身体不适,憔悴不堪,原因何在?
李大姐的身体状况近年来一直不太好,但也没有太过在意。然而,最近几个月似乎有每况愈下之感,老觉得身体不妥,时常疲惫发热,面色也失去了自然的红润,姣好的容颜逐渐憔悴。终于顶不住了,只得去医院检查!
经过体检、化验和超声检查,医生的结论出来了——脾功能亢进,简称“脾亢”!

贫血到需要输血,谁也不想的
诊断脾亢的依据是什么?
化验结果显示:李大姐不但有贫血,还有白细胞减少,血小板计数也很低;体检和超声检查发现:李大姐有一个超出正常许多倍的巨大脾脏!
医生根据李大姐脾脏增大,同时又伴有血中红细胞、白细胞、血小板减少,即有所谓的“全血细胞减少”或“血细胞三系降低”,基本上就认定了“脾亢”的诊断。再结合她有肝炎、肝硬化的病史,又排除了其它引起脾肿大和血细胞减少的疾病,脾亢诊断也就确立了!

血细胞三系,各有功效,少了可不行
脾亢到底是一种什么病?
脾亢其实并非特定的疾病,而是一种相对常见的病理状态,可由多种不同的疾病引起,从体征和影像学表现来看,则表现为脾脏的体积增大,甚至形成“巨脾”。

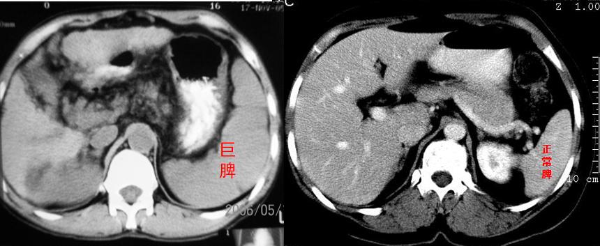
巨脾与正常脾的CT对照
脾脏是人体内的一个器官,与中医所说的“心肝脾肺肾”中的脾并不等同。脾脏的主要功能是清除血液中“老弱病残”的红细胞、白细胞和血小板,维持血液成分的正常稳定。然而,脾脏增大后,清除上述细胞的能力也就“水涨船高”,功能过于强大,就是所谓的“功能亢进”了。
脾亢的危害在于“扩大了打击面”,把很大一部分“年青力壮”的红细胞、白细胞和血小板清除了——所以才会血细胞减少。白细胞减少,就容易发生感染,而血小板减少则容易自发出血,红细胞减少以及长期少量出血当然会造成贫血。
有哪些病会引起脾大、脾亢呢?
引起脾大、脾功能亢进的原因很多,可由脾脏自身疾病、肝胆系统疾病引起,也可由全身性疾病类引起。
肝炎后肝硬化是我国民众脾亢的最常见原因之一,其它的病因有慢性感染如疟疾、血吸虫病,肝炎病毒感染、结核等细菌感染、立克次体感染,类风湿性关节炎、系统性红斑狼疮、嗜酸性颗粒细胞增多症、脾淀粉样变性、特发性血小板减少性紫癜、真性红细胞增多症、地中海地贫血,充血性心力衰竭,恶性淋巴瘤及急慢性淋巴细胞性白血病等,均可引起继发性的脾大、脾功能亢进。

肝硬化患者CT图像,可见脾脏明显增大
还有少数病例,一直查不出明确病因,就被称为“原发性”脾功能亢进。
有了脾亢后怎么办?
缺什么、补什么,如输全血、输红细胞、输血小板,可以填补被过多消除的“窟窿”;还有容易想到的办法是用药物,如用“升白药”升高白细胞数量,或用止血药来止血。
但上述“治标”手段,只象在填“无底洞”,补的还没有被破坏的多,补多少、补到何时才到头?因此,积极处理脾功能亢进才是一个治本的方法。
以往处理脾大、脾亢,是用外科手术将整个脾脏切掉。但这种“大刀阔斧”的办法,无疑有很大的创伤,而且把脾的正常功能完全抛弃了!想想看,没有了脾脏,那些“老弱病残”的血细胞无法清除,血管中犹如多了许多垃圾,会诱发血栓等诸多问题。

开刀切下的巨大脾脏(网络图片)
有没有更好的办法呢?
答案是:当然有!
告诉你吧!这种好办法就是介入疗法——部分性脾栓塞术(PSE),采用PSE处理脾功能亢进,创伤轻微,效果良好,值得推广应用。
所谓部分性栓塞,是指只栓塞显得多余的那部分(通常是60~80%),而用来维持正常功能的那部分则需要留下。

部分性脾栓塞术,A栓塞前造影,B栓塞后造影
PSE只需要局部麻醉皮肤,用不到2毫米的针穿刺股动脉,将导管在电视透视的监视下选择性插入脾动脉,造影确定情况后,选用合适的栓塞剂经导管注入脾脏下极及外周的脾动脉分支内,将其栓塞就算完成了。被栓塞的那部分脾组织,将会因缺血而发生梗死,最后可被吸收消失,它那强烈的吞噬血细胞的功能也就随之而灭失,治疗作用也就实现了。

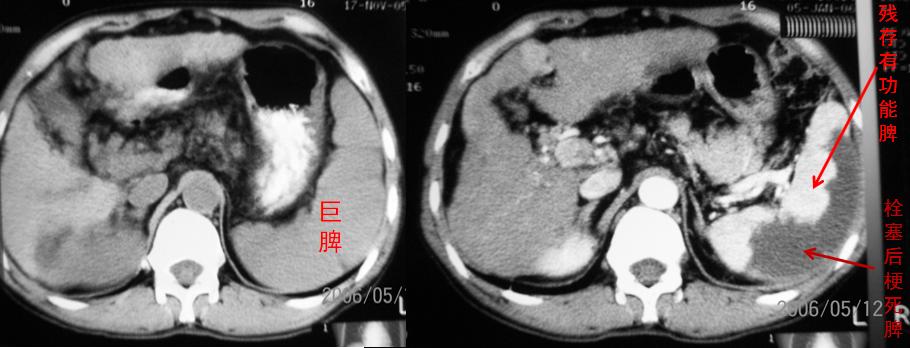
巨脾栓塞前后CT对照,右图栓塞后部分脾梗死而失去功能
值得注意的是,部分患者的脾脏实在太大,可采取分次栓塞的办法,防止过于强烈的栓塞后反应。尽管PSE是微创操作,术前术后当然也需要关注一些细节,不过,那是医护人员的事,普通公众只需做到遵医嘱就可以了。
前面说到的李大姐,接受医生建议,做了PSE介入一周后,血细胞指标就恢复到正常范围,原有症状也消失了,一家人都很感到非常高兴!