肿瘤细胞的出现到肿瘤的形成,一般需要十几年。在这期间,是我们的免疫系统,这世界上最好的“医生”,一直在和癌细胞周旋,它们会密切监视异常细胞,并将其消灭。但当免疫系统针对癌细胞的免疫应答强度不足或癌细胞逃避免疫监测又或者癌细胞群建立针对免疫系统的防御网时,癌症就会形成!
放眼全球,激活患者自身免疫系统的癌症免疫疗法一直被认为是“治愈”癌症的新希望。今年的诺贝尔医学奖也由免疫疗法摘得桂冠,以表彰其开启了CTLA-4和PD-1免疫检查点*制剂抑**在人类肿瘤的成功应用。多个重磅研究结果显示肿瘤免疫治疗可以显著提高肿瘤患者的生存期,让癌症治疗“变了天”,有望让不治之症转变为和糖尿病、高血压一样的慢性病。如果人类的免疫系统是强大的赛车,那么可以说科学家在过去几年中已经获得了前所未有的控制,如何加速,什么导致它减慢或停止。 这种深入研究产生了新的免疫治疗药物,为某些晚期癌症患者带来了显着的益处。
2018年是癌症治疗最激动人心的一年,除了大名鼎鼎的PD-1,还有哪些免疫治疗取得了新突破,我们一起来盘点一下。
新一代单克隆抗体
单克隆抗体(mAb)已经成为许多癌症治疗的重要部分。研究人员设计出特异性靶向癌细胞上某种抗原的抗体,然后,在实验室中制作该抗体的许多拷贝。这些被称为单克隆抗体(mAb)。
到目前为止,mAbs已被证明比其他癌症对某些癌症更有用。单克隆抗体分为裸单克隆抗体,共轭单克隆抗体和双特异性单克隆抗体,这三种抗体的区别说的直白点,就在于单独起作用,与化疗药物或放射性粒子结合起作用,和由2种不同单克隆抗体组成起作用。
在过去几十年中,美国食品和药物管理局(FDA)已经批准了十几种mAb来治疗各种癌症。
例如:
- 曲妥珠单抗(Herceptin )是针对HER2蛋白的抗体。现已证实,乳腺癌和胃癌细胞的表面有时会含有大量HER2蛋白。当HER2被激活时,癌细胞加速生长。曲妥单抗结合这些蛋白质并抑制他们的活性。
- Brentuximab vedotin(Adcetris ),一种靶向CD30抗原(在淋巴细胞上发现)的抗体,其连接于称为MMAE的化学药物。该药用于治疗霍奇金淋巴瘤和间变性大细胞淋巴瘤。
- ADO -曲妥珠单抗emtansine(Kadcyla ®,也称为TDM-1) ,靶向HER2蛋白,是附着到称为DM1一个化疗药物的抗体。它用于治疗癌细胞 HER2过表达的乳腺癌患者。一项临床试验表明,与Herceptin(trastuzumab,曲妥珠单抗)相比,Kadcyla(trastuzumab emtansine)单药作为辅助(术后)治疗,能显著降低HER2阳性早期乳腺癌患者的疾病复发或死亡风险(无侵袭性疾病生存期,iDFS),这些患者在新辅助(术前)治疗后仍存在残留病灶(乳房和/或腋窝淋巴结中有病理性侵袭性残留病灶)。
- 与化疗药物相比,单克隆抗体具有较少的严重副作用。但仍然需要注意,有时副作用主要取决于它们附着于哪种物质。
- 比如:
- 贝伐单抗(Avastin )是一种靶向影响肿瘤血管生长的称为VEGF的蛋白质的mAb 。可引起高血压,出血,伤口愈合不良,血块和肾脏损伤等副作用。
- 西妥昔单抗(Erbitux )是一种靶向称为EGFR的细胞蛋白的抗体,其在正常皮肤细胞(以及某些类型的癌细胞)上发现。这种药可以在一些人身上造成严重的皮疹。
