剖宫产术后子宫瘢痕憩室(cesarean scar diverticulum,CSD)又称为剖宫产术后子宫切口缺损(previous cesarean scardefect,PCSD),指剖宫产术后子宫切口愈合不良,子宫瘢痕处肌层变薄,形成一与宫腔相通的凹陷或腔隙,导致部分患者出现一系列相关的临床症状。

CSD的示意图如上图
CSD的原因尚不清楚,考虑与剖宫手术、感染因素、全身状态等因素有关。重点给大家介绍一下PSCD的剖宫产因素。
剖宫产手术的相关因素:
(1)子宫切口位置:剖宫产术子宫切口常规选择在膀胱子宫反折腹膜下1~2cm,如切口位置选择不当,子宫切口上下缘厚薄相差较大,缝合时容易对合不严、组织复位不良,从而影响切口愈合造成CSD;择期剖宫产术,子宫下段未充分延长,切口位置容易选择过高,而产程中的剖宫产术,子宫下段过度拉长,切口位置容易选择过低,均可影响切口愈合。
(2)子宫切口缝合方法:子宫切口缝合疏密或松紧度不当均易导致切口愈合不良形成潜在腔隙(即CSD)。切口缝合时包含子宫内膜与否、单层或者双层缝合、连续或间断缝合等均与切口愈合密切相关。另外,缝线材料的选择也与切口愈合密切相关,使用单股可吸收缝线相较于多股可吸收缝线更容易促进切口愈合,增加子宫前壁下段肌层厚度。
(3)剖宫产术次数:子宫前壁下段肌层厚度与剖宫产术次数呈负相关,子宫前壁下段肌层厚度越薄、剖宫产术时孕周越大,发生CSD的风险越高。
CSD的诊断应根据患者病史、症状及影像学检查进行综合判断,诊断标准如下:
(1)1次或多次子宫下段剖宫产术史;
(2)可有以月经期延长、月经淋漓不尽为表现的异常阴道流血并排除了引起这些症状的其他疾病,也可有慢性盆腔痛、不孕等其他临床症状;
(3)三维经阴道超声、子宫输卵管造影、宫腔声学造影、磁共振成象及宫腔镜检查等辅助检查手段有特征性的表现。
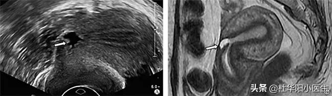
咱们都是影像医生,直接上图:

三角形憩室(无回声尖端指向子宫浆膜层,底部朝向宫腔,并与宫腔相通)
A示超声下三角形憩室图 ;B示同一患者磁共振下三角形憩室(箭头示子宫瘢痕憩室)
图片来自:文献:阴道超声和磁共振在剖宫产术后子宫瘢痕憩室中的联合应用价值
参考文献:《剖宫产术后子宫瘢痕憩室诊治专家共识》