。查体:体重15kg,面色苍白,呼吸微弱。心电监护:HR39次/min。急诊护士立即呼叫医师。
若您为当班医师,急诊应尽快做的处理包括
A.仰头提颏法开放气道
B.推举下颌法开放气道
C.鼻导管吸氧
D.头罩吸氧
E.面罩加压吸氧
F.心脏按压(按压深度为胸廓前后径的1/3~1/2,100次/min)
G.心脏按压(按压深度为胸廓前后径的1/2~2/3,100次/min)
H.开通静脉
正确答案:BEFH
41[单选题]不能引起CK升高的是
A.心脏手术
B.溶栓治疗
C.急性心肌梗死
D.甲状腺功能亢进
E.心肌炎
正确答案:D
42[单选题]左室肥大,QRS波群电压增高,在各导联电压变化的标准是
A.RavL<1.1mV
B.RavR>0.5mV
C.RI>1.0mV
D.Rv5+SV1>4.0mV(男性)或>3.5mV(女性)
E.Rv1+Sv5>1.2mV
正确答案:D
43[单选题]退出胃镜时应注意的事项是
A.注气
B.尽量抽气,防止腹胀
C.患者深吸气
D.作吞咽动作减少恶心
E.将胃镜先端右旋90°
正确答案:B
44[单选题]代谢性碱中毒见于
A.胸廓畸形
B.乳酸酸中毒
C.严重低血氯
D.脑肿瘤
E.呼吸肌肉麻痹
正确答案:C
45[单选题]动脉血PaO的参考值是
A.80~90mmHg
B.85~95mmHg
C.95~100mmHg
D.90~95mmHg
E.95~105mmHg
正确答案:C
46[单选题]某患者因心悸而就诊,听诊心律不规整,心电图检查:提前出现的宽大的畸形的QRS波群,其前无P波,T波方向与QRS波群主波方向相反,该宽大畸形的QRS波群前后两个窦性P波间距离等于正常p-p间距的2倍,应考虑为
A.室性早搏
B.插入性早搏
C.房性早搏
D.室内差异性传导
E.交界性早搏
正确答案:A
47[多选题]显示纤溶亢进的试验有
A.血小板
B.毛细血管脆性试验
C.APTT
D.PT
E.FDP
正确答案:ADE
48[多选题]平坦型葡萄糖耐量曲线常见于
A.甲状腺功能减退
B.腺垂体功能减退症
C.肾上腺皮质功能亢进
D.胃切除后
E.胰岛B细胞瘤
正确答案:BCE
49[多选题]可使血清尿素氮升高,但肌酐不升高的有
A.各种原因引起的肾前性少尿
B.上消化道出血
C.严重创伤
D.高蛋白饮食
E.甲状腺功能亢进
正确答案:ABCDE
50[多选题]肾小管性蛋白质尿可见
A.糖尿病
B.间质性肾炎
C.肾小管性酸中毒
D.肾盂肾炎
E.高血压
正确答案:CDE
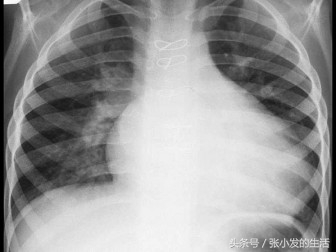
51[单选题]女孩11岁,胸骨左缘第2肋间听到Ⅱ级收缩期杂音,肺动脉瓣区第二心音固定分裂。胸片示如图,右房右室增大。心电图为不完全右束支阻滞,最可能的诊断是 ( )

A.房间隔缺损
B.室间隔缺损
C.肺动脉狭窄
D.法洛四联症
E.动脉导管未闭
正确答案:A
52[单选题]下列哪一项表现不符合动脉导管未闭 ( )
A.胸骨左缘上方连续性“机器”样杂音
B.X线正位片检查示主动脉结缩小
C.右心导管检查示肺动脉血氧含量高于右心室
D.水冲脉、指甲床毛细血管搏动
E.合并肺高压时可出现下半身青紫
正确答案:B
53[单选题]诊断完全性大动脉转位常用的方法是 ( )
A.X线检查
B.超声心动图
C.心导管检查