免疫检查点*制剂抑**的最新研究进展
如免疫检查点*制剂抑**治疗癌症所述,免疫系统具有检查点蛋白(如PD-1和CTLA-4),是一种重要的免疫抑制分子。当开关打开,就会启动一系列反应,抑制T细胞活性。癌细胞有时利用与这些检查点结合,就如同给T细胞使用了障眼法,对肿瘤细胞视而不见,使其逃避了免疫系统的监视及*伤杀**,继续逍遥法外。
近年来,针对这些检查点研发的*制剂抑**迅速成为某些癌症(包括黑色素瘤和非小细胞肺癌)治疗的重要组成部分。如在黑色素瘤患者的临床试验中,50%的患者在12个月内死亡,使用PD-1和CTLA-4的的患者70%能存活3年以上,但是这些疗法也有一定的副作用,需要临床医生密切监监控。
与传统疗法相比,检查点*制剂抑**最大的优势之一,就是疗效具有持久性。比如,在黑色素瘤里,欧美20%左右的晚期患者能实现临床治愈,成为“超级幸存者”,比如美国前总统卡特,这是免疫疗法带来的生命奇迹。
通过刺激我们免疫系统的能力去抗击癌症,为癌症疗法树立了全新的原理,可以说是人类在与癌症斗争过程中的一个里程碑!全球肿瘤专家对免疫治疗感到无比兴奋,有几个最大的原因:
1:与靶向药不同,它有不区分肿瘤来源的更广谱的抗癌效果(O药已经在全球获批治疗9个癌种,k药获批9个癌种,过继性细胞免疫治疗在临床研究中也显示出对多种实体瘤有效)。
2:它的原理是激活我们自身的免疫系统击败癌症,因此比化学药物的整体副作用要小得多。
3:它如果起效,可能让晚期患者长期存活,甚至临床治愈,这是免疫治疗区别于其它所有药物最大的不同。
截止目前,已有6种PD-1*制剂抑**在欧美几十个国家上市,包括3种PD-1抗体和3种PD-L1抗体。分别是:
Nivolumab(商品名Opdivo,简称O药);
Pembrolizumab(商品名Keytruda,简称K药);
Cemiplimab-rwlc(Libtayo);
Atezolizumab(商品名Tecentriq,简称T药);
Avelumab(商品名Bavencio,简称B药);
Durvalumab(商品名Imfinzi,简称I药)。
在国内上市的分别是Opdivo和keytruda。
对于一些癌症,PD-1*制剂抑**有效率偏低,目前全球的科学家正在尝试通过联合治疗,把原来不适合PD-1*制剂抑**治疗的病人,转化为可以从中获益的人群也可以提高治疗效果。
目前,PD-1*制剂抑**主流的搭档有如下几个:
(1)联合另一个免疫治疗药物:PD-1*制剂抑**联合CTLA-4抗体,已经被批准用于恶性黑色素瘤;在肾癌、TMB高的非小细胞肺癌中三期临床试验已经成功。此外,IDO*制剂抑**、TIM-3*制剂抑**、LAG-3抗体等新型的免疫治疗新药,正在研发中。
(2)联合化疗:PD-1*制剂抑**联合化疗,已经被批准用于晚期非鳞非小细胞肺癌一线治疗;类似的方案,用于胃癌、肠癌、三阴性乳腺癌等也有不错的初步数据。
(3)联合放疗:PD-1*制剂抑**联合放疗,在肺癌、恶性黑色素瘤等肿瘤中,已有不错的数据;回顾性研究甚至提示,放疗联合PD-1*制剂抑**,可以将生存期提高数倍。
