患者,男,47岁,以右侧耳鸣伴听力下降3年入院。患者无明显诱因出现右侧耳鸣,伴记忆力下降,无头痛、恶心、呕吐及四肢抽搐等。
检查:头颅CT检查示右侧中颅窝及桥小脑角区骑跨右侧岩锥的“哑铃状”略低密度占位。头颅MRI 增强检查示右侧中颅窝及后颅窝哑铃状占位性病变,大小约6.8 cm×4.1 cm ,呈均质显著强化,无脑膜尾征表现,病变向下经颅底孔裂伸入右侧咽旁间隙,包绕大脑中动脉分支(图1A)。
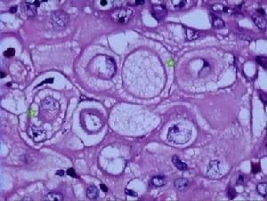
诊断:考虑三叉神经鞘瘤,遂行开颅肿瘤切除术。术后复查头颅CT未见明显肿瘤组织残留。术后病理学结果为中分化软骨肉瘤(肿瘤由肿瘤性软骨细胞及软骨基质构成)。
下面将由许教授为您解读颅底软骨肉瘤
许加军教授个人简介:许加军,男,主任医师,博士,山东大学硕士研究生导师,美国耶鲁大学高级访问学者,山东省第一批神经外科博士,山东省神经外科学会委员及神经肿瘤专业组委员,山东省医师协会委员,山东省激光医学会常务委员、理事 ,山东省抗癌协会常务委员,山东省医学会神经肿瘤专业骨干专家。擅长微创手术治疗颅脑各部位胶质瘤、脑膜瘤、听神经瘤、垂体瘤等颅内肿瘤以及脊髓.髓内肿瘤、脑积水,小脑扁桃体下疝,颅脑损伤、脑血管病及先天颅脑疾病。尤其是对深部及颅底肿瘤有独到之处。
那么什么是颅底软骨肉瘤呢?

软骨肉瘤为一种软骨源性的肿瘤,好发于长骨、骨盆,颅底罕见,颅底者见于枕骨、蝶骨、颞枕骨等颅骨软骨交界处多见,据Awad等人于2015年发表的综述里提到的,目前软骨肉瘤的人群发病率为0.2/100000每年,高峰发病年龄为30-50岁,男女发病率相近,而原发于颅底者占全身所有软骨肉瘤的1%,此外颅底软骨肉瘤占整个颅底肿瘤的6%
颅内软骨肉瘤发病年龄范围很广,平均年龄39岁,多见于20到30多岁,男性多于女性。64%的颅底软骨肉瘤位于颅中窝,14%位于颅中后窝,14%位于颅前窝,7%位于颅后窝。
颅底软骨肉瘤临床表现
影像学表现为颅底溶骨性破坏,边界不清且不规则的软组织肿物,瘤体密度不均匀,可见半环形、点片状或不规则形钙化。瘤体不同程度强化,强化程度与肿瘤分化及血供有关。
软骨肉瘤根据其发生部位、肿瘤大小、生长速度,而出现相应的症状和体征。如果是发于四肢长骨与骨盆,以钝性疼痛为主,局部肿块,无明显压痛,如果出现压迫神经,可引起放射性疼痛、麻木等。如果发于颅内,会出现头痛、脑神经麻痹、脑积水、走路不稳等症状,如果有上述症状,一定要及时去医院就诊,排除病变。
颅底软骨肉瘤诊断和治疗
颅内软骨肉瘤术前诊断很难。颅内软骨肉瘤由于发病率低,临床症状和影像学表现缺乏特异性,很难与其他颅底肿瘤相鉴别,特别是颅内脊索瘤,两者常常容易混淆,最终需要依靠病理检查确诊。
在治疗上,颅底软骨肉瘤主要采取手术治疗(通常是鼻内镜下颅底肿物切除术)为主、放疗为辅助的治疗方法,对化疗均不敏感。对于颅底软骨肉瘤,完整切除5年生存率为85%-100%。术后加用放疗可降低复发率并提高生存率,而对于放疗的适应症,中分化及低分化软骨肉瘤较为适宜,高分化者不建议行放射性治疗,除非其为复发型高分化软骨肉瘤。
许加军教授介绍,颅内软骨肉瘤常与颅内的重要结构如下丘脑、脑干及颅底重要神经血管相邻,而且肿瘤又多呈膨胀性生长,症状和体征出现相对较晚,同时又因多数肿瘤血供丰富,造成全切困难,对术者要求极高。即经手术切除大部肿瘤后,边缘处或死角处可能还会残留有体积较小的肿瘤,此时还需要利用质子刀、伽马刀、射波刀、放疗等辅助治疗。
许加军教授认为,颅内软骨肉瘤的预后虽然优于脊索瘤等颅底肿瘤,但鉴于其易局部复发,患者需要定期复查以便早期发现,根据情况决定再次手术或放疗,提高患者的生存率。脑部肿瘤,刻不容缓,时间就是生命,如发现有脑部肿瘤,建议尽早联系或到我的专家门诊就诊!
如果有更多关于神经外科问题咨询,欢迎私信咨询,作为山东省龙头三甲医院神经外科专家,本人将第一时间回复您!给您解答疑惑