
乳腺癌病人一般使用免疫组化检测ER、PR和HER2的表达情况,如果ER或PR是阳性则使用内分泌治疗,如果HER-2阳性则使用曲妥珠单抗、帕妥珠单抗、拉帕替尼或T-DM1治疗,但是临床实践中,很多时候患者虽然是HER2阳性的,但是对多种抗Her2的靶向药物都耐药,这个时候怎么办呢?
研究者搬出了神药PD-1,也就是派姆单抗联合白蛋白紫杉醇,在两个HER2靶向药物无效的病人那里都显示出部分缓解,病灶显著缩小。今天的这个文章,与大家一起来回顾和分析一下,整个案例的来龙去脉。
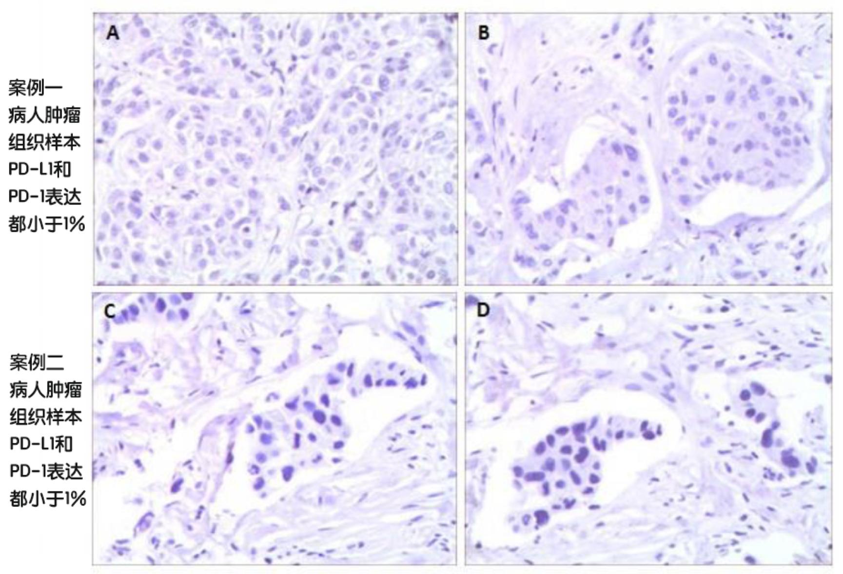
案例一
2011年,一名57岁的女性在右侧乳房发现3.5厘米的肿块,穿刺病理诊断为右乳腺导管癌,免疫组织化学显示ER(+,25-50%),PR(+,10%),Her(+++)。HER2属于强阳性,患者新辅助化疗6个周期后,方案为紫杉醇联合卡铂、曲妥珠单抗治。化疗达到了部分缓解,接着病人进行了手术治疗,术后直至2012年11月都接受来曲唑和曲妥珠单抗治疗。
2013年8月发生右侧腋窝淋巴结复发。右胸壁、腋窝和锁骨上区域接受放射治疗,然后依西美坦联合曲妥珠单抗治疗。
2015年3月,PET-CT显示肺部和淋巴结转移,接受拉帕替尼和卡培他滨治疗,获得了部分缓解。无进展生存时间达到了9个月。后面更换用药方案为氟维司群+曲妥珠单抗,氟维司群+拉帕替尼,氟维司群+依维莫司+曲妥珠单抗。均不能显示出疗效。
2016年10月至2017年3月,每三周使用一次PD-1的派姆单抗150mg(计量为2.5mg/kg),白蛋白紫杉醇200mg(每平方米118mg)。
具体用药方案是第1天用PD-1,第1天、第8天使用紫杉醇。6周后,CT评估发现部分缓解,肺部转移灶明显缩小。12周后检查发现病灶继续缩小。血清: HER2 ECD呈现持续下降。奇怪的是,使用肿瘤组织样本检测肿瘤细胞的PD-L1和PD-1在免疫细胞的表达,均小于1%。