(4)联合靶向药:PD-1*制剂抑**联合抗血管生成的靶向药(贝伐、阿西替尼、乐伐替尼、卡博替尼等),已有不错的初步数据;但联合EGFR*制剂抑**(如易瑞沙、特罗凯、凯美钠、阿法替尼、泰瑞沙等),需要当心,可能发生严重的副作用。
(5)联合溶瘤病毒:PD-1*制剂抑**联合溶瘤病毒T-VEC,在恶性黑色素瘤中,有效率超70%,完全缓解率突破30%,非常有前景。在其他肿瘤中,多种溶瘤病毒正在研发中。
(6)联合个性化肿瘤疫苗:基于肿瘤基因突变所产生的新生抗原(neoantigen),可以设计和合成多肽或RNA疫苗。PD-1抗体联合这类私人订制、个性化肿瘤疫苗,已经有初步的成功经验,可以预防肿瘤复发,可以初步临床治愈晚期肿瘤。
(7)联合特异性肿瘤免疫细胞治疗:PD-1*制剂抑**联合CAR-T等新型的特异性肿瘤免疫细胞治疗,在血液肿瘤中,已有初步的、不俗的数据。
需要注意的是PD-1对于一些癌症根本没有反应,如胰腺,前列腺,卵巢癌,乳腺癌,胶质母细胞瘤,以及除了Lynch综合征患者之外的结肠癌。
新的癌症疫苗
几十年来,癌症疫苗已经成为免疫疗法的一种形式,通过刺激或恢复人体自身的免疫系统,来防止癌症发展或杀灭现有的肿瘤。癌细胞表面存在特殊的蛋白质,通过靶向这些蛋白质,免疫系统可以特异性地消除癌细胞,同时不伤害正常的细胞。然而癌细胞都已经身经百战、狡兔三窟、诡计多端了,单凭一个疫苗,要想干掉它们,谈何容易。因此,二三十年过去了,癌症疫苗还未能广泛的应用到临床中。
HPV疫苗是最知名的癌症预防性疫苗。它能够预防人乳头瘤病毒感染。已经证实,某些HPV感染与宫颈癌,阴道癌,外阴癌,阴茎癌,肛门癌,直肠癌和头颈癌有关。
至于癌症治疗性疫苗,首先获得美国食品和药物管理局批准的是Provenge(sipuleucel-T),这种疫苗第一次实现了利用患者自身的免疫系统攻击癌细胞的设想。
癌症疫苗的类型
目前正在研究许多不同类型的疫苗来治疗多种癌症。
肿瘤细胞疫苗:这些疫苗是由在手术期间从患者体内取出的实际癌细胞制成。癌细胞在实验室中被编辑,使它们更容易被免疫系统攻击,然后注射回患者体内。患者的免疫系统攻击这些细胞和身体中存在的类似细胞。通常需要根据每个癌症患者特别制作。
抗原疫苗:这些疫苗只使用一种或几种抗原而不是整个肿瘤细胞来增强免疫系统。
抗原疫苗可以特定于某种类型的癌症,但它们不是针对特定患者制造的,如自体肿瘤细胞疫苗。
树突状细胞疫苗:迄今为止,这类疫苗在治疗癌症方面取得了最大的成功。被批准用于治疗晚期前列腺癌的 Sipuleucel-T(Provenge)就属于树突细胞疫苗。
树突细胞(DC)是体内特殊的免疫细胞,有助于免疫系统识别癌细胞。他们将癌细胞分解成较小的片段(包括抗原),然后保留这些抗原,以便其他被称为T细胞的免疫细胞可以识别出他们。然后T细胞开始针对体内含有这些抗原的任何细胞发动攻击。
2018最新进展:
今年,斯坦福大学研究人员领导的两项独立研究显示,实验疫苗可能成为治疗小鼠癌症的有效方法。
该研究涉及数百只基因工程小鼠发展为淋巴瘤,黑色素瘤,结肠癌和乳腺癌的实验。研究人员发现,在其中一项实验中,用疫苗治疗的90只小鼠中,只有三只肿瘤偶尔发生复发。具体研究可点击:
震撼肿瘤界,新型“癌症疫苗”可使小鼠癌症全部消退!已进入临床试验!