D.心血管造影
E.CT
正确答案:B
54[单选题]动脉导管未闭的常见并发症,应除外下列哪一项 ( )
A.感染性动脉炎
B.支气管肺炎
C.充血性心力衰竭
D.脑血栓
E.心内膜炎
正确答案:D
55[单选题]先天性心脏病的治疗,下列哪项不正确 ( )
A.动脉导管未闭一般在学龄前期手术较适宜
B.房间隔缺损分流量较大的均需手术治疗,一般可在3~5岁时体外循环下直视关闭
C.大型室间隔缺损在婴幼儿期反复心力衰竭和肺动脉压较高者,应提早作根治术
D.左向右分流先心病发展至梗阻型肺动脉高压伴右向左分流者应紧急手术治疗
E.法洛四联症肺动脉发育良好者才适合作根治术
正确答案:D
56[单选题]肺动脉瓣狭窄的患儿临床表现中,下列哪项错误 ( )
A.胸骨左缘第2肋间可听到喷射性全收缩期杂音
B.胸骨左缘第2肋间可触及收缩期震颤
C.X线示肺纹理减少
D.心电图示右心室肥厚
E.右心导管肺动脉收缩压增高
正确答案:E
57[多选题]结核性脑膜炎早期包括以下哪组症状体征 ( )
A.持续头痛、低热、嗜唾
B.食欲减退、便秘,呕吐
C.性情改变、易哭、易怒
D.颈项强直,频繁惊厥
E.肢体瘫痪或偏瘫
正确答案:ABC
58[多选题]反映肾小管功能的实验室检查主要是 ( )
A.酚红排泄率
B.尿蛋白
C.尿比重
D.尿管型
E.尿渗透压
正确答案:ACE
59[多选题]艾滋病的主要传播途径是 ( )
A.日常生活中的接触,如握手,拥抱
B.通过输入污染的血液或血制品
C.与异性病人有性接触
D.通过吸血昆虫叮咬传播
E.感染的母亲通过胎盘、分娩传播给婴儿
正确答案:BCE
60[多选题]易感者接触麻疹后的预防措施是 ( )
A.检疫观察3周
B.2天内接种麻疹疫苗
C.近期应用过丙种球蛋白者,检疫观察延长至4周
D.丙种球蛋白不可与麻疹疫苗同时应用,需相隔至少3月
E.口服抗病毒药物
正确答案:ABC
61[案例分析题]病历摘要:9岁男孩,夜间睡眠时突然发生右侧口角和面部抽搐,双目凝视,意识丧失,呼之不应,抽搐持续约10~15分钟。体检:体温36℃,神志清楚,对答准确,咽无充血,扁桃体无肿大,双肺呼吸音清,心率92次/分,律齐,心音有力,腹平软,肝脾未触及。脑膜刺激征阴性。脑电图示:颞中部,中央区棘-慢波放电灶。
此患儿处于癫痫持续状态,如何处理?
A.吸氧
B.苯巴比妥肌注
C.首选*西泮地**静推
D.速尿静推
E.*西泮地**肌注
F.病因治疗
G.甘露醇静推
H.水合氯醛灌肠
正确答案:ACFH
62[案例分析题]病历摘要:9岁男孩,夜间睡眠时突然发生右侧口角和面部抽搐,双目凝视,意识丧失,呼之不应,抽搐持续约10~15分钟。体检:体温36℃,神志清楚,对答准确,咽无充血,扁桃体无肿大,双肺呼吸音清,心率92次/分,律齐,心音有力,腹平软,肝脾未触及。脑膜刺激征阴性。脑电图示:颞中部,中央区棘-慢波放电灶。
下列哪些属于抗癫痫药物?
A.卡马西平
B.丙戊酸钠
C.扑痫酮
D.青霉素
E.苯巴比妥
F.速尿
G.苯妥英钠
H.甘露醇
正确答案:ABCEG
63[案例分析题]病历摘要:男孩,早产儿,体重2200g,吸乳差,哭声弱。查体:T35.5℃,精神差,面色青灰,口唇发绀,心肺未见异常,双下肢皮肤硬肿,有轻度凹陷,硬肿从臀部到下肢外测,从上肢到全身,硬肿范围30%。
新生儿低血糖临床表现包括?
