
生死一线……
作者|杨洋 新乡医学院第一附属医院呼吸内科
审校丨付君静 李春凤 新乡医学院第一附属医院重症医学科
来源|医学界急诊与重症频道
1
作为一个内科规培医师,相较于嘈杂的普通病房,ICU因为床位数量的限制和没有家属陪护而显得分外安静,这是一个普通的周末,我来到ICU的第二次跟值。
“叮铃铃……”一阵急促的电话铃声打破了这短暂的宁静,以往的经验告诉我,值班时候的电话铃声往往是一番忙碌甚至彻夜无眠的征兆。
我的带教付老师快速地跑到护士站接过电话,短暂问询之后转身回到办公室:“半小时后急诊120从某县转运过来一个孕妇,休克原因待查”。
我默默点头,做好了接诊准备。
1
1
病人如约抵达病房,我紧随付老师来到转运通道。
只见平车上躺着一个体态微胖的青年女性,表情痛苦,前额微微渗汗,随车的监护仪滴滴作响:“心率150次/分,指脉氧饱和度90%”。
转运医生一边帮忙转移病人,一边详细地向付老师交待病情:
病史简介
“31岁女性,孕17周,3天前无明显诱因出现腹痛、恶心、呕吐,呕吐物为胃内容物,总量及性状描述不清,疼痛程度尚可耐受,初起未予诊治。
1天前无明显诱因出现上述症状加重,伴胸闷,活动明显受限,就诊至当地乡卫生院,查妇科彩超未见异常,给予药物治疗(具体用药不详),效果不佳。
今晨腹痛加重就诊至当地县医院急诊科,四肢湿冷,血压未测出,彩超提示死胎、重度脂肪肝、盆腔积液,血常规示白细胞总数 21.47×109/L、中性粒细胞比率 90.54%,给予升压药后血压波动在90/60mmHg左右……”。
2
交谈间,患者已被安置到病房,付老师娴熟地查体后不禁眉头一紧:“患者四肢湿冷、睑结膜、口唇、甲床苍白,双肺呼吸音粗,桡动脉、足背动脉搏动均无法触及,腹肌紧张,全腹压痛反跳痛阳性,肠鸣音消失。当前妊娠、腹痛合并休克,鉴于患者无明显的呕血、便血、阴道出血病史且外院超声没有提示子宫破裂,故出血性休克暂不首先考虑。
血象高,腹膜炎体征阳性,首先考虑腹腔感染、脓毒症、脓毒性休克,立即禁食水、胃肠减压、抗炎、快速补液、泵入去甲肾上腺素维持血压。
病史资料提供的线索非常有限,血液检查能急查的全查,联系床边彩色超声。
同时我们在床边做了诊断性腹穿,抽出了少量淡黄色腹水,立即送检腹水常规、生化及细菌培养辅助明确病因。
不知不觉中时间已经过了1个小时,检验科电话报:“血淀粉酶416U/L,危急值!”。
同时入院急查的检验及检查结果也都陆续回来了,肌酐101.9umol/L 、白细胞 28.0×10^9/L、红细胞 5.12×10^12/L、血红蛋白 158g/L、中性细胞百分比 87%、降钙素原1.5ng/mL。
腹水常规:黏蛋白定性2+,有核细胞1600×106/L,多个核90%,单核10%。
彩超:脂肪肝、腹腔及盆腔积液、宫内死胎。
3
付老师迅速分析检验结果后对治疗方案及时进行了调整:
血淀粉酶超出正常值上限三倍,持续的上腹部疼痛,不能除外急性胰腺炎,急查尿淀粉酶,并动态监测血淀粉酶、脂肪酶变化,加用奥美拉唑和生长抑素。患者白细胞总数、中性粒细胞分类计数、降钙素原、腹水细胞数均偏高,加之存在腹膜炎体征,腹腔感染不能排除,入院后已给予碳青霉烯类抗菌药物行经验性抗感染治疗。
但是什么原因引起的腹腔感染呢?胰腺炎吗?
