今天请到我们仨共同的好友杜杜堂,主编,育有一个可爱的女儿,平时特别能捣腾,心灵手巧,对女儿也是特别用心,今天看看杜妈说说关于幼儿牙齿那些事儿。
对于宝宝牙齿涂氟这件事我一直有着计划,只待她乳牙长齐,能很好配合医生的时候进行。今天早早起来,便带她去南昌瑞尔口腔涂氟。话说这是她第一次面见牙医,医生超级温柔有耐心,整个过程没有哭闹,十分配合。


先简单分享一下之前3年是如何给她护理牙齿的,纯属个人经验,仅供各位看官参考。
0-3个月,由于母乳不足,混合奶粉喂养,每次喝完奶均会喂一点白开水清理口腔,到4-6个月便会早晚会用纱布清理口腔和舌苔。
很多人会认为乳牙没长出,漱口没必要,其实清理口腔的动作我认为十分关键,它的目的并不是为了把口腔清理的多干净,它最重要的目的是让宝宝习惯漱口这一行为。
萌出第一颗乳牙后6-12个月,用硅胶手指牙刷刷牙,一定坚持,渐渐地也宝宝就会很接受刷牙不会反抗。1岁后便搭配无氟牙膏,家长亲自完成。自认为在上小学前,宝宝完全不可能依靠自己刷干净,所以孩子刷完后家长要再帮忙一下,过程中教她如何吐水,方便过度含氟牙膏时能顺畅吐水。

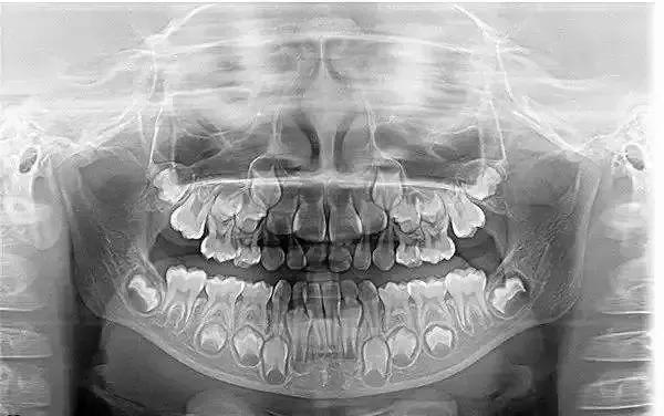
继续说回这次涂氟,当牙医看到宝宝的牙齿时,说宝宝的牙齿护理的相当好!想想就有点小得意,毕竟这3年的小心思没白费。可也有人会说,“宝宝乳牙会换,现在不用那么折腾”。那真是无知者无畏,先看这张图吧!

宝宝还未萌出的恒牙就在乳牙牙根下,可想而知龋齿严重时,恒牙在萌出时很容易龋齿。乳牙虽可换,可恒牙不行。
龋齿的预防比治疗重要,毕竟到了拔牙种牙阶段,那将是心理和金钱的双重煎熬,这也就是为什么3岁给宝宝涂氟的原因。
氟有什么作用?
1、抑制细菌生长:它能抑制口腔中细菌的生长,同时阻止细菌对齿缝中的残余食物进行发酵。
2、增强牙齿抵抗力:氟与牙釉面中的一种物质(羟基磷灰石)结合,可以增强牙釉质表面对酸的抵抗力。
3、让牙齿坚固缓解蛀牙:氟能促使牙齿坚硬,医学上叫“矿化”,如果小宝宝的乳牙早起有点蛀牙,处理后涂氟能让牙齿再次变硬,控制进一步蛀牙恶化。
4、减少过敏情况发生:牙齿经过涂氟后,可防止牙本质对酸、冷、热等过敏。
记住,涂氟并不能完全防止蛀牙
它能更好地起到预防作用,据一项 meta 分析,使用氟漆比不用可以减少 46% 的恒牙龋坏和 33% 的乳牙龋坏的风险。
它能在一定时间内提高牙齿抗蛀牙的能力,但日常依然要刷牙!涂氟在国外已成为一种常规的儿童牙齿保健的方法。
听闻氟有毒?可为什么还能用?
很多人闻氟色变,说氟有毒。没错,氟真的有毒,但是和剂量相关!这就和碘盐一样,碘摄入过多才会形成碘中毒。
氟是人体所需的微量元素之一,它摄入微量时,能促进牙齿和骨骼的正常生长发育,缺氟可引起龋齿。
据专家统计,一个20公斤重的小孩,每天摄入100毫克以下氟都是安全的。100毫克氟有多少?相当于一天吃掉三管含氟牙膏!!!

