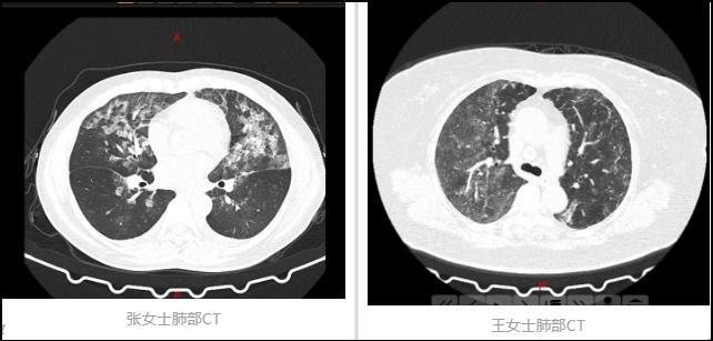
近日,郑州市中心医收治了两名患者,张女士和王女士,她们并没有发烧、咳嗽、呼吸困难等症状,不过,当看到她们的胸部CT结果,医生吓了一跳!
双肺多发毛玻璃样,正是新冠肺炎患者CT影像的典型特征。

图片来源:郑州大学附属郑州中心医院微信号
郑州市中心医院医生李凤芝介绍说:“张女士和王女士,她们两个都是以头晕乏力、闷气入院的,然后因为在疫情期间常规查胸部CT,结果显示是那种毛玻璃样改变。”
但是问题又出现了,李凤芝说,“从影像上看是非常的像(新冠肺炎),但是这个病人接触史、症状表现,然后还有包括她的血象,也是不符合的,包括她也没有去过武汉,小区也没有确诊的病例,特别纳闷这个病人到底是不是新冠。”
最后,在医生的询问下,终于找到了原因!——过敏性肺泡炎!

郑州市中心医院医生张小红在接受河南民生频道采访时说:“详细的询问病史,再问她家庭的消毒结果,病人说在家里边用84消毒,确定她就是一个过敏性肺泡炎,我问她配比,病人又不知道怎么配,看到电视上说用巴氏消毒就弄点水一混就在屋里消毒,消毒以后又不知道开窗通风,长时间地吸入高浓度的84就引起了肺部的损伤。”
接下来两天医生把患者房间的消杀用品换成酒精后效果立竿见影,两位患者的病情明显好转了很多。
不当使用,84消毒变投“毒”!
含氯消毒剂虽然对冠状病毒有明确的消毒作用。但是,使用方法不对,也会对人体造成伤害。
长期高浓度、高剂量使用或者长期暴露在含氯消毒液中,都可能会刺激皮肤、口腔、眼、鼻、呼吸道、肺部等,并致使这些组织和器官受损。
① 刺激呼吸道:84消毒液暴露在空气中易挥发出氯气,吸入呼吸道后,与呼吸道黏膜所含的水分反应生成次氯酸和盐酸,刺激上呼吸道黏膜,于是会出现如咳嗽、气喘、呼吸困难等情况。
② 刺激皮肤:使用84消毒液的时候,没有用手套来阻隔开皮肤与消毒液的接触,会对人的皮肤和黏膜有较大的刺激,手会有轻微的疼痛感。有些易过敏的人群还会出现斑丘疹、瘙痒感、眼睑水肿等情况。②③
使用84消毒液要注意这6点:
① 用凉水稀释后使用
84消毒液要按照说明书合理配置浓度,用凉水稀释,不要用热水!
84消毒液的常见浓度是2%到10%,具体配比要按照说明书进行操作,以5%的84消毒液为例的话,每升消毒液含有有效氯是50克,说明书要求100倍稀释,也就是1份消毒液要用99份的水加上之后才能使用。
为了方便大家配制,84消毒液的瓶盖容量一般是10毫升,可以把瓶盖作为一个量杯,配制时先戴上橡胶手套向盆里加入一瓶盖的84消毒液,再放1000毫升水,可以用500毫升的瓶子装满水,倒两瓶,进行搅拌混匀。④
② 用84消毒注意通风
如果使用84消毒液拖地等,要保持通风,直到空气中的味道彻底消散。避免直接接触。
③ 84也有消毒时间
注意消毒剂的作用时间,如说明书写20分钟,就是擦拭后20分钟再用清水擦拭物体表面。
比如用84消毒液擦拭马桶圈、厕所门把手后,记得过20分钟后再用清水擦拭一下。
④ 不要和其他洗涤剂混用
不要把84消毒液与其他洗涤剂或消毒液混合使用,尤其是洁厕剂混合,会产生大量氯气,刺激肺部。

⑤ 有些物品不要用84消毒
因为84消毒液具有漂白和腐蚀性,因此不能用在彩色衣物、金属铜铝制品、皮质沙发等消毒。
⑥ 使用时请佩戴手套
因为本身具有一定的腐蚀性,所以使用时候最好戴上橡胶手套。
如果不慎接触到84消毒液时,怎么办?
① 皮肤接触:脱去污染的衣着,用大量流动清水冲洗。
② 眼睛接触:提起眼睑,用流动清水或生理盐水冲洗,并就医。
③ 吸入:迅速脱离现场至空气新鲜处,保持呼吸道通畅,如呼吸困难,应立即并就医。
④ 食入:饮足量牛奶,并及时就医。①
本文参考资料:
① 郑州大学附属郑州中心医院微信《肺部CT呈毛玻璃影?!都是“84”惹的祸!》
② 罗林丽. 84消毒液既消毒又“放毒”[J]. 中南药学(用药与健康), 2016(6).
③ 李久民. 84消毒液引起人体不良反应的55例临床分析[J]. 中国预防医学杂志, 2004, 005(002):141.
④ 国家卫健委官网《84消毒液如何正确稀释使用【新型冠状病毒科普知识】(306)》
本文编辑:任璇
审稿主任:杨小明