急诊彩超检查因肠道积气严重未能给出提示,与家属沟通后急查全腹部CT辅助明确病情。
我跟着付老师来到谈话间,一个体型消瘦、神情疲惫的中年男人焦虑地站起身来,眼神中按捺不住的期望和紧张:“大夫,我爱人怎么样了?孩子能保住吗?……”
付老师无奈地摇摇头:“复查彩超已经确认了死胎,大人呈休克状态,入院后经过补液等治疗,现在生命体征依旧不稳定,但具体病因不明,还需要进一步检查。”
言简意赅地说明病情,并且向家属说明了CT检查的必要性和外出检查的风险,家属积极签完《外出检查同意书》,我们带着抢救和监护设备推着病人做了急诊CT。
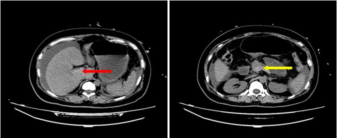
大概半小时后电脑系统上传回了CT的图像和报告 (见图 A):
1.腹腔积液;
2.脂肪肝可能;
3.门静脉及其属支密度略增高并小肠壁广泛增厚:门静脉系血栓待排;
4.胆囊术后缺如;
5.孕期子宫。
门静脉系统居然有血栓?那么肠道静脉回流肯定受影响,继而肠壁水肿、肠内菌群移位,导致腹腔感染,再发生脓毒性休克?这会不会就是患者发病机制呢?
付老师认为患者门静脉血栓形成可能与妊娠高凝状态有关,目前可以先抗凝治疗,因妊娠状态暂时不具备溶栓指征,继续观察影像和临床症状变化。

图A腹部CT平扫(2018.04.14):门静脉、脾静脉密度增高(红色箭头代表门静脉、黄色箭头代表脾静脉)
4
忙碌间已是夜半凌晨,经过一系列治疗后病人四肢恢复温暖,休克状态在药物的维持下暂时得到了缓解,考虑到腹部CT平扫提示疑似门静脉系统血栓,另外目前急性胰腺炎的可能性也不能完全排除,付老师决定给病人完善全腹部增强CT和门静脉系统CTA检查,再次与家属沟通后我们又一次推着病床出门了。
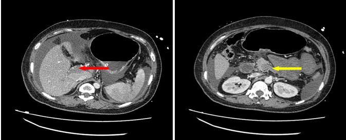
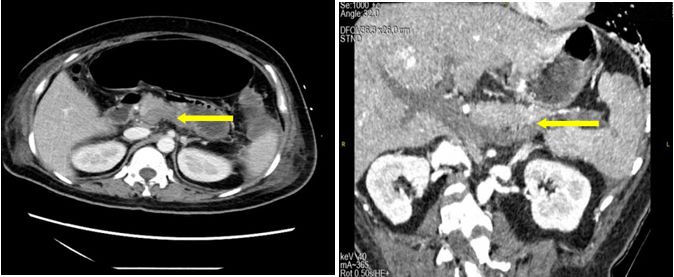
很快,腹部增强CT(见图B)和门静脉系统CTA(见图C)的结果回来了:
1.门静脉主干、右支及其属支密度减低,血栓形成可能;腹盆腔积液,小肠管壁增厚;
2.胆囊术后缺如;
3.孕期子宫;
4脂肪肝;
5.门静脉系统的广泛、完全的栓塞。

图B腹部增强CT(静脉期2018.04.15):门静脉、脾静脉未见造影剂充盈(红色箭头代表门静脉、黄色箭头代表脾静脉)

图C门静脉系统CTA(2018.04.15):门静脉、脾静脉、肠系膜上静脉未见造影剂充盈(红色箭头代表门静脉、黄色箭头代表脾静脉、绿色箭头代表肠系膜上静脉)
5
早*班交**后付老师请李主任查看病人,详细地汇报过病情后,李主任认为病人非常年轻,脏器储备功能还不错,建议申请相关科室会诊指导诊疗。经过一番紧张激烈地讨论形成了初步的会诊意见:
1.门静脉系统血栓形成可能与妊娠相关,但注意排除自身免疫病等其他因素诱发血栓形成的可能;
2.加用去甲万古霉素经验性覆盖肠球菌;
3.再次床边诊断性腹腔穿刺,腹水颜色由黄色变为黄红色,灌肠后有暗红色血便,胃肠减压引流出咖啡色胃内容物提示肠道坏死;
