“好像晚上更经常牙疼”
“牙疼,夜晚比白天更疼,经常疼到睡不着”
有过牙疼经历的朋友是不是都有这种感受?

为什么夜晚牙疼更剧烈呢?
首先,当夜晚卧床休息的时候,人体的血液流速加快,到达头面部的血液量增多,牙髓腔里面的压力就会增高,牙神经承受的压力加大,使得患牙处的疼痛加剧。
其次,白天忙于各种事情分散了注意力,淡化了牙齿疼痛的这一感知。到了晚上休息时刻,注意力集中,身体的各个器官神经敏感性比较高,这时候牙齿上传来的疼痛就会被放大。
再次,夜间休息时口腔活动减少,唾液分泌量降低,对牙髓炎炎症分泌物的稀释和清除作用也会下降。一旦分泌物浓度增高,就会刺激和放大牙齿疼痛的感觉。

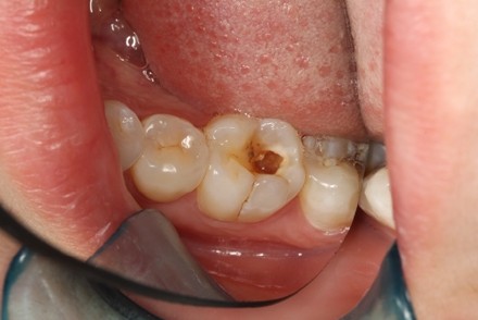
另外,夜间牙疼的需注意,晚上发生剧烈牙疼通常是 急性牙髓炎 的典型表现。急性牙髓炎疼痛的性质具有以下几个特点:
1、在未受到任何外界刺激的情况下,突然发生剧烈的自发性尖锐疼痛,或持续或阵发性;
2、 牙髓炎疼痛往往在夜间发作,或者夜间疼痛比白天剧烈;
3、温度刺激会加剧疼痛;
4、疼痛无法定位,无法明确指出是哪颗患牙。

夜间无法及时就医时,吃止疼片或者用盐水漱口能够暂时缓解,但这并不能完全解除疼痛症状,需及早就医。根据牙髓炎的严重情况进行针对性治疗,切莫拖延。
为了避免这种突发性的疼痛折磨,平时一定要注意口腔清洁护理,并做好定期检查以便及时发现牙齿病灶,早发现早治疗。

(文源自口腔医学论坛)