张大爷患慢性咳嗽好多年了,吃了好多药也不管用,每天咳咳咳咳~~坐不安,立不宁,苦不堪言。这一天他来到了北京友谊医院呼吸科......

呼吸科的王主任仔细听完他的病史之后,给他开了药:耐信

刚看到药名,张大爷气不打一处来,这药他熟啊,老伴儿胃病好多年了,一直吃这个药,他来看咳嗽,怎么能给开胃药呢。
张大爷怒气冲冲的质问道:你这个大夫,我咳嗽这么多年看不好,已经很痛苦了,你还给我乱开药,你以为我不知道吗?这药是治胃病的!我要投诉你!

王主任依然一脸淡定从容,一边安抚张大爷,一边开始胃食管反流病小课堂:
胃食管反流病,顾名思义,就是胃内容物反流入食管。在食管下端和胃连接处有食管下括约肌,它起着闸门的作用。当食物进入食管后,闸门打开,允许食物进入胃内;食物进入胃后,食管下括约肌收缩,闸门关闭,可防止胃内容物反流入食管。
但是在胃食管反流患者中,在不同病因的作用下,胃内容物会通过这道闸门反流入食管内,从而造成了一系列的临床症状。

胃食管反流病最典型的食管症状是:烧心、反流、胸痛、嗳气、恶心、吞咽困难等。
烧心是指胸骨后的烧灼感,反流是指胃内容物向咽部或口腔流动的感觉。
但是,除了典型的食管症状,还可能出现食管外症状,这是由于胃内容物反流到食管上括约肌以上的口腔、喉部和或肺引起了呼吸系统的相应症状及并发症。甚至有些患者仅有呼吸系统症状。目前,已经证实的与胃食管反流相关的疾病有:咳嗽,哮喘,喉炎,肺间质纤维化、阻塞性睡眠呼吸暂停综合征(夜间睡眠打鼾伴呼吸暂停)等等。

根据张大爷您的病史和发病规律,您的慢性咳嗽可能就属于胃食管反流病引起的呼吸系统症状。所以呢,我给您开了质子泵*制剂抑**(PPI),也就是耐信。
听了王主任的解释,张大爷的表情舒展开来,但是嘴上依然不饶人:好吧,那我回去吃吃试试,没有效果我还是要投诉你。

随着对胃食管反流病研究的深入(gastroeshophageal reflux diease,GERD)GERD已经不再仅仅是消化内科疾病,它的病因和发病机制复杂,临床症状和其他疾病多有重叠和交叉,虽然是良性疾病,但是它极大的影响了患者的在生活质量。GERD逐渐引起多学科(胃食管反流病专科、耳鼻咽喉科、消化科、胸外科、普外科、口腔科、呼吸科、心内科、风湿免疫科)等更多相关学科共同重视,成为一个多学科共同研究的疾病。
2019年9月12日北京友谊医院普外分中心胃肠外科,牵头成立了“首都医科大学附属北京友谊医院胃食管反流微创治疗MDT协作组”,该协作组联合消化内科,耳鼻喉科,呼吸内科,放射科,超声科,核医学科,胸外科,以期更加系统、规范,详尽的进行胃食管反流病的诊治,使更多的患者少走弯路,少受反流之苦。

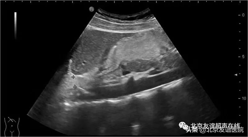
超声科作为协作组的一员,充当了对胃食管反流病初步筛查的角色。在实时超声监测下,可以发现超声造影剂由胃腔反流入食管下段,从而初步的诊断胃食管反流。
超声还可以筛查造成胃食管反流的风险因素:食管裂孔疝,贲门失弛缓,胃潴留,十二指肠胃胆汁反流,十二指肠淤滞,食管胃底静脉曲张等。


后记
一个月后,张大爷又来了,不是投诉王主任,而是道谢,因为他的咳嗽好转了。
