最近有几个直肠癌术后的病人,来复查时发现吻合口有狭窄,其中一个非常严重为重度狭窄,已经达到肠梗阻的程度。尽管大部分病人在住院的时候,已经交家属学习直肠指诊的检查,并且我们检查病人时让家属跟着学习指诊,但仍有部分家人可能没有学会,所以有必要跟大家讲讲这个中低位直肠癌术后吻合口狭窄的自我预防,家人应该帮助参与呵护,希望能够通过家里人的帮助,让吻合口狭窄的病人能够得到及时的治疗及维护,减少吻合口狭窄的发生。
吻合口狭窄是结直肠术后较常见的并发症,有文献报道发生率为3%-21%,甚至有的文献报道发生率达25%-50%,因为男性骨盆空间狭小,吻合口狭窄的发生率甚至是是女性的2倍。我做过的病人中,大部分出院时已经交会家人直肠指诊检查,北京病人基本上复查时我会直接检查,所以吻合口狭窄的发生率相对要低一些。

直肠肛管交界、直肠乙状结肠交界图

直肠肛门部解剖图
中低位直肠癌术后的吻合口因其位置距离肛门口近,一般直肠指诊都能够摸得到,如果呵护的好,就可以最大限度地避免吻合口狭窄,最起码能够及时发现吻合口狭窄,及时求助医生得到及时的治疗,避免其发展成为重度狭窄,以及因狭窄导致肠梗阻,给自己带来不必要的痛苦,以及避免因需内镜下及二次手术治疗带来各种风险,同时也可以减轻家庭经济负担。

直肠癌术后吻合口完全狭窄闭合

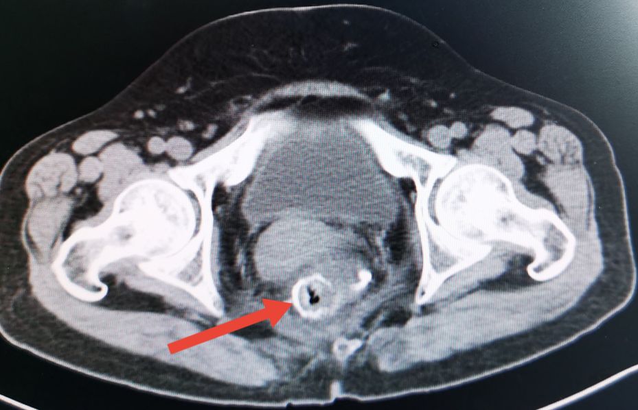
直肠癌术后吻合口狭窄的CT表现
那么直肠癌术后怎么呵护吻合口呢,家人怎么做直肠指诊呢?
1.中低位直肠癌术后一个月内的吻合口检查,最好是找给您手术的医生亲自帮您检查,外地病人不方便的话可以找当地医院普外科医生检查为好,因为一个月内吻合口刚刚愈合,手法需要精准和轻柔,不能使用蛮力。
2.超过一个月以后,可以让家人来放心的做直肠指诊检查,这时候吻合口已完全愈合,直白点说就是吻合口长结实了,只要检查时稍微注意点都不会伤着吻合口或者引起并发症。
3.直肠指诊检查时,病人可取截石位、左侧卧位、膝胸位或蹲位,其中最常用的是左侧卧位及膝胸位,检查时候简单易行,方便检查。

左侧卧位
4.检查前准备乳胶手套或指套,润滑剂最好是医用液体石蜡油,没有的话碘伏、凡士林、香油、开塞露及眼药膏都可以用,只要能起到润滑作用干净就行。
5.检查时可先在肛门口多涂点润滑剂,然后稍做按摩肛门区域,让肛门括约肌放松,然后用食指慢慢伸入肛门,通过肛管后就到了直肠下端,有空虚的感觉。然后用食指边前后左右检查,边继续伸入食指,其间可感知到直肠壁,然后用食指尖感触吻合口。

胸膝位直肠指诊

肛门指诊示意图
6.正常的直肠粘膜是光滑的,吻合口现在基本都是用吻合器吻合,所以触碰到吻合口边缘时一般会有扎手的感觉,因为吻合时用的吻合器的钉子未完全脱落。触摸到吻合口后,用食指尖从中央向上进一步检查,如果感觉吻合直径超过2cm,并且吻合口质地适中,应该是正常的。如果食指刚好能通过,说明已经有吻合口狭窄了,这时候最好先找医生帮忙扩一下,然后每周家人帮助扩张1-3次,每次扩张1-3分钟,循序渐进,直到扩张到大约可以通过2指,一段问题就不大了,以后排便时大便就有扩张作用。在扩张的过程中,有时会有少量出血及疼痛不适,这种情况不用紧张。这种伴有轻中度狭窄的病人,扩张到正常后仍需每个月直肠指诊检查并扩张1-2次,直到连续三个月未发现重新狭窄情况,并且排便正常成形,以后定期复查时让医生检查就行。半年后就很少会出现吻合口狭窄了。
7.对于食指不能通过吻合口,且排便困难的重度狭窄的病人,一定要及时看医生,让医生根据具体情况帮助解决。如果医生用手指都无法扩张,有时可能需要住院肠镜下或肛门镜下扩张治疗,甚至有部分病人需要手术治疗,有的需要切开部分吻合口然后手指扩张,有的则需要完全切除狭窄环,重新吻合手术治疗。
可见,肛门指诊检查对于发现及治疗中低位直肠癌术后的吻合口狭窄具有非常重要的意义,在家人的帮助呵护下可以治疗轻中度吻合口狭窄,并且能够及时发现诸如肿瘤复发等情况,使病人能够得到及时治疗。另外家人之间或夫妻之间相互检查,还能及时发现早期直肠癌及息肉等病变,对预防直肠癌也有重要的意义。