A.无任何症状
B.喂养困难
C.常有低体温
D.呼吸暂停
E.表情淡漠
F.巨大儿
G.嗜睡
H.惊厥
正确答案:ABDEGH
64[案例分析题]病历摘要:女孩,生后10天,主因纳差1天,发现皮肤黄染伴发热6小时入院。查体:T37.8℃,精神差,皮肤黄染,心肺未见异常,脐轮红,有脓性分泌物。血WBC34.7×10/L,中性0.75,血Hb132g/L,血清总胆红素443.94μmol/L,直接胆红素30.9μmol/L。
新生儿败血症常见的临床表现是?
A.出现黄疸或黄疸加重
B.腹胀、肝脾肿大
C.精神差,食欲减退
D.发热、体温不升
E.明显贫血
F.有感染表现
G.常有便血
H.生后哭闹不安
正确答案:ABCDF
65[案例分析题]病历摘要:9岁男孩,夜间睡眠时突然发生右侧口角和面部抽搐,双目凝视,意识丧失,呼之不应,抽搐持续约10~15分钟。体检:体温36℃,神志清楚,对答准确,咽无充血,扁桃体无肿大,双肺呼吸音清,心率92次/分,律齐,心音有力,腹平软,肝脾未触及。脑膜刺激征阴性。脑电图示:颞中部,中央区棘-慢波放电灶。
癫痫持续状态正确的是什么?
A.癫痫发作持续30分钟以上
B.反复发作持续30分钟以上、发作间意识不恢复
C.原有神经系统异常
D.复杂部分性癫痫可有非抽动性持续状态
E.持续状态以癫痫大发作为多
F.高热惊厥不发作持续状态
正确答案:ABDE
66[案例分析题]病历摘要: 4岁女孩,因低热20余天,伴盗汗、咳嗽,体重减轻来就诊。查体:体温37.8℃,消瘦,两侧颈部浅表淋巴结1.0 cm×1.0 cm肿大,质中等,心肺未见异常,腹软,肝右肋下2.5cm,质软,脾未及。PPD试验(+++),血常规:WBC11×10/L,胸片示:右肺中野可见密集增深阴影,右肺门似有团块样阴影。
小儿结核性脑膜炎转归与下列因素有关?
A.反复惊厥次数
B.抗结核治疗的早晚
C.昏迷的程度
D.治疗是否正确、彻底
E.是否有结核原发病灶
F.年龄大小
G.电解质代谢紊乱
H.脑膜刺激征
正确答案:BDF
67[案例分析题]病历摘要:男孩,早产儿,体重2200g,吸乳差,哭声弱。查体:T35.5℃,精神差,面色青灰,口唇发绀,心肺未见异常,双下肢皮肤硬肿,有轻度凹陷,硬肿从臀部到下肢外测,从上肢到全身,硬肿范围30%。
新生儿低血糖的高危因素包括?
A.早产
B.多胎
C.SGA
D.LGA
E.母亲患甲状腺功能低下
F.母亲患糖尿病
G.使用泼尼松
H.多见巨大儿
正确答案:ABCF
68[案例分析题]病历摘要:3岁患儿,自生后6个月开始出现紫绀,有杵状指。平时活动后发绀加重。查体:发育营养稍差,心前区隆起,心尖搏动弥散,并触及收缩期震颤,胸骨左缘第4肋间可闻及Ⅲ~Ⅳ粗糙的收缩期杂音,胸部X线检查示“靴型”心影,肺血减少。
缺氧发作处理,正确的是哪些?
A.应用地高辛
B.吸氧
C.缺氧发作
D.膝胸卧位
E.蹲踞
F.应用*啡吗**
G.应用利多卡因
H.应用碳酸氢钠
正确答案:BDFH
69[案例分析题]病历摘要: 2岁患儿,多次患支气管肺炎,平时无发绀,活动后有气促但无明显青紫,平时易感冒。查体:发育营养稍差,稍瘦,心前区稍隆起,心尖搏动弥散,并触及收缩期震颤,胸骨左缘第2肋间可闻及Ⅲ~Ⅳ粗糙的连续性机器样杂音,向颈部传导,有震颤,水冲脉。
动脉导管未闭检查临床体征有哪些?
