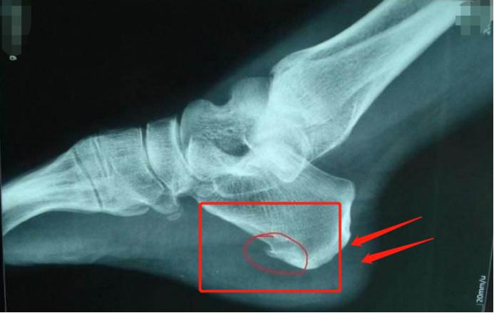
各位朋友可以先看一张图:

(可见红圈位置的骨头明显多了一根“小刺”)
这是一张典型的脚后跟骨赘图片,也就是许多老百姓说的“骨刺”、“骨质增生”。
此前有患者问:
“自己的脚后跟,一走路就痛是怎么回事?”
“站久了,或者有时早上起床,刚下地时,左脚后跟就会特别疼,但一会又好像自己好了?”
像图片这种骨赘,就是许多人脚后跟痛的重要原因。
实际上,脚后跟痛属于一种症状,导致这种症状的原因还有很多,骨赘也只是其中一种。
这次文章,我就和各位朋友说说脚后跟痛的常见因素,以及缓解方法。

为什么会出现「脚后跟痛」?
一般来说,长时间行走/站立都可能诱发脚后跟疼痛,这种疼痛多能自行缓解。对于一些其它身体问题引发的脚后跟痛,可能就需要额外处理了。
1. 骨赘(俗称:骨质增生/骨刺)
骨赘是人体骨骼老化带来的一种现象,常见于45岁以上的中老年人。
并非所有的骨赘都会带来疼痛,只有骨赘刺激到周围神经或者软组织的时候,才会引发对应位置的疼痛。(文章后面,我会给大家介绍一下骨赘的调理方法。)
2. 骨折
骨折是脚后跟痛的重要原因之一。如果各位朋友有从高处挑落/坠落,并在此后出现脚后跟痛、足部肿胀等表现时,就要警惕骨折的可能,应就诊检查。
3. 炎症
实际上,大多数的脚后跟痛都和炎症有关,比如跟腱炎、筋膜炎等等,其中又以足底部的筋膜炎最为常见,不少来门诊的患者,都是查出足底部筋膜炎。
怎么判断?如果你站久了,或者有时早上起床,刚下地时/刚行走时出现的脚后跟痛;稍作休息后,就能缓解,但随着活动强度的增加,又出现疼痛。这些都是足底部筋膜炎的特点。

「脚后跟痛」的缓解方法
在这里,我给大家几个简单的建议:
1. 有骨赘的情况
最重要的就是保证饮食健康均衡,控制体重,别乱吃各种乱七八糟的保健品。饮食均衡,保证摄入充足的新鲜蔬果和含钙食物,能帮助身体补充对抗炎性因子的维生素,以及促进骨骼健康的钙质。
2. 减少负重运动,多注意休息
脚后跟痛的人,千万不要想着锻炼来“治痛”。这是得不偿失的。
建议各位朋友应多作休息(每行走60分钟应休息10分钟左右),疼痛期尤其要避免爬山、暴走、长跑、踩鹅卵路等运动。
3. 合理用药
如果脚后跟疼痛剧烈,可考虑在医师/药师指导下服用布洛芬(Ibuprofen)等止痛药,服药前要注意有无禁忌症。
4. 适度冰敷
上面说过许多朋友的脚后跟痛和炎症有关,适度冰敷疼痛部位,有助于缓解炎症带来的疼痛。
如果你家中没有冰袋,也可以将矿泉水等放入冰箱冰冻后,置于痛处冰敷。
注意,冰敷频率以每天两次,每次不超过15分钟为宜,温度不宜太低(可垫层衣服等来控制温度),以免冻伤。

图片演示,非实际使用图片
5. 不穿硬底鞋,换一双舒适的鞋子
很多人的脚部不适,换双舒适的鞋子就能见到效果。很多老年人爱穿的薄底布鞋,以及木质鞋子等,我都不建议穿。
合适的鞋子应该是合脚透气、带有缓冲垫的。
6. 做牵拉训练
我给各位朋友推荐一个简单可行的牵拉训练方法:毛巾牵拉训练。
方法如下:
坐在床上,伸直腿,拿一条干净舒适的毛巾环绕患侧足底,双手握住毛巾对脚踝进行往身体方向的牵拉。
示意图↓

7. 必要时寻求骨科医生的帮助
并非所有脚后跟痛都能自行处理,如果你的脚部出现肿胀,剧烈的疼痛(导致行走困难),此前有摔伤经历等,都应及时前往正规医院的骨科就诊。
我是金勋杰医生,后续我会给大家写一些骨科疾病康复、药物使用、中医药保健相关的内容,欢迎大家关注我或者留言。
