
挤痘后,痘痘反而变得更大了?这是什么情况,要怎么祛痘?
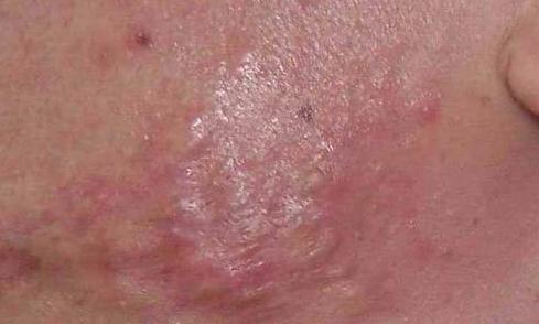
其实这已经不是痘痘了,而是增生性痘印!

增生性痘印也叫做蟹足肿,通常是由先天的体质所决定的,在治疗上最为困难,也容易复发。
这类痘印与凹洞形痘印(痘坑)正好相反,是一种过度肥厚的疤痕,在长过痘痘的地方留下了明显的红色突起,外观又红又肿,而且更严重的是,它会因为搔抓或外力的刺激而慢慢长大。
这种痘印多发生于一些体质特殊的人群身上,这类人群由于其皮肤真皮层的纤维母细胞太过活跃,在伤口愈合的过程中过度反应,结果真皮因发炎受伤后不但不是凹下去,反而是凸起来,变成肥厚的皮肤组织增生。

去除增生性痘印
蟹足肿的治疗是禁忌单纯的手术切除的,因为单纯的切除会让疤痕发育更大;
常见的治疗方法是外用激素药膏,或局部注射激素(如曲安奈德),但需注意激素的不良反应和禁忌症。
蟹足肿的预防主要是平时避免外伤及蚊虫叮咬等。
随着医疗更先进的医疗设备的问世,治疗蟹足肿的方法越来越丰富和有效了。常见的治疗蟹足肿有以下几种治疗方法:
1、局部真皮内注射类固醇
2、贴矽胶片或擦液态矽胶
3、某些含洋葱瘁取物的药膏(喜辽妥)
4、以雷射破坏疤痕内的血管
5、可以根据体质重要调理

琦琦并不是医生,以上的治疗方案也是仅供大家参考,无论如何护肤品是肯定不能去除增生痘印的,而注射激素副作用也是挺大的,最终要怎么治疗还是去医院检查,听专业医生的建议吧。

往期内容回顾
-
如何判断自己是患上(激素脸)激素依赖性皮炎?
-
激素脸形成的表现有哪些?
-
怎样改善面部*血丝红**?脸上有*血丝红**怎么办?
-
激素脸形成的表现症状有哪些?激素依赖性皮炎怎么办?
-
激素脸要如何痊愈?