随着最近一段时间生猪价格的上涨,以及养猪利好政策的支持,复养和补栏养殖户越来越多,我们都知道猪群封闭饲养是控制疾病的一个重要手段,而从其它猪场引入仔猪或后备母猪时很容易引起多种疾病的发生。今天跟养猪朋友分享的案例就是因为猪场老板从临县猪场采购了134头仔猪而引起的一次发病,借此提醒养猪朋友,外购仔猪或后备母猪进入猪场后一定要先进行隔离饲养,待饲养2-3周后猪群依然稳定才可以做混群处理。

猪场发病情况介绍
据猪场老板所说,该场是在2019年7月中旬从邻县一家存栏200头母猪的猪场内引进了134头仔猪,引进仔猪后当天即同猪场内原有的64头生猪进行了混群饲养,起初并没有表现出异样,在饲养了一个多星期之后新引入的仔猪陆续表现为高烧、食欲减退、皮肤发红,腹部皮肤有蓝紫色出血点,部分病猪皮肤还有出血点,并逐渐消瘦。发病后肌注安乃近、阿莫西林、林可霉素进行治疗,但未起到良好质量效果,到笔者临诊时已经死亡了24头仔猪。
1)临床症状
接到猪场老板电话后笔者前往猪场发现,猪群整体健康状态极差,几乎全部发病。测量体温多数处于40.2-41.2℃,食欲减退或废绝,病猪扎堆喜卧,不愿走动,个别猪有咳嗽和呼吸困难等呼吸道症状,仔细检查猪舍地面可发现有酱油色尿迹。发病小猪有的皮肤发白,有的发红,皮肤发白仔猪可视黏膜黄染或苍白,皮肤发红仔猪可视黏膜潮红,且皮肤指压不退色,检查5头发病仔猪其中有3头仔猪腹部皮肤有蓝紫色出血点。另外,据老板所说仔猪还会表现为发病后先便秘后腹泻的症状,发病后期仔猪还会出现四肢抽搐,呼吸困难等问题。

分析临床症状应重点抓住如下几个关键点:
- a、猪群高烧、食欲减退,扎堆等属于普通临床症状,对于疾病诊断并没有太大的指导意义;
- b、猪舍地面有酱油色尿迹,这属于血红蛋白尿,是猪附红细胞体的示病症状;
- c、导致仔猪发病后先便秘,后腹泻,且皮肤发红,指压不退色,可能是猪瘟,也可能是附红细胞体感染;
- d、5头中有3头仔猪腹部皮肤有蓝紫色出血点,该症状属于附红细胞体的典型临床症状。
- e、可视黏膜黄染或苍白,可能是仔猪缺铁性贫血,也可能是附红细胞体感染。

2)病理剖检
从发病猪群中任意选择3头症状较严重的仔猪进行剖检,解剖后发现病猪血色苍白,血液凝固不良,肌肉苍白,其中2头脂肪有微黄色染色,皮下和结缔组织呈胶冻样浸润,胸腔、腹腔和心包积液增多,肝脏肿大呈黄色,并且质地变脆,胆囊中胆汁浓稠,腹股沟淋巴结肿大、出血,另外肠浆膜、心冠脂肪等组织有黄染症状。
病理解剖分析:从病理变化中可以发现猪群的主要病理变化集中在各脏器的黄染,而临床上导致这一病变的主要疾病就是附红细胞体病。
通过临床症状和病理剖检变化可以做出附红细胞体的初步诊断。
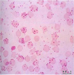
附红细胞体临床快速诊断方法:将怀疑病猪赶至单独圈舍内,用消毒剪刀剪破病猪耳朵边缘,观察流血情况,若流出血液稀薄,血色为粉红色,并且血液流动性差,凝固不良即可做出附红细胞体的诊断。
实验室快速诊断方法:采集怀疑病猪耳静脉血,滴在载玻片上,然后滴上0.9%的生理盐水混匀,盖上载玻片后在光学显微镜400倍镜下进行观察,若可见到红细胞表面有卵圆形的虫体做运动,即可诊断为附红细胞体感染。也可直接用病猪耳静脉血做抹片观察,若红细胞变形呈齿轮状或其它不规则形状,也可确诊为附红细胞体。

附红细胞体的治疗
首先加强猪场饲养管理,尤其是卫生管理和消毒工作,每天定时打扫卫生1-2次,每周定期进行消毒,并把发病猪集中到同一圈舍,便于管理,病死猪要进行无害化处理。治疗病猪所用针头要一头猪一个,用后进行清洗并高温煮沸后才能再次使用。
1)对症治疗
- a、高烧病猪,针对高烧至40.5℃以上病猪,应肌注安乃近、氟尼辛葡甲胺等退热药物;
- b、皮肤发白病猪呈贫血症状,建议肌注补铁针剂1.5-2ml;
2)杀虫治疗
- a、发病严重食欲废绝猪,使用注射用水稀释三氮脒至5%注射液后,按照5-7mg/kg体重做深部肌肉注射,一天一次,连用2天;
- b、发病食欲减退猪,按照长效土霉素注射液40mg/kg体重+银黄注射液0.2ml/kg体重肌注,一天一次,连用3天;
- c、每吨饲料添加银黄可溶性粉1kg+泰乐菌素2kg+强力霉素1kg+氨基多维1kg,拌料给药治疗。该场多数猪只食欲减退或废绝,所以建议饮水给药,按照每吨水添加银黄可溶性粉500g+泰乐菌素1kg+强力霉素500g+氨基多维1kg进行治疗。
治疗效果:通过上述治疗后,后续共死亡15头发病严重猪,其它猪只的病情开始好转,猪群的采食量逐渐恢复,后续没有新发案例的出现,至此此次疾病已经治愈。