古巴肺癌疫苗Vaxira是最近国内热炒的一种疫苗。Vaxira是古巴哈瓦那分子免疫中心研发的一种治疗型非小细胞肺癌(NSCLC)疫苗,该药物在古巴、秘鲁、哥伦比亚、委内瑞拉等国上市,用于晚期NSCLC经一线标准治疗至少稳定疗效后的维持治疗。而古巴研发的另一种肺癌疫苗cimavax已经获得FDA批准,在2017年初在美国进行一二期临床试验,在刚刚过去的世界肺癌大会公布了临床数据,详情可点击:重磅!全球第一款肺癌疫苗美国临床研究数据公布(2018世界肺癌大会)

五十年前,麻疹,腮腺炎和风疹疫苗的开发挽救了许多生命。我们期待,从现在起20年后,人类能够接种疫苗来预防癌症,战胜癌症,相信这一天离我们不远了!
溶瘤病毒
病毒疗法在很多年前出现时,在用活的,弱化的病毒免疫后发生自发性肿瘤缓解。已有研究使用病毒疗法治疗肺癌和黑色素瘤,2016年、美国食品和药物管理局(FDA)已批准用于黑素瘤的病毒疗法。

杜克大学Matthias Gromeier博士持有他开发的修改的脊髓灰质炎病毒样本,用于攻击胶质母细胞瘤脑肿瘤细胞
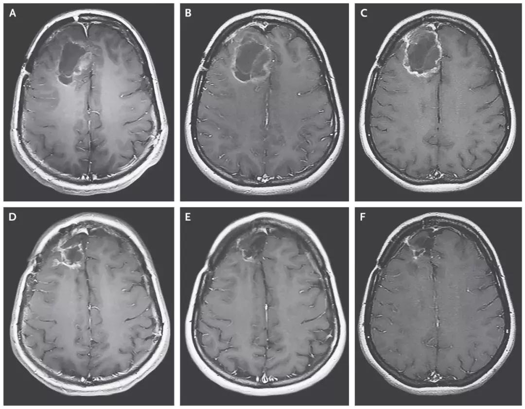
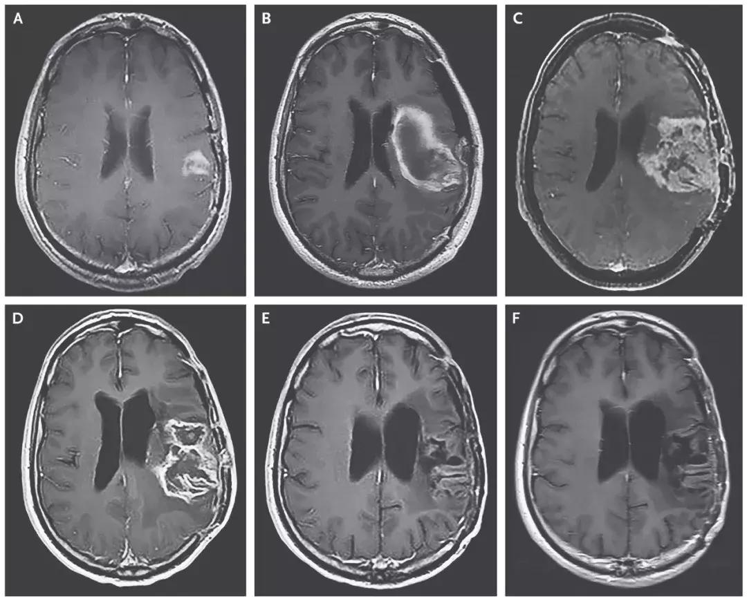
近日,美国杜克大学癌症研究所的科学家们使用脊髓灰质炎病毒(PVSRIPO),显著延长了脑胶质母细胞瘤患者的生命的重磅研究发表在顶尖医学期刊《新英格兰医学杂志》(NEJM)上的研究引起医学界广泛关注。
研究人员在一项1期临床试验中,总共招募了61名患者,并在他们的头骨上设置了导管,让病毒得以直接进入大脑,攻击肿瘤。CD155在胶质母细胞瘤中有高度表达,而这种经过处理的病毒能针对表达CD155的肿瘤细胞,选择性地入侵并进行复制,最终导致肿瘤细胞的裂解。
试验结果
- 治疗组的中位生存期是12.5个月,与11.3个月的历史数据相差无几;
- 在2年这个时间节点上,治疗组的生存率是21%,已经比历史数据(14%)高出50%;
- 在3年这个节点,治疗组的生存率同样为21%,而历史数据仅为4%。这意味,经过病毒的治疗后,这个生存率猛增5倍!

