
烧哥老牙医,聊聊口腔问题~倒数第一颗大牙露出牙髓起炎症,到医院做完根管治疗,最后一次复诊医生告知得装牙冠,也没有打麻药,究竟做牙冠是一种怎么样的体验?
实际上做牙冠过程并不会痛,一般可分为两种情况,一种是根管治疗后填充材料再装上烤瓷牙冠,针对深龋只需单颗即可,另一种是牙齿缺失作为牙体修复,比如镶牙或者种植牙。

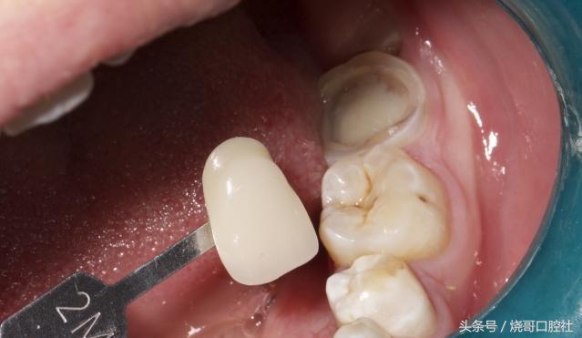
牙齿情况不同,做牙冠的方式也不同!
1、做牙冠前都会进行磨牙,只不过磨除牙釉质程度不一样,像根管治疗这种本身就得开髓,加上本身就已经深龋,相对来说磨损程度较小。
2、如果是镶牙就不同了,戴上烤瓷牙桥两边的天然牙都要被磨掉,这样烤瓷牙桥才能固定,遗憾的是磨损程度较大,可能会引起敏感现象。
3、要是种植牙的话,和根管治疗后差不多,最后一步都得装上牙冠。

牙冠怎么选好材料?
1、二氧化锆全瓷牙:
内外冠都是天然色,和真牙一模一样,虽然美观但价格上要贵些,还分为国内与进口,收费在2500左右。
2、钴铬合金烤瓷牙:
外冠是天然色,而内冠是非贵金属,在唾液环境下逐渐被氧化,有可能做完牙冠一年后金属离子沉积在牙龈边缘导致变黑,甚至还会刺激牙龈发炎,或者出现敏感现象,价格在1000左右。

二氧化锆全瓷牙、氧化铝全瓷牙、铸瓷牙哪种好?
强度上:二氧化锆全瓷牙>氧化铝全瓷牙>铸瓷牙
美观上:铸瓷牙>氧化铝全瓷牙>二氧化锆全瓷牙
前牙以美观为主,铸瓷牙最为合适,价格上也不算太贵,而后牙咀嚼功能较强,要求有很强的抗压能力,可以考虑二氧化锆全瓷牙,如果你对烤瓷牙冠有什么疑问,欢迎关注【烧哥口腔社】,你可以在评论区进行留言,烧哥医生及时来回复你!