A.胸骨左缘第3~4肋间可闻及Ⅲ~Ⅳ粗糙的收缩期杂音
B.按压指甲床见毛细血管搏动
C.水冲脉
D.股动脉枪击音
E.不出现肺动脉高压
F.严重时出现下半身青紫
G.胸骨左缘第2肋间可闻及Ⅲ~Ⅳ粗糙的连续性机器样杂音
H.杂音向颈部传导,有震颤
正确答案:BCDFGH
70[案例分析题]病历摘要:10个月患儿,发热、咳嗽5天,近2天出现呕吐,3次/日,呈喷射性呕吐,并惊厥2次,曾肌注青霉素5天,已接种卡介苗。查体:T38.8℃,精神差,嗜睡,呼吸促,前囟饱满,张力较高,两肺可闻及少许水泡音,心脏未见异常,双巴氏征(+)。外周血:白细胞16×10/L,N90%,L
0%,X线示:两肺少许斑片状阴影;脑脊液:外观混浊,白细胞800×10
/L,中性80%,蛋白2g/L,糖1.2mmol/L,氯化物100mmol/L,涂片找菌(-),PPD直径5mm。
化脓性脑膜炎的处理措施是?
A.抗生素
B.并发症的治疗
C.密切观察生命体征
D.肾上腺皮质激素
E.常规行侧脑室穿刺降低颅内压
F.使用脑膜炎双球菌疫苗
G.选用易通过血脑屏障的抗生素
H.根据脑脊液检查与药敏选择抗生素
正确答案:ABCDGH
71[案例分析题]病历摘要: 患儿男孩,8岁,眼睑浮肿10余天,近3天尿少。查体:体温37℃,呼吸32次/分,心率110次/分,血压120/80mmHg,双眼睑、面部浮肿,双肺未闻及干湿啰音,心前区未闻及收缩期杂音,腹膨隆,移动性浊音++,肝肋下2.0cm,肾区无叩痛,双下肢明显凹陷性水肿。血常规:WBC9.2×10/L,Hb115g/L,RBC4.2×10/L,N78%。尿常规:尿蛋白++++,偶见RBC/HP。
支持单纯型肾病综合征的指标有哪些?
A.大量蛋白尿
B.低蛋白血症
C.高胆固醇血症
D.水肿
E.补体C3正常
F.血压正常
G.肾功能正常
H.尿中大量红细胞
正确答案:ABCDEFG
72[案例分析题]病历摘要:4岁男孩,因低热10余天,伴咳嗽,食欲欠佳,体重减轻来就诊。查体:体温38℃,两侧颈部浅表淋巴结有肿大,双肺呼吸音粗,心脏检查未见异常,腹软,肝右肋下1.5cm,质软。此患儿已接种卡介苗,PPD试验+++,血常规:WBC7×10/L,胸片示:右肺中野可见密集增深阴影,右肺门有团块样阴影。
该患儿需要进一步做什么检查?
A.纤维支气管镜检查
B.胸部X线侧位检查
C.结核抗体测定
D.胸部CT检查
E.痰找结核菌
F.心电图
G.脑电图
H.痰培养+药敏
正确答案:BCDE
73[案例分析题]病历摘要:男孩,早产儿,体重2200g,吸乳差,哭声弱。查体:T35.5℃,精神差,面色青灰,口唇发绀,心肺未见异常,双下肢皮肤硬肿,有轻度凹陷,硬肿从臀部到下肢外测,从上肢到全身,硬肿范围30%。
新生儿低血糖临床表现包括?
A.无任何症状
B.喂养困难
C.常有低体温
D.呼吸暂停
E.表情淡漠
F.巨大儿
G.嗜睡
H.惊厥
正确答案:ABDEGH
74[案例分析题]病历摘要:男孩,早产儿,体重2000g,有胎内窘迫史,生后Apgar评分1分钟为3分,5分钟为6分。生后4小时患儿呼吸急促,*吟呻**,有呼吸暂停。查体:T37.0℃,精神差,鼻翼煽动,面色青灰,口唇发绀,心肺未见异常,双下肢肌张力松弛。
根据血气分析结果,考虑患儿诊断为新生儿呼吸窘迫综合征,下列哪项支持?