案例二
2011年5月,一名49岁女性右侧乳房检查出恶性肿块,2011年5月14日进行了改良根治术,术后的病理发现是右侧导管癌,免疫组化显示ER和PR阴性,HER2强阳性,Ki67为40%。
术后进行了4个疗程的EC方案的化疗(表阿霉素+环磷酰胺)。后续又进行了4个疗程的曲妥珠单抗联合TH(表柔比星+环磷酰胺)方案。患者的无进展生存时间达到了1年半。
2012年11月,胸部CT显示肺部多发结节性转移灶,开始使用曲妥珠单抗联合卡培他滨治疗,直到2013年4月,停止了化疗。单药曲妥珠单抗达到完全缓解。
2015年11月,CT揭示一个3.3×1.9厘米的病灶,采用拉帕替尼联合卡培他滨治疗,转移灶开始逐渐减轻。达到了7个月的无进展生存时间。
2016年6月,使用T-DM1治疗,这一次转移灶又给压下去了,达到了4个月的无进展生存期。
2016年10月至2017年2月,开始使用PD-1的派姆单抗100mg(计量每kg体重2mg)、白蛋白紫杉醇200mg(每平方米140mg),使用策略是第1天PD-1和白蛋白紫杉醇同时上,第8天单药白蛋白紫杉醇,每3周一个疗程。6周后临床评估为部分缓解。12周后CT再次确定为部分缓解。血清HER2 ECD显示下降。这名患者对组织病灶也检测了PD-L1和PD-1的表达,评分是小于1%的。

总结与思考
单独使用PD-1治疗晚期乳腺癌的客观缓解率低于20%,因此很多研究希望通过PD-1和其他治疗措施的结合来提升治疗的应答率,化疗无疑是一种好的搭配方案。
KEYNOTE-021研究中,PD-1的K药联合卡铂、培美曲塞可显著提升晚期非小细胞肺癌的疗效,达到了55%的治疗应答率。而单独化疗组只有29%的治疗应答率。
而本文的两个晚期乳腺癌患者案例,都从化疗和PD-1的联合治疗中获益,这说明是一种值得一试的策略。
当然,我们最后来看看本案例给我们的启示。
-
两名患者都是HER2强阳性,因此一开始都是选择了HER2的靶向药物,并且在曲妥珠单抗耐药时经过了其它的Her2靶向药物,最后才过渡到PD-1的。
这样其实可以达到患者最大的收益,两名患者生存时间都超过了5年,也就是不是一开始就把PD-1用上去了。就跟打牌一样,一张一张地出,如果控制住了,达到了部分缓解或完全缓解就暂停战斗,胜利是这么一步一步地争取下来的。
-
两名患者PD-1使用时,都搭配上白蛋白紫杉醇,也就是没单独用药,而且是否使用其他的化疗药物更好还不知道,我们期待以后的数据。
-
两名患者从PD-1治疗受益,但是如果从PD-L1和PD-1蛋白表达来看,她们应该不算是优势人群。因此对于很多患者而言,目前的PD-1指标仅仅是个参考,还做不了一个绝对的保证能否用或不能用,如果靶向这条路走不通了,其实还是可以试试PD-1,尤其是和放化疗搭配来用的话。

本期文章为您解读到这里,癌度助力您抗癌。

“每天10分钟,癌度快报为您奉上肿瘤领域最新最全的资讯,前沿信息、药物最新临床、群聊经典案例、专家大咖点评面面俱到!我们每天100%的认真和努力,为您的抗癌之路保驾护航!欢迎点击下方“了解更多”订阅。”
参考文献:
BIAN Li, WANG Tao, ZHANG Shao-hua, QU Ze-rui, JIN Fu-quan, LI Fan & JIANG Ze-fei (2018): Remarkable response with pembrolizumab plus albumin-bound paclitaxel in 2 cases of HER2–positive metastatic breast cancer who have failed to multi-anti-HER2 targeted therapy, Cancer Biology & Therapy