在广东三九脑科医院神经外六科诊室里,这个来复诊的女孩叫佳佳,22岁,是广州某大学在读学生。现在的她能与医生对答如流,精神状态也好,但她因为患上烟雾病第一次来就医时,反应迟钝、说话前言不搭后语。去年,佳佳先后接受了两次“搭桥”手术,这次复查结果提示她恢复得很好。
突然“精神病”,真凶是……
佳佳还清楚地记得,2018年11月的一天,她整个人好像突然就得了“精神病”,“当时我听不懂别人说话,也没有办法用语言表达自己的思想。”到学校附近医院治疗后,症状不但没有好转,而且还出现了右侧肢体无力的情况。“我们以为孩子是读书读傻了,脑子出问题了。”佳佳妈妈梁女士回忆道。
突如其来的病情让佳佳一家都有点措手不及。后来佳佳在广州某三甲医院神经内科诊断为烟雾病,左侧额顶叶、基底节区多发脑梗死。
烟雾病,就其名字来看,如烟似雾,容易让人将其与环境中的雾霾、烟雾联系在一起。但医生告知佳佳及家人,烟雾病与雾霾、外界环境无关,而是大脑中的“烟雾”。烟雾病属于脑血管病的一种。大脑内的血管就像树的枝杈,主干的血液通过分支达到大脑的各个地方,但烟雾病患者的主干是堵塞的,主干堵塞后,长出无数根毛细血管来替代,从血管造影上来看,这些毛细血管如同烟囱里冒出的袅袅炊烟,因此被形象的称为“烟雾病”。
佳佳在该院神经内科接受了半年保守治疗后,症状有所缓解,但病情反复,对佳佳正常的学习生活造成了严重影响。
去年3月,梁女士带着佳佳找到广东三九脑科医院神经外六科主任吴杰。那时,佳佳给人的感觉有点呆,反应比较迟钝,整个人也有气无力的。
为脑血管“搭桥”,恢复脑供血


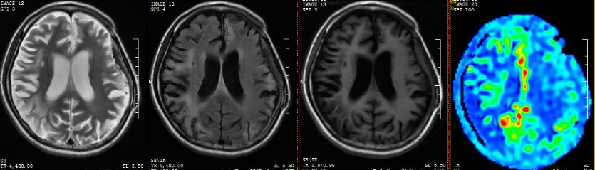
▲术前
我院ASL序列提示:双侧额颞岛顶枕叶多发片状低灌注区,以额颞顶叶低灌注较明显;DSA提示:烟雾病,双侧颈内动脉末端闭塞,颅底可见烟雾样血管生成并向远端代偿,可见右侧颈外动脉系统对颈内系统部分代偿。
吴杰认为符合烟雾病的诊断。鉴于佳佳已经接受了保守治疗效果不佳,想要更彻底地改善症状,建议其实施手术,为脑血管“搭桥”,恢复脑供血。


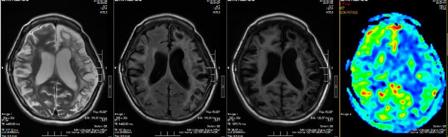
▲左侧脑血管重建术后3个月复查
仔细考虑之后,佳佳决定先接受左侧脑血管重建术(脑-硬脑膜-动脉-颞肌血管融合术)。术后回家休养了3个月后,佳佳遵医嘱到院复查。复查ASL序列提示右侧大脑半球、左侧额顶叶仍示多发片状低灌注区,左侧额颞岛叶灌注较前增高、明显代偿;DSA提示右侧颈外动脉向颅内无代偿,左侧颈外动脉向颅内代偿明显,颅内供血增加。
看见手术效果明显,佳佳决定接受进一步手术,重建右侧脑血管。2019年6月底,佳佳接受了右侧脑血管重建术(脑-硬脑膜-动脉-颞肌血管融合术)。术后,佳佳恢复良好,很快就出院了。


▲双侧脑血管重建术后一年复查
这次到医院复查,佳佳的精神状态非常好,让人很难把眼前这个开朗明媚的女孩与一年前那个病态十足的患者联想起来。复查影像提示:双侧脑血管重建术后,双侧颞浅动脉脑膜副动脉经软膜向颅内动脉吻合代偿。这下,佳佳一家总算是可以放心了。
警惕大脑中的“烟雾”
烟雾病是一种病因不明的双侧颈内动脉末端慢性进行性狭窄继发颅底代偿异常血管网形成的疾病。烟雾病患者可反复发生脑出血、脑梗死,从而出现一系列脑功能缺失的症状。烟雾病会使脑细胞受损,严重者还会导致智力下降,丧失工作及生活能力。吴杰提醒,尽管烟雾病的发生概率在脑血管疾病里比较低,但如果长期得不到有效的诊断与治疗,会对患者的生活质量及心理健康造成大的影响。
成人烟雾病以脑出血及脑缺血为临床表现。吴杰介绍,有学者指出,对于缺血型烟雾病,联合血管重建术能有效减少缺血性脑卒中发生率。目前手术治疗是较为有效的手段。缺血性烟雾病通过间接血管重建可达到满意治疗效果。