4.介入考虑妊娠患者即使肠系膜上动脉置管溶栓也存在流产、大出血休克、肠道出血的可能,另外溶栓2-3天后血管才可能再通,2-3天后患者肠道可能早已坏死,获益有限,暂不考虑介入治疗;
5.胃肠外科认为患者若肠道坏死可以切除肠道,但患者门静脉系统多发血栓,肠道切除范围及其广泛,切除之后患者如何经肠道获取营养。
另外若门静脉系统血栓不解除,坏死肠管被切除后完好的肠道亦有可能因静脉回流受阻再次出现肠道坏死,建议腹腔穿刺引流、加强抗感染治疗降低腹腔内压力。
6
全院会诊结束后,我们及时执行了会诊意见,继续禁食水、胃肠减压、抗炎、抗凝、肠外营养支持等治疗,同时告知家属该病死亡概率极高,预后凶险,经济代价巨大。家属表示理解,同时期待我们的努力能够搀扶这个年轻而脆弱的生命翻越最凶险坎坷的山丘,为血栓自行再通和侧枝循环的建立争取时机。
然而,很多时候病情的变化并不总会朝着我们期待的方向发展,多学科会诊的当天下午,患者出现持续胸闷,面罩吸氧8L/分的情况下心电监护提示指脉氧波动在85%左右,我们担心的事情发生了---ARDS!
付老师紧急与家属沟通了病情,取得家属同意后给予患者经口气管插管接有创呼吸机辅助通气,看着监护屏幕上逐渐回升的指脉氧和缓慢下降的心率,我们稍稍松了一口气。
就在这时,管床护士一声惊呼:“患者出血了!”
只见患者会阴部一摊殷红,鲜血滴沥着从阴道口流出,紧接着一团血肉模糊的东西排了出来,仔细一看是娩出的死胎,我们紧急联系产科帮忙处置。
在全身抗凝的情况下,死胎娩出后继发大出血的风险让我们高度紧张,缩宫素应用、临时停用抗凝药后严密监测血常规、凝血及阴道出血情况,不幸中的万幸,我们担心的情况并没有发生,患者阴道出血逐渐停止。
7
时间到了患者入院的第四天,病人仍然间断高热,但白细胞总数和中性粒细胞比率有所下降,降钙素原明显降低,提示抗感染治疗有效,血管活*药性**物的泵入剂量已经降低至较低水平,甚至可以考虑暂停升压药。
胎儿娩出、腹腔感染有效控制、腹水引流促使腹腔内压力下降,加之血栓可能部分再通和侧枝循环建立,患者腹水颜色由黄红色转为黄色且腹痛症状明显减轻。
命运的天平在我们与死神的抗争中渐渐地向我们这一侧倾斜,患者呼吸机应用条件逐渐降低,在气管插管8天后脱机、拔管,氧合、血压均维持满意,腹腔引流量逐渐减少而且腹水颜色由黄红色转为淡黄色,体温峰值降低,发热持续时间缩短,肠鸣音恢复,腹痛症状明显减轻。
8
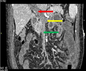
我们在患者入院第10天时试验性经鼻胃管注入葡萄糖溶液,患者没有出现明显不适,但随着进食量的增加,患者出现轻微腹痛症状,复查门静脉系统CTA并对比老片提示脾静脉部分再通(见图D)。
家属携带我们的检查资料和患者当前的病情介绍咨询了省会医院的专家,最终转去省会的医院继续治疗。后续追踪患者病情,患者于省会某权威医院行肠系膜上动脉溶栓治疗,但溶栓后血栓未能再通,后行剖腹探查行坏死肠道切除术,目前患者处于康复状态。

图D:门静脉系统CTA(2018.04.24):脾静脉可见部分造影剂充盈(黄色箭头代表脾静脉)