牙齿矫正能把一口歪七劣八的牙齿排的整整齐齐

下面开始展现魔法了哦!

等着吧我会成为瓜子脸的!!!

果体正面和侧来张自拍!!!

穿上衣服再拍一张

立正稍息齐步走!!!

没有您俩我们都是幸福的!!

其实我长得还是看得下去的!!

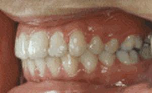
我侧面帅吗

我只是长得有点张牙舞爪

张牙舞爪是我兄弟
美丽人生从美牙开始!

牙齿整容也要拍张X片!!!

传统牙套矫正,这叫个性风铃
矫正的大家享福喽,是隐形矫正

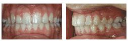
整容前整容后
牙齿矫正能把一口歪七劣八的牙齿排的整整齐齐

下面开始展现魔法了哦!

等着吧我会成为瓜子脸的!!!

果体正面和侧来张自拍!!!

穿上衣服再拍一张

立正稍息齐步走!!!

没有您俩我们都是幸福的!!

其实我长得还是看得下去的!!

我侧面帅吗

我只是长得有点张牙舞爪

张牙舞爪是我兄弟
美丽人生从美牙开始!

牙齿整容也要拍张X片!!!

传统牙套矫正,这叫个性风铃
矫正的大家享福喽,是隐形矫正

整容前整容后