以这次在瑞尔口腔使用的高露洁多乐氟为例,全口乳牙仅使用0.25ml多乐氟涂在牙齿上,所以,儿童涂氟还是很安全的。
涂氟几岁开始?
其实长出第一颗乳牙就可以了,但由于宝宝太小不好掌控剂量以及宝宝不易配合,尽量在宝宝能配合以及乳牙萌出完全时。
涂氟禁忌
1、不配合的宝宝

2、有过敏史的宝宝(最好提前告知,我宝宝也是过敏体,没出现过敏反应)
涂氟前的准备
1.心理建设很关键
如准备看牙医需提前一天告知宝宝,利用故事演示一次,可以消除未知感、紧张感。当然,看这事可从小灌输,推荐宝妈们选购绘本时,买一些关于看医生的绘本,比如小猪佩奇的《看牙医》。当天带绘本和喜欢的娃娃,降低害怕对感觉。
睡前故事 | Vol.341 小猪佩奇看牙医小鹿姐姐 - 晚安故事盒子


2.吃饱喝足
涂氟后1小时左右不能喝水和进食,所以提前吃饱喝足,涂氟后,食物选择软一点的,我带她去吃了一碗馄炖。

3.选择专科医院,提前半小时到达
很好理解,毕竟医院在小孩的心理还是有点负担,早早到达先熟悉一下环境。我这次选择瑞尔口腔主要是在公立医院排队排怕了,毕竟不是看病主要偏向护理和治疗类,专科医院都能满足。最重要的是环境和服务,装饰也比较暖色调,小孩子更容易接受。

涂氟的过程和设备
这椅子是粉色的,女孩子还比较喜欢,躺在上面比较放松。牙医准备好涂氟剂、小棉棒、 口镜、打磨等器械就要开始了。

01清洁牙面
主要用那种类似于抛光的东西,清理牙齿表面软垢和牙菌斑。
我开始还挺担心会痛,可看宝宝好像一点不适感也无,做到后面我手放开了也不知道,估计心里觉得还挺神奇的

02清洗及吹干牙面
用个能喷小水柱的器械先把牙齿洗一洗,然后再让宝宝吐掉,这个时候真是发现宝宝必须配合牙医所有的操作牙,不然涂氟这件事就是个笑话。清洗干净后,就要用个吹风的小管子把牙面吹干,然后再用小棉球放在额部以防口水沁湿牙齿。


03开始涂氟
牙医会用个小棉棒蘸取涂氟剂把小宝宝的每一个牙齿,从里到外全部覆盖,整个过程不需要很久,但需要宝宝一直张开嘴巴。涂了氟后的牙齿会略微有一点点微黄,但后期会变回白色。 期间牙医会不断用小棉球吸掉宝宝口中的口水,然后涂完会需要再晾干1分钟,起到固化的作用。

最后,涂氟就这样愉快的结束了,整个过程不到半个小时吧,宝宝也无任何不适。
涂氟后是不是就一劳永逸不用再管了?
那就是太傻太天真咯,毕竟这东西会随着进食喝水刷牙慢慢磨损,我得再一次强调涂氟并不是不会蛀牙,只不过是用于预防,平常还是要刷牙的。
关于宝宝牙齿涂氟后,差不多要半年到1年检查一次,及时发现牙齿的问题。另外我计划在宝宝萌出六龄齿的时候去做窝沟封闭预防,好歹宝宝她娘我到30了还是没蛀牙没牙结石的人呢。
另外我以后会陆续分享宝宝的护牙过程,大家有什么问题也可以评论里提出,我会及时答复的。