A.HCO升高
B.pH 7.2
C.BE -15mmol/L
D.PaO 40 mmHg
E.PaCO 68 mmHg
F.PaO 85 mmHg
G.PaCO 35 mmHg
H.BE +5mmol/L
正确答案:BCDE
75[案例分析题]病历摘要:9岁,眼睑浮肿3天,近3天来尿少呈现褐色,伴频咳、气急、全身不适来就诊。查体:体温37℃,呼吸42次/分,心率122次/分,血压130/90mmHg,双眼睑浮肿,呼吸急促,双肺底闻及少许湿啰音,心率122次/分,心音稍低钝,肝肋下2.5cm,质软,轻度压痛,双下肢轻度浮肿。
下一步需要做哪些检验项目?
A.血常规
B.尿常规
C.抗溶血性链球菌"O"(ASO)
D.补体C3
E.血培养
F.免疫球蛋白
G.肾功能
H.血沉
正确答案:BCDGH
76[案例分析题]病历摘要:4岁男孩,因低热10余天,伴咳嗽,食欲欠佳,体重减轻来就诊。查体:体温38℃,两侧颈部浅表淋巴结有肿大,双肺呼吸音粗,心脏检查未见异常,腹软,肝右肋下1.5cm,质软。此患儿已接种卡介苗,PPD试验+++,血常规:WBC7×10/L,胸片示:右肺中野可见密集增深阴影,右肺门有团块样阴影。
小儿原发性肺结核诊断依据是?
A.病史中有长期低热、咳嗽、食欲不振、体重减轻等
B.可询问到有明确的结核接触史
C.未结种过卡介苗,结核菌素阳性
D.结核菌素试验强阳性
E.胸片示:在中下肺野可见边缘不清的渗出病变及肺门淋巴结肿大阴影
F.胸部CT扫描显示纵隔和肺门肿大的淋巴结
G.肝脾肿大
H.两肺可闻及细湿啰音
正确答案:ABCDEF
77[案例分析题]病历摘要:9岁男孩,夜间睡眠时突然发生右侧口角和面部抽搐,双目凝视,意识丧失,呼之不应,抽搐持续约10~15分钟。体检:体温36℃,神志清楚,对答准确,咽无充血,扁桃体无肿大,双肺呼吸音清,心率92次/分,律齐,心音有力,腹平软,肝脾未触及。脑膜刺激征阴性。脑电图示:颞中部,中央区棘-慢波放电灶。
此患儿处于癫痫持续状态,如何处理?
A.吸氧
B.苯巴比妥肌注
C.首选*西泮地**静推
D.速尿静推
E.*西泮地**肌注
F.病因治疗
G.甘露醇静推
H.水合氯醛灌肠
正确答案:ACFH
78[案例分析题]病历摘要:女孩,生后10天,主因纳差1天,发现皮肤黄染伴发热6小时入院。查体:T37.8℃,精神差,皮肤黄染,心肺未见异常,脐轮红,有脓性分泌物。血WBC34.7×10/L,中性0.75,血Hb132g/L,血清总胆红素443.94μmol/L,直接胆红素30.9μmol/L。
此时新生儿血清总胆红素443.94μmol/L,直接胆红素30.9μmol/L。在等待化验检查结果期间,需要选择的治疗方法有哪些?
A.光照疗法
B.白蛋白输注
C.口服苯巴比妥
D.交换输血
E.输血浆
F.口服维生素B
G.地塞米松输注
H.抗生素输注
正确答案:CFH
79[案例分析题]病历摘要:9岁男孩,夜间睡眠时突然发生右侧口角和面部抽搐,双目凝视,意识丧失,呼之不应,抽搐持续约10~15分钟。体检:体温36℃,神志清楚,对答准确,咽无充血,扁桃体无肿大,双肺呼吸音清,心率92次/分,律齐,心音有力,腹平软,肝脾未触及。脑膜刺激征阴性。脑电图示:颞中部,中央区棘-慢波放电灶。
判断此患儿最可能的诊断是什么?
