高血压患者在我们日常生活中很常见,除了少部分是由于遗传因素导致的之外,大多数患者是由于不良生活习惯或过高的生活压力导致的。
高血压的治疗除了需要规律服药外,还应该改善不良生活习惯,特别是戒除烟酒。虽然这个道理人人都知道,但是生活中很多人由于各种原因,总是做不到。今天我们就来聊一聊高血压患者总是喝酒怎么办的问题。

高血压是我国中老年人高发的慢性病,为心脑血管疾病的独立危险因素之一,现在,已经成为我国严峻的公共医疗问题[1]。已经引起国人的高度关注。高血压为终生性疾病,仅仅依靠药物控制是不够的,改善生活习惯具有不可替代的作用。
随着我国社会的进步和生活习惯的改变,高血压的发病率呈现出年轻化的趋势,而且高血压所引起的并发症也在逐年增加。40岁左右的患者因高血压导致脑出血的病例,在临床上已经不再罕见。这都是因为高血压患者对血压的管理不善导致的,其中很大一部分是由于不良的生活习惯引起的。

不良的生活状态包括肥胖、不爱运动、高盐高糖高脂饮食、生活压力大、心理疾病、吸烟、饮酒等方面。每一个人都知道这些对于身体来说是有害的,但在生活中真正能做到控制和节制的患者却不多,特别是饮酒。所以很多患者问张医生,高血压不能戒酒怎么办?

饮酒对高血压患者的不良影响有哪些?
饮酒对高血压患者的不良影响有很多,主要有以下5个方面:
- 饮酒会引起已神经系统的兴奋,导致心率加快,使心脏泵入血管内的血液增多。循环系统就如同家里的自来水系统,心脏相当于其中的机械泵,心率加快相当于我们给机械泵增加功率,压力升高,这必然会使进入管道系统的液体增多,增加心脏负荷,然后心脏继续加大功率……多次往复最终导致血压升高。
- 无论任何酒类都属于高滲饮品,这些液体成分通过消化系统进入血液,除了使血管内液体成分增多外,还会引起血液中的渗透压升高,从而导致组织中的液体也进入血液,进一步增加血容量,使血压升高。
- 酒精进入血管内,会对血管内皮造成损伤,加速动脉硬化、血管狭窄。血管内的管腔变窄了,血液在血管内流动的阻力必然增加,为了保证器官的血液供应,心脏提高循环系统压力,导致血压升高。对心脏病患者,饮酒很容易诱发患者出现心脏衰竭。

- 饮酒时会增加食物的摄入,引起机体肥胖。体重增加后,心脏需要供血的体积增大,必然需要增加血压来满足身体各个器官的需要,从而导致血压升高。
- 饮酒会造成肝脏和消化道的损害。如果过量饮酒出现频繁呕吐,可引起胰腺炎,从而进一步增加了心脏的负荷,引起血压升高。呕吐过程中会引起血压瞬间升高,动脉硬化的患者非常容易出现血管破裂。

从上面的5个方面可以看出,高血压患者饮酒是非常危险的,特别是老年患者,由于动脉硬化的原因,饮酒的风险比中青年患者更高。
有人说饮酒可以降低血压,这个观点对吗?

很多人提出相反的意见,认为饮酒之后会引起血压降低,生活中确实存在这种现象,部分人饮酒之后血压明显降低。但这通常发生在中青年患者身上,他们的血管弹性相对于高龄患者要好,当他们饮酒之后会,短时间会引起血管扩张,血管内的空间增大使血压降低。
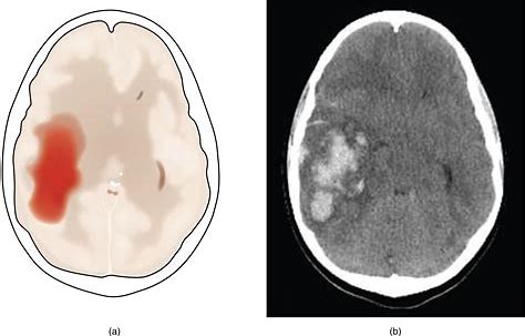
这部分患者在第2天会出现血压反跳性升高,这种升高往往是非常剧烈的,血压波动非常大容易诱发脑出血,从而危及患者生命。在张医生治疗的40多岁的患者中,大多数在发病前都有大量饮酒的病史。

虽然患有高血压,但是不能避免饮酒怎么办?
很多患者提出由于生活、工作等原因不得不饮酒,出现这种情况怎么办?其实,对高血压患者来说,不是绝对不可以饮酒的,但需要点到为止。
- 一次白酒的摄入量不要超过50毫升,红酒一般不要超过100毫升,啤酒不要超过600毫升,女性需要减半。虽然这些量的酒类一样会引起对血压的损害,但不至于出现剧烈的血压波动。
- 如果由于特殊原因需要饮酒,张医生建议有3点:第一,降低酒的度数,尽量不要喝烈性酒。这样可以避免高浓度的酒精摄入;第二,降低饮酒的速度,避免“干杯”,这样可以让肝脏有时间代谢一部分酒精;第三,喝酒前一定要吃些食物,食物可以减慢酒精吸收的速度。不要空腹饮酒。空腹饮酒,酒精吸收速度快,对身体造成的损害更大。
上述建议仅能降低饮酒对身体的不良影响,并不能完全避免饮酒的不良影响,高血压患者如果可以避免饮酒,尽量避免。

很多人不能放弃饮酒是因为自身存在酒瘾,怎么办?
如果是由于酒瘾的原因不能放弃饮酒,张医生给出三点意见:
- 采取间断戒酒的办法。给自己制定一个目标,就如同打游戏一样,比如原本一天饮酒两次,可以改为一天饮酒一次,逐渐减少饮酒的量,直到完全戒除,这种办法可以避免戒断反应。
- 多读健康读物,了解酒精对人体的损害,在主观意识里认同饮酒的害处,主动要求戒酒。
- 如果上述两种方法还是不能戒酒,可以通过药物来戒酒。对于具体的药物选择在这里不做过多的描述。

总之,高血压患者饮酒,会引起血压的波动性升高,甚至导致心脑血管疾病的发作。如果不能完全避免饮酒,为了减少不良影响,可以采取尽量减少饮酒的量、降低酒精的度数、饮酒之前摄入适量的食物和减慢饮酒的速度。如果存在酒瘾,可以采用间断戒酒法,多读健康读物或结合药物来戒除酒瘾。

以上就是关于高血压患者不能戒酒问题的一些观点,如果您同意我的观点,可以点赞、留言或关注,更多的健康问题我会在以后的作品中陆续呈现,如果您想了解,请您关注我,我是神外医生张伟,咱们下期再见。

【参考文献】
[1]缪立串,陈碧,何远贞。对老年高血压合并糖尿病患者采取社区规范性管理的效果评价,[J]中国医药科学,2017,7(11):233-235
#青云计划# #健康超能团# @辉哥情感 @小蕾医生 @生命召集令 @想好好做医生的胖子 @头条健康