肾结石的影像学鉴别诊断 (中医把脉诊断肾结石)

知识回顾

肾结石是由于患者代谢障碍、饮水过少等,尿液中的矿物质结晶沉积在肾盂、肾盏内。肾结石可单发或多发,大小相差悬殊,结石嵌入肾盏颈部可引起肾盏扩张积水,当嵌于肾盂输尿管连接部造成梗阻时,则产生肾盂肾盏积水,严重者肾功能受损或丧失。

肾结石的超声图像,肾结石超声诊断及鉴别 临床表现:临床表现个体差异很大,主要取决于结石的大小,引起梗阻的程度和有无继发感染。多数为腰部钝痛及阵发性绞痛,疼痛时常伴肉眼或镜下血尿,合并感染时可有尿频、尿急尿痛及脓尿等。当继发急性肾盂肾炎或肾积脓时,可有发热、畏寒、寒战等全身症状。

超声影像学表现

1. 肾内小结石:一般出现在肾乳头旁,表现为圆形或椭圆形的强回声斑点,周围有少量无回声区,后方可有淡声影,有的则不明显。CDFI 显示“闪烁”伪像,有助于小结石的识别。

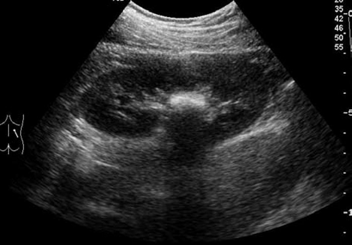
肾结石的超声图像,肾结石超声诊断及鉴别 2. 中等结石:高强团状回声一般呈新月状,后方声影明显。尿酸、胱氨酸、黄嘌呤结石较疏松,隐约可见光团全貌,后方声影浅淡。

肾结石的超声图像,肾结石超声诊断及鉴别

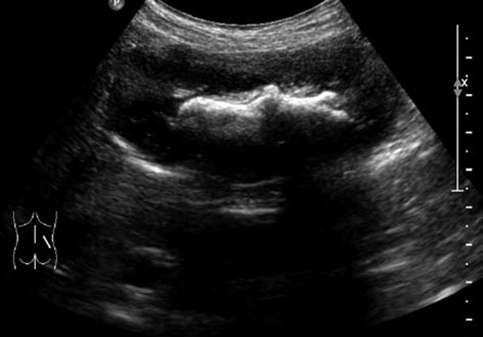
3. 鹿角状结石:大而分叉,形态不规则,超声往往仅显示局部突起的表面,呈几个孤立的强光团或弧形强回声带,像多个结石,但连续扫查可出现互相连续的一体。

肾结石的超声图像,肾结石超声诊断及鉴别 4. 肾结石合并积水:近端扩张积水,如肾盏颈部梗阻引起肾盏扩张,肾盂输尿管连接部梗阻则表现肾盂,甚至肾盏扩张积水。如发现有随体位改变移动的小结石,提示下方多有结石嵌顿,应追踪扫查,明确引起梗阻的原因。

鉴别诊断

1. 特发性肾结石

(1)甲状旁腺机能亢进、肾小管性酸中毒和慢性肾盂肾炎:患者血液中钙浓度升高,大量的钙在肾髓质内沉着,称为肾钙质沉淀症。声像图上为各锥体均完整显示,呈界限清楚的强回声,但声影不明显,易于鉴别。

(2)海绵肾:肾皮质正常,髓质内集合管呈囊性扩张,也称肾髓质囊肿。该囊肿内易于钙质沉淀形成小结石,后方声影不明显,在肾锥体的乳头部呈放射状排列,为明显特征。

(3)痛风肾:痛风是长期嘌呤代谢障碍、血尿酸增高引起组织损伤的一组异质性疾病,这些尿酸盐沉积于肾脏形成肾结石。该结石为多发,早期结石较小,分布在肾乳头部,后方无声影。后期则肾脏缩小,表现凸凹不平,肾实质变薄,声像图上整个肾锥体见强回声团,呈放射状排列,后无声影。

2. 肾内钙化灶:肾内钙化灶似结石回声,与肾结石的区别主要为部位不同,位于肾皮质或肾包膜下的强回声多为钙化灶;结石则位于肾窦回声区内或肾窦边缘,容易区别。

3. 肾窦灶性纤维化:肾窦灶性纤维化可呈点状强回声,肾内直径< 3 mm 的结石多无声影,两者不易区别。若改变角度扫查,肾窦灶性纤维化呈短线状回声或不能显示,而肾内小结石回声特点及位置固定不变。

典型病例

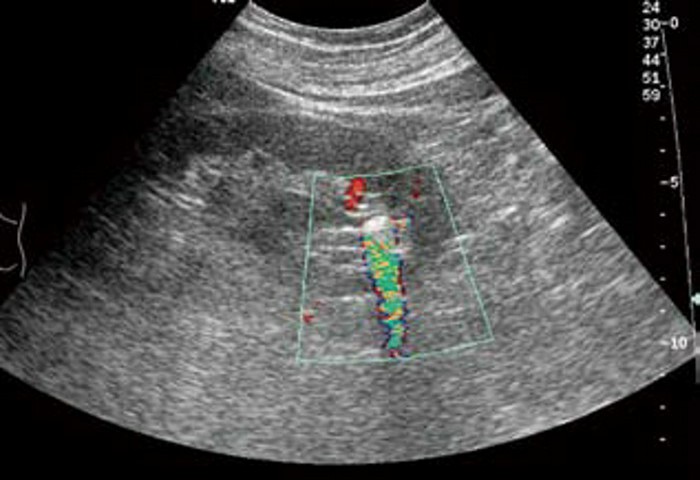
患者,男,12岁,因运动后多次突发腹痛,腹痛不能缓解并伴有恶心,面色苍白来院就诊,尿常规检查可见红细胞。超声检查显示:双肾大小形态大致正常,轮廓清,包膜光滑,实质回声尚均,呈低回声。右肾未见明显分离,左肾集合系统分离约1.1cm,左肾内可见0.9cm×0.7cm强回声,后方有声影。

超声提示:左肾集合系统分离,左肾结石。

更多精彩!请关注微信公众号“超声掌中宝”