A.中毒性脑病
B.病毒性脑炎
C.结核性脑膜炎
D.化脓性脑膜炎
E.无热惊厥
F.低钙抽搐
G.小儿癫痫
H.食物中毒
正确答案:G
80[案例分析题]病历摘要:9岁,眼睑浮肿3天,近3天来尿少呈现褐色,伴频咳、气急、全身不适来就诊。查体:体温37℃,呼吸42次/分,心率122次/分,血压130/90mmHg,双眼睑浮肿,呼吸急促,双肺底闻及少许湿啰音,心率122次/分,心音稍低钝,肝肋下2.5cm,质软,轻度压痛,双下肢轻度浮肿。
初步判断此患儿最可能的诊断是什么?
A.支气管肺炎,心力衰竭
B.急性肾炎,伴循环充血
C.急性肾炎,伴呼吸衰竭
D.急性肾炎,伴高血压脑病
E.肾病综合征,肾炎型
F.急性肾炎,伴中毒性心肌炎
G.急进性肾炎
H.肺炎合并呼吸衰竭
正确答案:B
81[案例分析题]病历摘要:女孩,生后10天,主因纳差1天,发现皮肤黄染伴发热6小时入院。查体:T37.8℃,精神差,皮肤黄染,心肺未见异常,脐轮红,有脓性分泌物。血WBC34.7×10/L,中性0.75,血Hb132g/L,血清总胆红素443.94μmol/L,直接胆红素30.9μmol/L。
新生儿败血症实验室检验项目包括哪些是?
A.血常规
B.血沉
C.C反应蛋白
D.脑脊液、尿培养
E.血培养
F.分泌物培养
G.细菌质粒DNA和PCR技术
H.血浆棕黄层涂片
正确答案:ABCDEFGH
82[案例分析题]病历摘要:患儿男性,5岁,发热10余天,呈不规则发热,食欲减退,偶有鼻衄,曾用抗生素治疗不见好转,近日来面色逐渐苍白。查体:体温:T38.8℃,精神差,皮肤粘膜苍白,躯干部可见针尖大小的出血点,心肺未见异常,肝肋下3cm,脾肋下1cm。血常规:血WBC45.0×10/L,中性:0.25,淋巴:0.75;血红蛋白Hb78g/L,红细胞2.6×10/L,血小板77×10/L。
此患儿可能的诊断是什么?
A.营养性缺铁性贫血
B.急性白血病
C.骨髓异常增生综合征
D.再生障碍性贫血
E.地中海贫血
F.类白血病反应
G.溶血性贫血
H.传染性单核细胞增多症
正确答案:BCF
83[案例分析题]病历摘要: 患儿男孩,8岁,眼睑浮肿10余天,近3天尿少。查体:体温37℃,呼吸32次/分,心率110次/分,血压120/80mmHg,双眼睑、面部浮肿,双肺未闻及干湿啰音,心前区未闻及收缩期杂音,腹膨隆,移动性浊音++,肝肋下2.0cm,肾区无叩痛,双下肢明显凹陷性水肿。血常规:WBC9.2×10/L,Hb115g/L,RBC4.2×10/L,N78%。尿常规:尿蛋白++++,偶见RBC/HP。
患儿为肾炎型肾病综合征,激素治疗8周,并用甲泼尼龙冲击治疗,不见好转,考虑激素不敏感,应考虑可加用哪些药物治疗?
A.环磷酰胺
B.环孢素A
C.雷公藤多苷
D.霉酚酸酯
E.中药
F.*芥氮**
G.6-巯嘌呤
H.FK506
正确答案:ABCDEH
84[案例分析题]病历摘要:男孩,早产儿,体重2000g,有胎内窘迫史,生后Apgar评分1分钟为3分,5分钟为6分。生后4小时患儿呼吸急促,*吟呻**,有呼吸暂停。查体:T37.0℃,精神差,鼻翼煽动,面色青灰,口唇发绀,心肺未见异常,双下肢肌张力松弛。
关于新生儿呼吸窘迫综合征的预防重点是?
