记者:刘少龙
通讯员:王洁
如果说股骨头是一座房子,那么其中的骨小梁就是支撑的房梁。当骨小梁因股骨头坏死而变得不再坚固,那房子就会摇摇欲坠,房顶也就离塌陷不远了。近日,中南大学湘雅医院骨科专家为39岁的股骨头坏死患者谭先生精准植入了一根定制的钽金属“房梁”,支撑起坏死的股骨头,保住了患者的髋关节。此次由国内团队自主创新研发的3D打印个性化定制仿生骨小梁多孔钽金属支架植入手术,在世界范围内尚属首例,打破了国外的技术垄断。
股骨头坏死导致“房梁”断裂
去年冬天开始,谭先生就经常感觉腰背疼痛,只要多走几步,右髋关节和右腹股沟区域就酸痛得厉害。他本以为是普通的腰椎间盘突出,然而辗转好几家医院后却最终被确诊为II期股骨头坏死。当地医生建议他做关节置换手术。
正值青壮年的谭先生希望能尽量保住自己的髋关节,今年3月,他找到了湘雅医院骨科主任胡懿郃教授。而此时,他只要下地行走,就会出现右髋强烈的疼痛,已经无法工作,只能卧床在家,严重影响了他的生活。
“谭先生股骨头里面的‘房梁’骨小梁结构发生了损伤,但‘房顶’还未发生塌陷,对于这种早期的、青壮年的患者来说,保髋治疗是首选,这就需要用新的‘房梁’来支撑,保持‘房顶’不掉下来。”胡懿郃教授介绍。
青壮年时期是患者关节活动量最大的阶段,也是骨头和血管再生能力最强的阶段,保髋治疗成功率相对较高。否则,一旦坏死持续进展,导致股骨头塌陷变扁后,髋关节的关节面会被迅速破坏,患者将失去运动能力和劳动能力,最终只能接受人工全髋关节置换。

计算机3D模型(左),个性化定制手术导板(右)

3D打印个性化定制仿生骨小梁多孔钽金属支架
医工合作个性化定制钽金属“房梁”
谭先生股骨头的新“房梁”,是胡懿郃教授团队自主研发的最新“秘密*器武**”——3D打印仿生骨小梁多孔钽金属支架。这一产品是国家重点研发计划“3D打印个性化植入器械临床应用研究与推广”的成果,由中南大学粉末冶金国家重点实验室和湘雅医院骨科共同通过产学研医平台和医工结合方式研发。
相比于目前最常用的钛金属来说,钽金属生物相容性更佳,人体不易发生排异反应。更为重要的是,钽金属的弹性模量更接近骨组织,更适合仿生人体的骨小梁结构,骨组织长入速度大大高于钛金属,可以促进骨细胞快速长到钽金属棒的孔隙中。
然而,目前全球少数几家制作此种材料的公司,制造的是“均码”的圆柱体钽金属棒,其规则的“蜂巢状”孔隙结构也并未十分切合人体骨小梁结构。那么,如何才能让钽金属“房梁”更好地发挥支撑作用呢?
在胡懿郃教授的指导下,湘雅医院骨科医师、生物医用材料博士后雷鹏飞组织医工交互团队通过精心设计和3D打印技术,为谭先生个性化定制了一根钽金属“房梁”。根据谭先生的CT和MRI影像学数据进行配准,建立了计算机3D模型,可以精确根据患者实际的骨坏死区域,通过金属激光3D打印来个性化定制钽金属棒。
“进口的钽金属棒产品顶端是圆柱体的平面,在与圆弧型的股骨头接触时,只有单个的接触点受力。而我们特地根据3D模型把顶端设计成弧形,这样就与股骨头关节面的弧度更为匹配,通过面的接触来增加支撑效果,可以更好地预防塌陷。”胡懿郃教授介绍。

骨科主任胡懿郃教授演示手术过程
3D打印仿生骨小梁结构促进骨组织快速生长
当自体骨组织长入钽金属棒后,“房梁”才会更加稳定。那么,该如何加快骨组织的长入速度呢?胡懿郃教授团队创新采用了“仿生”的方法。
“我们通过与算法工程师紧密合作,根据谭先生骨小梁不规则的结构来设计,比起进口的钽金属棒规则的‘蜂巢’型结构,弹性模量和表面摩擦系数与人体松质骨更为接近,可以更好地‘伪装’成骨小梁,诱导骨长入。”胡懿郃教授表示,钽金属支架的孔隙率要求非常严格,孔隙太大将不利于骨组织生长,而孔隙太小导致支架太重,与人体骨骼的差别又很大。
这一设计的实现并不容易,通过传统的机械加工或者化学气相沉积无法实现,只有3D打印才可以做到。而钽金属作为难熔金属,在3D打印过程中,对粉体性能、激光熔化参数、设备稳定性、铺粉质量、打印精度等要求都非常高,团队试验了近1年才打印出满意的支架。
此外,胡懿郃教授团队还在钽金属棒内部留了一定的通道空隙,可以填充患者自体的松质骨,利用钽金属“亲生物”的特性,在钽金属棒中播下“种子”。骨组织可以同时在内部和外部在假体表面生长,术后大概2个星期就可以长进去,最终实现多孔钽金属棒和人体的完全融合。
“我们在钽金属棒的尾部设计了螺旋形自锁定装置,类似于‘膨胀螺丝’,患者术后活动就不用担心钽金属棒退出来;后期我们还将设计压配打击植入的锁定机制。”雷鹏飞博士后说。

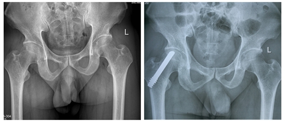
术前(左),术后(右)

患者术后第二天就可以站立
精确“制导”:几分钟抵达病灶,半小时完成手术
钽金属“房梁”做好后,如何通过手术精准植入也非常重要。雷鹏飞博士后运用3D打印技术制造了一个“双导向”手术导板,既可以精准定位手术入口和路线,便于进行坏死区域的髓芯减压和坏死骨质的刮除,又可以直达病灶,精准地将钽金属棒植入进入,大大减少了手术时间和对患者组织的损伤。
“传统的手术方式,即便是有经验的医生,也需要多次尝试打入导针,这样不仅会延长手术时间和增加术中X射线透视数量,也会增加患者软组织的创伤。而在手术导板的指引下,我们仅仅几分钟就达到了病灶,将股骨头内坏死的骨质从进针通道内取出,再植入钽金属棒,整个手术时间不到半个小时。”胡懿郃教授表示。
术后第一天,谭先生就坐起来了,伤口区域没有疼痛;术后第二天就可以站起来了。为了确保骨长入,专家建议他早期部分负重。他的手术伤口采用美容缝合无需拆线,还覆盖上了最近胡教授团队创新运用的生物半透膜敷料,无需换药还可以立刻洗澡,这使得谭先生真正实现了快速康复。
“股骨头坏死是进展性的,目前发病机制不明,也没有有效的根治方法。对于年轻的股骨头坏死早期患者,我们希望能通过新的材料和手术方法,尽量保住他们的髋关节,延缓股骨头坏死的速度,避免患者过早接受髋关节置换术。如果骨头生长情况好,患者甚至可以不用接受髋关节置换术。”胡懿郃教授表示。
据悉,湘雅医院骨科胡懿郃教授团队将继续致力于研发3D打印个性化仿生多孔钽金属植入物修复骨缺损,为骨关节临床提供新思路、新方法和理论依据,并集成数字技术和现代人工智能,产学研自主创新研发,为我国骨科植入医疗技术和人们医疗健康贡献力量。
