83岁的王老汉是一名冠心病患者,半年前出现劳累时的胸疼,近期们逐渐加重,到一个什么程度?即便是大便用些力,心绞痛就可以发作。
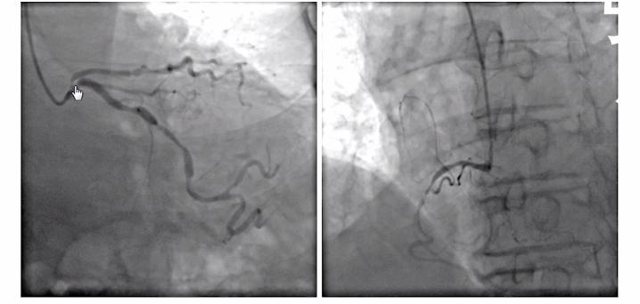
下图是王老汉的冠脉造影,可以看到老人的左冠状动脉,不管是回旋支还是前降支都存在着严重的病变,尤其是该病人的左主干非常短,前降支开口又是一个99%的狭窄,几乎是要闭塞的。
患者的右冠状动脉,又是个广泛的弥漫性病变,还有一个次全闭塞的一个病变。

因为老人年纪大,还合并了严重的慢阻肺,外科的治疗几乎是不能接受的,支架治疗的风险也非常大。
所以家人最后决定,放弃了介入治疗和搭桥的治疗。但是仅仅靠药物的控制,心绞痛还是时常发作。就是在这样的情况下,王老汉来到我院,接受了体外反搏的治疗。

张辉医生与患者合影
我们进行全方面的评估,经过二十多天的药物治疗、加体外反搏治疗,老人的病情得到了控制,心绞痛发作明显减少,日常生活了又回归到了半年之前的状态。
患者王老汉上了年纪,又合并严重的慢阻肺,不适合外科的治疗,却通过药物和无创体外反搏治疗,重获健康,因此对这类病例,我们应该结合患者的实际情况,做出合理的治疗决策。

无创按摩式体外反搏治疗
我是心血管康复张辉医生,还有什么相关疑问,有什么问题可以留言、私信与我联系。
#健康科普大赛#