溶瘤病毒创造恶性脑瘤完全缓解的治疗奇迹!
截止2018年3月20日,8名患者对治疗产生治疗应答,2名患者的脑胶质瘤病灶完全消失,达到了完全缓解!

▲患者脑部肿瘤的缩小清晰可见(图片来源:《NEJM》)
这位患者,经过PVSRIPO溶瘤病毒治疗7个月后,病情复发后使用洛莫司汀治疗,经过12个月的洛莫司汀治疗后,病人的病灶完全消失并保持了20个月的无病状态,并且在PVSRIPO溶瘤病毒治疗发生出血后57.5个月仍然存活。

细胞免疫疗法
T细胞是从患者的体内提取,在实验室培养,引导它们识别癌细胞,甚至修改它们,使T细胞变得更强大,然后这些战斗细胞被回输到患者体内。

经过处理的自体或异体的免疫细胞或免疫分子具有打破免疫耐受、激活和增强机体的免疫能力,兼顾治疗和预防复发的双重功效。
目前该治疗方法也是全球研究的热点之一,美国各类细胞免疫疗法大多处于临床实验阶段,唯一在2017年获得批准的是美国诺华公司用于治疗白血病的CAR-T疗法--Kymriah。详情点击:一文总览癌症的CAR-T细胞疗法

▲2012年首个接受CAR-T治疗的儿童患者Emily,至今已临床治愈(图片来源:Washington Post)
此外,世界著名的癌症学和免疫学专家Steven A. Rosenberg教授近期研究的新型TIL (肿瘤浸润淋巴细胞)疗法备受瞩目。到目前为止,TIL疗法有效率达到56%,包括22%的晚期病人被“临床治愈”。详情点击:在“治愈”的路上前行,免疫疗法再次创造肿瘤全部消失的奇迹!

这名被治愈的晚期乳腺癌患者叫朱迪·珀金斯(Judy Perkins),是一名结构工程师,家住佛罗里达州的圣露西港 ,至今她已经摆脱疾病两年。
此外,相比国内,日本是较早研究细胞疗法治疗癌症的国家之一,临床研究和治疗案例较多。比如日本最新一代个性化的精准复合细胞免疫疗法。通过对患者的癌组织进行免疫组织化学染色,以及流式细胞定量检测分析,判定不同患者具体采用以下哪几种疗法的组合:αβ T细胞疗法、树突细胞疫苗疗法、NK细胞疗法、 γΔT细胞疗法等,相当于个性化定制。有超过2万名癌症患者的治疗经验。
值得一提的是该技术由日本大学医院和癌症专科医院经验丰富的癌症免疫治疗进行接诊和治疗,临床统计了肺、胃、大肠,肝、胰、乳,子宫,卵巢的1 198癌病例,约半数以上的患者在治疗有效,在治疗后癌症缩小,或者再一定期间癌症的发展被抑制。详情点击:日本新一代肿瘤个体化定制细胞免疫疗法技术介绍!
对于普通的癌症患者来说这些技术既遥远又昂贵,目前正在中国医学科学院肿瘤医院进行二期临床试验的多靶点复合抗原肽生物免疫治疗技术,是第五代也是全新一代细胞免疫治疗技术,可优化DC活化方法,以增强免疫细胞对肿瘤细胞的*伤杀**作用,目前已取得很好的临床效果,希望未来能够真正的让癌症患者受益!详情点击:国内肿瘤细胞免疫治疗方兴未艾--新一代MTCA-CTL技术问世!
我们处在一个充满奇迹的时代,快速发展的科技给人类带来了新希望。 曾经,癌症是不治之症。但随着抗癌手段的不断更新,尤其免疫*制剂抑**等新一代的药物出现,人类全面战胜癌症的那天不再遥不可及。
参考资料:
https://www.cancer.org/treatment/treatments-and-side-effects/treatment-types/immunotherapy/whats-new-in-immunotherapy-research.html