A.孕期保健,预防早产
B.控制母孕期糖尿病
C.羊水检查卵磷脂和鞘磷脂的比例
D.抗感染治疗
E.给即将早产出生的孕妇注射肾上腺皮质激素
F.控制产前或产时的感染
G.生产时防止窒息
H.注射保胎药物
正确答案:ABCEFG
85[案例分析题]病历摘要: 1岁患儿,母乳喂养未加辅食,1个月来面色逐渐苍白,不爱活动,食欲有所减退。查体:皮肤粘膜苍白,心肺未见异常,肝肋下3cm,脾肋下1cm。血常规:血红蛋白Hb78g/L,红细胞3.0×10/L,RBC中心浅染区扩大,血小板121×10/L,网织红细胞正常。
此患儿最可能出现的化验结果是? MCV(fl) MCH(pg) MCHC(%)
A.80~90 /28~32 /32~38
B.>94/>32/ 32~38
C.80~94 / >32/ 32~38
D.<80 /<28 /32~38
E.<80 /<28 /<32
F.>80/ >28/ >32
正确答案:E
86[案例分析题]病历摘要: 2岁女孩,发热4天,体温39℃,伴咳嗽、流涕,双眼流泪。半天前出现皮疹。体检:体温39℃,面色红润,患儿耳后、颈部、发际边缘有稀疏不规则红色斑丘疹,疹间皮肤正常,咽充血,扁桃体Ⅰ度肿大,心肺正常,腹平软,肝脾未触及。
有关麻疹病毒下列哪些说法正确?
A.麻疹病毒属于副粘病毒科
B.呈球形颗粒
C.直径100~250nm
D.有六种结构蛋白
E.麻疹病毒只有一个血清型
F.抗原性稳定
正确答案:ABCDEF
87[案例分析题]病历摘要:患儿男性,5岁,发热10余天,呈不规则发热,食欲减退,偶有鼻衄,曾用抗生素治疗不见好转,近日来面色逐渐苍白。查体:体温:T38.8℃,精神差,皮肤粘膜苍白,躯干部可见针尖大小的出血点,心肺未见异常,肝肋下3cm,脾肋下1cm。血常规:血WBC45.0×10/L,中性:0.25,淋巴:0.75;血红蛋白Hb78g/L,红细胞2.6×10/L,血小板77×10/L。
当急性淋巴细胞性白血病联合化疗时应注意哪些?
A.当粒细胞<0.5×10/L时应停止化疗
B.治疗前白细胞计数高,肝脾明显肿大,应预防肾功能衰竭
C.提早使用止血药物
D.密切随访周围血象
E.一旦化疗就应该使用层流病房
F.积极防治感染
G.必要时给予输血和血小板
H.当粒细胞明显减少时,考虑给予升白细胞的药物
正确答案:ABDFGH
88[案例分析题]病历摘要:患儿男性,10个月,患儿生后6个月内生长发育好,近2个月呆滞,面黄。查体:体温:T36.8℃,精神可,皮肤粘膜苍白,四肢及唇舌颤抖,舌炎,心肺未见异常,腹软,肝肋下3cm,脾肋下1cm。腱反射亢进,踝阵挛阳性。血常规:Hb70g/L,RBC1.5×10/L,PLT107×10/L,WBC4.5×10/L,中性粒细胞0.15,淋巴细胞0.80,单核细胞0.05,中性粒细胞有核右移。
营养性巨幼红细胞性贫血的临床特点?
A.多见于婴幼儿
B.手足头部颤抖
C.虚胖
D.头发稀少,发黄
E.常有舌炎
F.腱反射亢进,踝阵挛阳性
G.伴有肝脾肿大
H.有神经精神症状
正确答案:ABCDEFGH
【专家解析】
8.小儿时期白细胞总数大致规律是:出生时白细胞计数最高(15~20)×10/L。婴儿期(10~12)×10/L,学龄前期儿童(8~10)×10/L,6岁后达成人水平(5~10)×10/L左右。年龄越小总数越高,再结合血象分类判断结果。
89[案例分析题]病历摘要: 2岁女孩,发热4天,体温39℃,伴咳嗽、流涕,双眼流泪。半天前出现皮疹。体检:体温39℃,面色红润,患儿耳后、颈部、发际边缘有稀疏不规则红色斑丘疹,疹间皮肤正常,咽充血,扁桃体Ⅰ度肿大,心肺正常,腹平软,肝脾未触及。
判断此患儿最可能的诊断是什么?
