病例简介
患者男性,17岁,不明原因腹痛、腹泻、低蛋白血症及贫血1年,就诊于我院消化科。
增强CT提示为腹膜后及双侧腹股沟多发无增强病灶,结肠壁弥漫增厚以横结肠和乙状结肠为著。
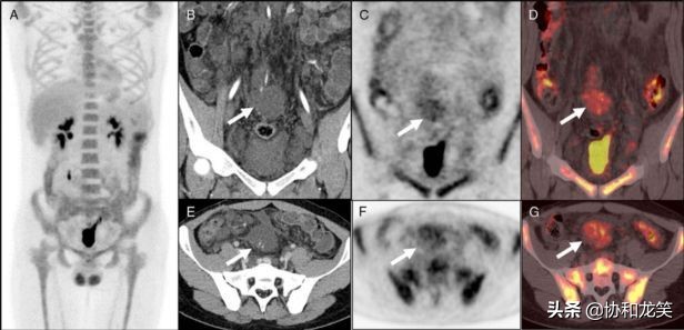
临床为除外恶性病变行18F-FDG PET/CT检查,结果提示患者腹膜后及双侧腹股沟病灶轻度放射性摄取增高,SUVmax为3.7;骨髓弥漫放射性摄取增高,SUVmax为4.6,可能与患者贫血有关;上述结果不支持典型的软组织恶性肿瘤推论。

图A,骨髓弥漫摄取FDG,SUVmax为4.6。
图B-G白色箭头所示,腹膜后软组织肿物轻度摄取FDG,SUVmax为3.7。
(图片来源于原文)
因患者低蛋白血症及结肠壁弥漫增厚,进一步考虑淋巴系统紊乱合并失蛋白肠部可能,遂行68Ga-NOTA-Evans Blue(NEB) PET/MRI淋巴显像评估患者淋巴系统引流功能。

图A-D箭头所示,腹膜后及双侧腹股沟旁多发肿物,呈T2高信号并中度摄取NEB。
图E,HE染色提示存在扩张的脉管;
图F,免疫组化提示D2-40阳性,为淋巴内皮细胞来源。
(图片来源于原文)
68Ga-NEB是一种新型的PET淋巴显像示踪剂。68Ga-NEB PET/MRI检查提示腹膜后及双侧腹股沟T2高信号肿物,提示水成分含量多,且肿物中度摄取NEB,考虑为淋巴管畸形表现;而患者的增厚结肠壁没有明显的摄取68Ga-NEB,其原因可能为肠道淋巴引流与腹膜后及双侧腹股沟淋巴管引流途径不同。
患者后行结肠镜检查,取活检病理提示为淋巴管瘤。
患者经过内科治疗失蛋白肠病后,腹痛、腹泻、低蛋白血症及贫血等症状好转,体重升高。
淋巴管瘤是一种良性肿瘤,大多数患者在青少年时期被诊断。文献报道95%的淋巴管瘤发生在颈部及腋窝,5%发生在腹膜后、纵膈、骨及肠系膜。
本文中的病例表现为同时发生在腹膜后和腹股沟的淋巴管瘤,临床上罕见。
淋巴管瘤对不同的核医学示踪剂有不同的摄取程度,而68Ga-NEB更具特异性。68Ga-NEB PET/MRI淋巴显像是一种有价值的淋巴管瘤的评估方法。
评论
68Ga-NEB PET/MRI淋巴显像是利用一种新型显像剂对淋巴系统进行多模态成像方法,自肢体末端至静脉角引流途径上的淋巴管引流异常状况均可精准显示,同时MRI可清晰显示淋巴系统软组织病变情况。因此,68Ga-NEB PET/MRI淋巴显像不仅可以精准评估淋巴管瘤,对于大多数淋巴系统引流异常的疾病均可探查,例如淋巴水肿、淋巴管血管瘤、乳糜胸、乳糜腹、淋巴瘘等,为临床提供多参数的病灶信息。
淋巴管瘤的诊断主要是在临床表现和影像学支持下,选取适当部位进行活检以取得病理结果来确诊。在本文中,68Ga-NEB PET/MRI淋巴显像为临床医生准确地提供了患者淋巴管畸形的形态及引流状态信息,为临床进一步诊疗方案提供了可靠的依据,并得到病理证实。
68Ga-NEB PET/MRI淋巴显像是如何做的?
流程很简单,检查前患者无需特殊准备,于患者双足第一趾蹼间隙注射68Ga-NEB,20 min后进行PET/MRI图像采集,根据不同的采集范围,采集时间不同,一般1 h内采集完成。
68Ga-NEB PET/MRI淋巴显像有何优势?
首先,与传统的核医学淋巴显像检查99mTc-SC SPECT相比,68Ga-NEB PET/MRI提供了更精准的解剖、定位信息以及多种核磁共振信号,为临床提供多参数的病灶信息和更加精确的诊疗途径;
其次,SC为胶体剂且分子量较NEB大,而NEB为水溶剂且分子量小,相对减轻了患者的注射痛苦程度;
此外,68Ga-NEB PET/MRI检查时间短,明显缩短了患者等候时间(前者为1 h,后者最少为6 h结束,甚至为24 h)。
就目前的研究结果而言,68Ga-NEB PET/MRI是一种很有应用前景和临床价值的核医学淋巴显像技术。
通讯作者简介

程午樱
医学博士,北京协和医院核医学科副主任医师,副教授,硕士研究生导师。先后担任中华核医学分会第九、十届委员会肿瘤学组委员、第十一届委员会放药学组委员及中国研究型医院学会甲状腺疾病专业委员会青年委员等。2011年在北京协和医院“百人计划”资助下于NIH及费城儿童医院等进行访问研究。主持国家自然科学基金项目两项、北京协和医院中青年基金项目等。
第一作者简介

侯国柱
北京协和医院2016级硕士研究生。
本期栏目主持人

孙昊
北京协和医院放射科主任助理,医学博士,副主任医师,副教授,硕士生导师;北京医师协会医疗信息化专家委员会委员兼秘书长,北美放射学会会员,欧洲放射学会会员。2014年受北京协和医院“优秀人才百人计划”资助前往德国柏林夏洛特医学中心放射科进修学习。
作者:侯国柱,李晓青,侯波,周炜洵,程午樱
