
神经介入在线原创文章,如需转载请留言

作者:姚丽娜,宋立刚,马宁
单位:首都医科大学附属北京天坛医院
本
周我们汇报一例右颈动脉颅内段重度狭窄血管内介入治疗过程,具体如下。

病例详情
患者,女性,62岁,主因“言语不利伴左肢无力1月余”入院治疗。
患者1月余前(2018-5-18)被家人发现言语不利,伴左肢无力,反应减慢。发病5天后就诊于当地医院。
头颅核磁:右前分水岭脑梗死(图1)。

图1
头颅MRA:右颈内动脉颅内段狭窄(图2)。

图2
DSA(2018-6-1):右颈内动脉C7段重度狭窄,右颈内动脉系孤立颈动脉系统,右大脑前动脉A1段发育不良或者缺如。前交通动脉开放,见右大脑前动脉经软脑膜动脉向右大脑中动脉供血区域代偿。未见明显后循环参与代偿(图3-5)。

图3

图4

图5
患者经内科药物治疗,症状仍有反复。为进一步治疗,就诊于我院。
既往史:高血压病10余年;2型糖尿病10余年。
神经系统查体:NS(-)。
化验检查:血糖:7.69mmol/L,糖化血红蛋白:10.1%。血栓弹力图:AA 100%,ADP 26.2%。
入院后给予双联抗血小板(拜阿司匹林肠溶片100mg 1/日+氯吡格雷75mg 1/日)、降脂(阿托伐他汀钙片20mg 1/日),控制血压及降糖治疗。
术前讨论
1.患者右颈内动脉C7段重度狭窄,为本次发病责任血管,经内科药物治疗仍有症状反复,血管造影显示侧支代偿较差,考虑予以血管内介入治疗。
2.治疗策略:右颈内动脉C7狭窄段目测病变较长(约10mm),且考虑到狭窄段有脉络膜前动脉发出,为避免脉络膜前动脉的闭塞,拟采用长度为15mm稍小直径球囊预扩张,再置入自膨式支架。
3.相关风险:脉络膜前动脉闭塞;高灌注综合征;急性亚急性血栓形成;动脉夹层等风险。
治疗过程简述
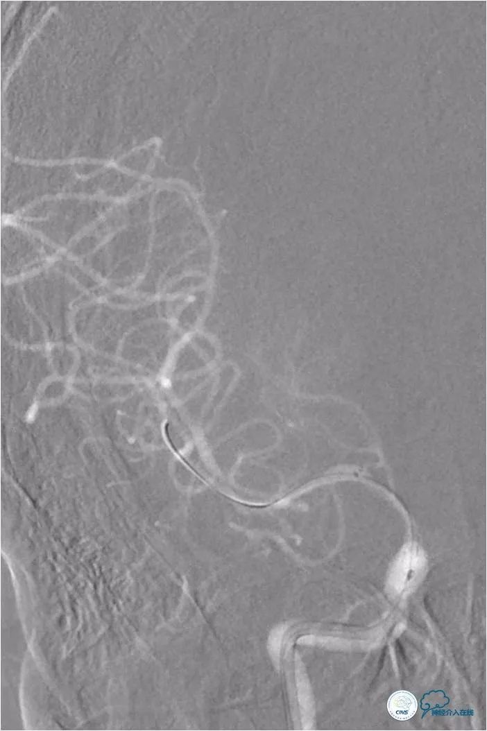
全麻下右股动脉入路,将6F导引导管放至右颈内动脉C1段远端,造影示右颈内动脉C7段重度狭窄(图6)。

图6
路径图下将Transend微导丝(0.014″,300cm)至右大脑中动脉M3段,沿微导丝送入Gateway球囊(2.0mm×15mm)于狭窄处扩张(图7)。

图7
撤出球囊导管,后沿微导丝送入Wingspan自膨式支架(3.0mm×15mm),期间将导引导管送至右颈内动脉C3段,以增加系统支撑力(图8)。

图8
支架释放后造影提示支架贴壁良好,前向血流TICI 3级,脉络膜前动脉未受影响(图9)。

图9
术后查体同前,术后立即复查头CT未见出血。
术后复查头颅CTA:右颈内动脉C7段支架通畅(图10)。

图10
CTP:未见明显灌注异常(图11)。

图11
讨论
本例风险在于狭窄毗邻脉络膜前动脉,与既往周记报道病例类似,在实施边支保护技术困难的情况,采用稍小直径球囊扩张后放置自膨支架,以避免损伤重要边支血管。此外患者右颈内动脉系孤立颈动脉系统,避免大直径球囊扩张,以减少术后高灌注发生的几率。
欢迎大家在下方留言区讨论关于本病例的看法~