病例总结
该场的此次发病时由于猪场外购仔猪后未进行隔离即混群,导致了新引进仔猪的发病。另外发病后未能做出正确的诊断,虽然采取了一定的治疗措施但是并未起到有效治疗效果。所以提醒养猪朋友后续再外购仔猪和引种后备母猪时首先应注意引*猪种**场当地的疾病发生情况,其次引种后要隔离饲养2-3周后方可混群,最后就是猪群发病后应迅速根据临床症状和病理变化做出初步诊断,若治疗2-3天后无效,立即借助实验室诊断进行确诊,从而才能采取有效措施,将猪场损失降至最低。

猪附红细胞体病的讨论
猪附红细胞体发病后会导致部分病猪皮肤发红,皮下有出血点,且末梢皮肤紫红色后坏死,所以又称为“红皮病”。是由于立克次氏体病原附红细胞体感染而引起的一种热性溶血性传染病。因其主要寄生在红细胞表面、血浆和骨髓等处所以会导致病猪表现为黄疸、贫血,皮肤苍白,肌肉苍白,内脏黄染等症状。
该病常年都可发生,由于通过血液传播,所以在夏季蚊虫繁殖旺盛时发病率更高,不同品种、性别和年龄的猪都易感,但猪群年龄不同其症状也有所不同,仔猪常表现为咳喘,呼吸困难等呼吸道症状,以及贫血,腹泻等症状;育肥猪表现为溶血性贫血,皮肤和可视黏膜苍白或黄染,皮肤发红,被毛无光泽,排出浅红色至酱油色血红蛋白尿;母猪表现为高烧,皮下水肿,流产或早产,若母猪隐性感染则会表现为断奶后不发情,返情比例高,哺乳母猪泌乳量下降等问题;公猪感染后表现为精液质量下降,性欲低下等。

所以在日常的饲养管理中应注重该病的预防:
- a、加强猪场的驱虫工作,一般一个季度驱虫一次,尤其注意疥螨的驱杀,具体驱虫措施建议参考《养猪丨立春到,温度升,让我们聊聊春季猪场驱虫那些事》;
- b、加强灭蝇灭虫工作,因附红细胞体可通过血液传播,所以夏季蚊蝇是导致该病传播的一个重要原因,夏季猪舍内应加强灭蝇灭蚊;
- c、做好针头的消毒,肌注药物或疫苗免疫时,母猪建议一头猪一个针头,仔猪和肥猪建议一窝猪一个针头,用后及时清洗消毒后再次使用,防止该病的传播;
- d、降低饲养密度,减少猪群应激,当天气突然变化或者转群时,建议在猪群的饲料或饮水中添加氨基多维、黄芪多糖等抗应激药物;
- e、做好药物保健,一般每年的4、5月份(南方稍早,北方稍晚)需要在猪群的饲料中添加强力霉素+磺胺间甲氧嘧啶7天,降低猪群体内附红细胞体的含量,防止该病的发生。

附红细胞体的鉴别诊断:
虽然附红细胞体具有比较典型的示病症状,但是临床症状同猪瘟、仔猪缺铁性贫血、弓形体等有一定的相似性,临床需要鉴别诊断:
a、附红细胞体同猪瘟鉴别诊断:两病的相似症状在于都有指压后不褪色的紫斑,另外耳尖等处会有紫红色,还会有便秘和腹泻交替出现的症状。但猪瘟主要引起淋巴结、喉头、扁桃体、膀胱等内脏的广泛性出血,脾脏的出血性梗死,回盲瓣扣状疹等症状,而附红细胞体主要引起心冠脂肪、肝脏、肠浆膜、喉头等处黄染,胆囊肿大,胆汁浓稠等症状。
b、附红细胞体同仔猪缺铁性贫血的鉴别诊断:两病的相似之处在于病猪可视黏膜黄染或苍白,呼吸急促,被毛粗乱,消瘦。但仔猪缺铁性贫血多发生于哺乳仔猪,而附红细胞体多发生于保育猪、育肥猪等阶段。
c、附红细胞体同弓形体的鉴别诊断:两病的相似之处在于均会导致病猪高烧,精神沉郁,皮肤发红等症状,但附红细胞体会导致可视黏膜先充血后苍白,黄染,血液稀薄,解剖时血液凝固不良;而弓形体主要表现为流鼻涕、咳喘等呼吸道症状,行走站立不稳等神经症状。