A.风疹
B.水痘
C.麻疹
D.猩红热
E.幼儿急疹
F.过敏性皮炎
G.上呼吸道感染
H.湿疹
正确答案:C
90[案例分析题]病历摘要: 2岁女孩,发热4天,体温39℃,伴咳嗽、流涕,双眼流泪。半天前出现皮疹。体检:体温39℃,面色红润,患儿耳后、颈部、发际边缘有稀疏不规则红色斑丘疹,疹间皮肤正常,咽充血,扁桃体Ⅰ度肿大,心肺正常,腹平软,肝脾未触及。
麻疹的诊断依据是什么?
A.流行病学资料
B.麻疹疫苗接种史
C.皮疹的活检病理学检查
D.典型的临床表现
E.特异性实验室检查
F.麻疹合并肺炎最多见
正确答案:ABCDEF
91[单选题]房间隔缺损在胸骨左缘2~3肋间可听到Ⅱ~Ⅲ/Ⅵ级收缩期喷射音,是由于 ( )
A.血流通过缺损部位
B.肺动脉瓣相对狭窄
C.右心室扩大
D.肺动脉瓣相对性关闭不全
E.三尖瓣相对狭窄
正确答案:B
92[单选题]存活的紫绀型先天性心脏病中最为常见的是哪种 ( )
A.房间隔缺损
B.室间隔缺损
C.动脉导管未闭
D.肺动脉瓣狭窄
E.法洛四联症
正确答案:E
93[单选题]下列哪一种先天性心脏病始终不出现青紫的是 ( )
A.房间隔缺损
B.室间隔缺损
C.动脉导管未闭
D.肺动脉狭窄
E.法洛四联症
正确答案:D
94[单选题]肺动脉瓣狭窄的患儿出现青紫的主要原因是 ( )
A.右心室肥厚
B.肺动脉痉挛
C.合并卵圆孔未闭或大型房间隔缺损
D.右房压力增高
E.右心室衰竭
正确答案:C
95[单选题]女,3岁,身高95cm,体重17kg,因感冒就诊,心脏有杂音,主要位于心尖区柔和的Ⅱ级收缩期杂音,局限,受呼吸、体位和运动影响。该杂音可见于 ( )
A.生理性杂音
B.房间隔缺损
C.室间隔缺损
D.肺动脉狭窄
E.动脉导管未闭
正确答案:A
96[单选题]先天性心脏病患儿进一步明确诊断和决定手术前的一项重要检查方法是 ( )
A.心电图
B.超声心动图
C.心三位X线照片
D.心导管检查、心血管造影
E.磁共振成像
正确答案:D
97[多选题]糖皮质激素治疗先天性肾上腺皮质增生症中正确的是 ( )
A.可抑制过多的ACTH释放
B.氢化可的松口服量为10~20mg/m

C.症状控制后停药
D.氢化可的松口服量中1/3睡前服,2/3早晨服
E.可改善男性化性早熟等症状
正确答案:ABE
98[多选题]糖尿病的主要病理变化为 ( )
A.胰岛和胰岛β细胞数量明显减少
B.胰岛纤维化和萎缩
C.分泌胰高血糖素的α细胞增生
D.大量淋巴细胞浸润
E.大量浆细胞浸润
正确答案:ABCD
99[多选题]如果切除动物的脑垂体,可能出现 ( )
A.甲状腺萎缩
B.甲状旁腺萎缩
C.性腺萎缩
D.肾上腺皮质萎缩
E.幼年动物停止生长
正确答案:ACDE
100[多选题]下列哪些激素是神经分泌细胞所分泌的 ( )
A.GHRH
B.ADH
C.TRH
D.SS
E.GnRH
正确答案:ABCDE
